Suppr超能文献

冷冻消融在膀胱及肌层浸润性膀胱癌动物模型中的应用:现状与未来展望的叙述性综述

Application of cryoablation in animal models of bladder and muscle-invasive bladder cancer: a narrative review of current status and future perspectives.

作者信息

Wang Yu-Feng, Li Xiao-Guang

机构信息

Department of Minimally Invasive Tumor Therapies Center, Beijing Hospital, National Center of Gerontology, Institute of Geriatric Medicine, Chinese Academy of Medical Sciences, and Peking Union Medical College, Chinese Academy of Medical Sciences, Beijing, China.

出版信息

Quant Imaging Med Surg. 2024 Dec 5;14(12):9653-9666. doi: 10.21037/qims-24-1174. Epub 2024 Nov 12.

Abstract

BACKGROUND AND OBJECTIVE

In patients diagnosed with bladder cancer (BC), muscle-invasive bladder cancer (MIBC) accounts for 25%, including tumors invading the intrinsic muscle layer (T2), surrounding tissues of the bladder (T3), or adjacent pelvic organs/structures (T4). Cryoablation promises to be a novel interventional oncology technique, which effectively induces cellular destruction through freezing and thawing cycles. In addition to the direct tumor-killing effect, it also has a tumor-immune effect. Although this technique has been widely used among solid tumors, including liver, lung, and breast cancer, there have been few studies on tumors of hollow organs, such as BC. Thus, we summarized the application of cryoablation in BC according to reports from animal models and clinical studies and predicted the future direction of this treatment.

METHODS

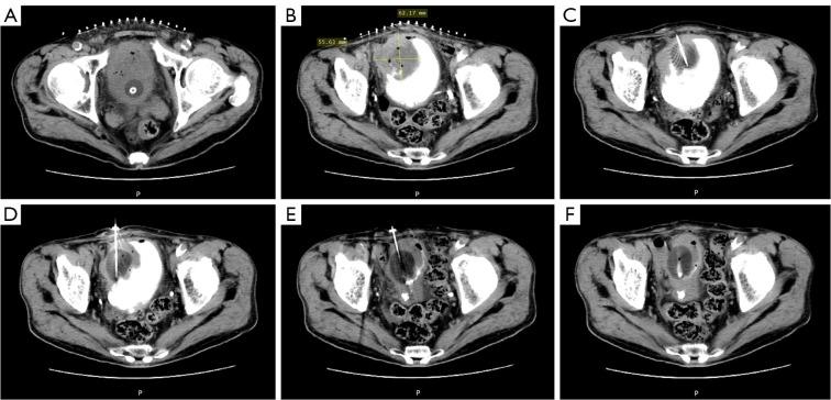
A literature search was performed in the PubMed database for articles published in English between 2001 and 2024. The keywords used were: "muscle-invasive bladder cancer", "bladder cancer", "cryoablation", and "cryosurgery". In total, 42 articles were included. We also gathered imaging data from the Minimally Invasive Tumor Therapies Center of Beijing Hospital.

KEY CONTENT AND FINDINGS

Cryoablation for MIBC is a relatively safe, feasible, and promising minimally invasive treatment technique. Cryoablation as an adjuvant therapy with transurethral resection of bladder tumor (TURBT) is feasible and safe in T2 MIBC. It is able to achieve satisfactory local control. In T3-T4 MIBC, cryoablation can serve as a palliative treatment to reduce the tumor burden, but needs to be combined with other treatments to improve the prognosis.

CONCLUSIONS

This review presents a comprehensive overview of the current state and future perspectives of cryoablation in animal models of BC and MIBC, which might set a strong foundational knowledge base. Moreover, this novel approach could potentially revolutionize treatment paradigms if further validated.

摘要

背景与目的

在被诊断为膀胱癌(BC)的患者中,肌层浸润性膀胱癌(MIBC)占25%,包括侵犯固有肌层(T2)、膀胱周围组织(T3)或相邻盆腔器官/结构(T4)的肿瘤。冷冻消融有望成为一种新型的肿瘤介入技术,它通过冻融循环有效地诱导细胞破坏。除了直接的肿瘤杀伤作用外,它还具有肿瘤免疫效应。尽管该技术已在包括肝癌、肺癌和乳腺癌在内的实体瘤中广泛应用,但针对中空器官肿瘤,如膀胱癌的研究较少。因此,我们根据动物模型和临床研究的报告总结了冷冻消融在膀胱癌中的应用,并预测了该治疗方法的未来发展方向。

方法

在PubMed数据库中检索2001年至2024年期间发表的英文文章。使用的关键词为:“肌层浸润性膀胱癌”、“膀胱癌”、“冷冻消融”和“冷冻手术”。共纳入42篇文章。我们还收集了北京医院微创肿瘤治疗中心的影像数据。

关键内容与发现

MIBC的冷冻消融是一种相对安全、可行且有前景的微创治疗技术。冷冻消融作为膀胱肿瘤经尿道切除术(TURBT)的辅助治疗,在T2期MIBC中是可行且安全的。它能够实现令人满意的局部控制。在T3 - T4期MIBC中,冷冻消融可作为一种姑息性治疗来减轻肿瘤负荷,但需要与其他治疗方法联合使用以改善预后。

结论

本综述全面概述了冷冻消融在膀胱癌和MIBC动物模型中的现状和未来前景,这可能奠定坚实的基础知识基础。此外,如果进一步得到验证,这种新方法可能会彻底改变治疗模式。

https://cdn.ncbi.nlm.nih.gov/pmc/blobs/26aa/11652053/8f77a026e875/qims-14-12-9653-f1.jpg

文献AI研究员

20分钟写一篇综述,助力文献阅读效率提升50倍。

立即体验

用中文搜PubMed

大模型驱动的PubMed中文搜索引擎

马上搜索

文档翻译

学术文献翻译模型,支持多种主流文档格式。

立即体验