Suppr超能文献

贝沙罗汀通过PPARγ/HO-1改善香烟烟雾诱导的肺部炎症和肺泡巨噬细胞的M1极化。

Bexarotene ameliorated the pulmonary inflammation and M1 polarization of alveolar macrophages induced by cigarette smoke via PPARγ/HO-1.

作者信息

Feng Haoshen, Li Zhe, Zheng Rui

机构信息

Department of Pulmonary and Critical Care Medicine, Shengjing Hospital of China Medical University, No.36 Sanhao Street, Shenyang, 110004, Liaoning, China.

Department of Anesthesiology, The First Hospital of China Medical University, Shenyang, PR China.

出版信息

Respir Res. 2024 Dec 18;25(1):431. doi: 10.1186/s12931-024-03064-x.

Abstract

BACKGROUND

Alveolar macrophages (AMs) modulate pulmonary inflammation in chronic obstructive pulmonary disease (COPD), contributing to its progression. The PPARγ/RXRα heterodimer influences AM polarization induced by cigarette smoke (CS). Although PPARγ agonists suppress CS-induced M1 macrophage polarization, the impact of RXRα agonists on this process has not been determined. This study explored the effects and mechanisms of the RXRα agonist bexarotene on macrophage polarization in a COPD mouse model.

METHODS

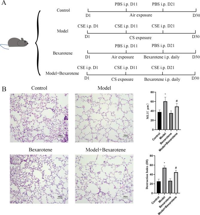
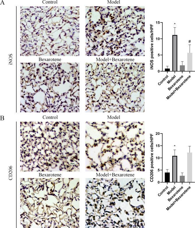
C57BL/6 mice were assigned to the control, model, bexarotene, or model + bexarotene group. The COPD model was induced by CS exposure and intraperitoneal injection of cigarette smoke extract (CSE), followed by intraperitoneal administration of bexarotene. Additionally, MH-S cells were exposed to CSE and bexarotene. Lung tissues were subjected to hematoxylin-eosin staining, and emphysema and inflammatory scores were assessed. Cytokine levels and cell differentials in bronchoalveolar lavage fluid were measured, and macrophage polarization was evaluated using immunohistochemistry, flow cytometry, and qPCR.

RESULTS

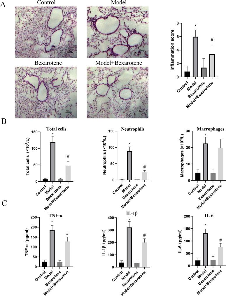
Bexarotene effectively reduced inflammatory scores, cytokine levels, and neutrophil counts and ameliorated emphysema and M1 polarization of AMs in COPD model mice. Furthermore, while CSE exposure reduced PPARγ expression and the transcriptional activity of AMs, bexarotene enhanced the transcriptional response of PPARγ to CSE. HO-1 was identified as a potential target of PPARγ; its levels were assessed in AMs, revealing that bexarotene mitigated the CSE-induced reduction in HO-1. Notably, the effect of bexarotene was partially inhibited by the PPARγ inhibitor.

CONCLUSIONS

Our results indicated that bexarotene may curb inflammation and M1 polarization in COPD through activation of the PPARγ/HO-1 pathway.

摘要

背景

肺泡巨噬细胞(AMs)调节慢性阻塞性肺疾病(COPD)中的肺部炎症,促进其进展。过氧化物酶体增殖物激活受体γ/维甲酸X受体α(PPARγ/RXRα)异二聚体影响香烟烟雾(CS)诱导的AMs极化。尽管PPARγ激动剂可抑制CS诱导的M1巨噬细胞极化,但RXRα激动剂对该过程的影响尚未确定。本研究探讨了RXRα激动剂贝沙罗汀在COPD小鼠模型中对巨噬细胞极化的影响及机制。

方法

将C57BL/6小鼠分为对照组、模型组、贝沙罗汀组或模型+贝沙罗汀组。通过CS暴露和腹腔注射香烟烟雾提取物(CSE)诱导COPD模型,随后腹腔注射贝沙罗汀。此外,将MH-S细胞暴露于CSE和贝沙罗汀中。对肺组织进行苏木精-伊红染色,评估肺气肿和炎症评分。检测支气管肺泡灌洗液中的细胞因子水平和细胞分类,并使用免疫组织化学、流式细胞术和qPCR评估巨噬细胞极化。

结果

贝沙罗汀有效降低了COPD模型小鼠的炎症评分、细胞因子水平和中性粒细胞计数,改善了肺气肿和AMs的M1极化。此外,虽然CSE暴露降低了PPARγ表达和AMs的转录活性,但贝沙罗汀增强了PPARγ对CSE的转录反应。血红素加氧酶-1(HO-1)被确定为PPARγ的潜在靶点;在AMs中评估其水平,发现贝沙罗汀减轻了CSE诱导的HO-1降低。值得注意的是,贝沙罗汀的作用被PPARγ抑制剂部分抑制。

结论

我们的结果表明,贝沙罗汀可能通过激活PPARγ/HO-1途径抑制COPD中的炎症和M1极化。

https://cdn.ncbi.nlm.nih.gov/pmc/blobs/f49a/11658227/ba4aae9f966a/12931_2024_3064_Fig1_HTML.jpg

文献AI研究员

20分钟写一篇综述,助力文献阅读效率提升50倍。

立即体验

用中文搜PubMed

大模型驱动的PubMed中文搜索引擎

马上搜索

文档翻译

学术文献翻译模型,支持多种主流文档格式。

立即体验