Suppr超能文献

双层光谱探测器CT在消化系统疾病中的临床应用

The clinical applications of dual-layer spectral detector CT in digestive system diseases.

作者信息

Chen Yidi, Liu Xijiao, Zeng Hanjiang, Zhang Jinge, Li Zhengyan, Wu Bin, Huang Zixing, Song Bin

机构信息

Depatment of Radiology, West China Hospital, Sichuan University, Chengdu, China.

Department of Radiology, The First Affiliated Hospital of Guangxi Medical University, Nanning, China.

出版信息

Eur Radiol. 2025 Jun;35(6):3547-3557. doi: 10.1007/s00330-024-11290-6. Epub 2024 Dec 19.

Abstract

OBJECTIVE

Dual-layer spectral detector CT (DLCT) has several advantages in clinical practice, this study aims to reveal the clinical applications of DLCT in digestive system diseases.

MATERIALS AND METHODS

We searched PubMed and Cochrane Reviews for articles published from January 1, 2010 to May 31, 2024, using the terms "dual-layer spectral detector CT" or "dual-layer CT" combined with "hepatic fat" or "hepatic fibrosis" "hepatocellular carcinoma" or "pancreatic ductal adenocarcinoma" or "pancreatic neuroendocrine tumors" or "gastric cancer" or "colorectal cancer" or "Crohn's disease" or "bowel ischemia" or "acute abdominal conditions".

RESULTS

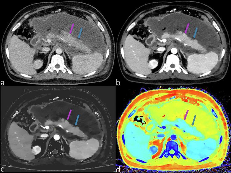
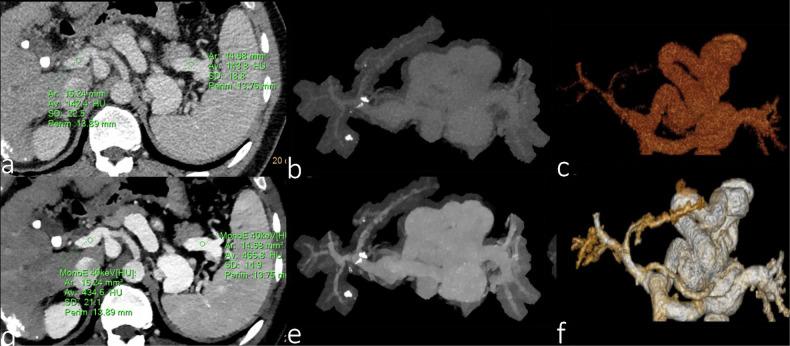
DLCT consists of a top layer sensitive to lower-energy photons and a bottom layer sensitive to higher-energy photons. This configuration enables simultaneous acquisition of two energy spectra from a single X-ray beam ensuring consistent spatial alignment and temporal resolution. Spectral raw images allow image post-processing to improve image quality, reduce radiation doses and contrast media doses, and generate multiple quantitative parameters. It has broad potential for early detection, accurate staging, efficacy assessment, and prognosis prediction of liver, pancreatic, and gastrointestinal diseases, as well as for the assessment of digestive system vasculature.

CONCLUSIONS

DLCT not only provides valuable information for the clinical diagnosis and therapeutic effect evaluation of digestive system diseases but also may play a more important role in the overall management of digestive diseases and in the decision-making of individualized medicine.

KEY POINTS

Question What are the advantages of DLCT compared to traditional single-energy CT in the early detection, staging, and therapeutic evaluation of digestive system diseases? Findings DLCT enhances image quality, improves tissue characterization, and allows for multi-parametric analysis, making it superior in detecting and evaluating liver, pancreatic, and gastrointestinal diseases. Clinical relevance DLCT provides high-quality, multi-parametric imaging that improves the accuracy of diagnosing digestive diseases, facilitates more precise treatment planning, and enhances monitoring of treatment response, ultimately contributing to better patient management and prognosis.

摘要

目的

双层光谱探测器CT(DLCT)在临床实践中有诸多优势,本研究旨在揭示DLCT在消化系统疾病中的临床应用。

材料与方法

我们在PubMed和Cochrane系统评价中检索了2010年1月1日至2024年5月31日发表的文章,检索词为“双层光谱探测器CT”或“双层CT”,并与“肝脂肪”或“肝纤维化”“肝细胞癌”或“胰腺导管腺癌”或“胰腺神经内分泌肿瘤”或“胃癌”或“结直肠癌”或“克罗恩病”或“肠缺血”或“急腹症”组合。

结果

DLCT由对低能光子敏感的顶层和对高能光子敏感的底层组成。这种配置能够从单个X射线束同时采集两个能谱,确保空间对准和时间分辨率一致。光谱原始图像允许进行图像后处理,以提高图像质量、降低辐射剂量和造影剂剂量,并生成多个定量参数。它在肝脏、胰腺和胃肠道疾病的早期检测、准确分期、疗效评估和预后预测以及消化系统血管评估方面具有广阔的潜力。

结论

DLCT不仅为消化系统疾病的临床诊断和治疗效果评估提供有价值的信息,而且可能在消化系统疾病的整体管理和个体化医疗决策中发挥更重要的作用。

关键点

问题:与传统单能CT相比,DLCT在消化系统疾病的早期检测、分期和治疗评估中有哪些优势?发现:DLCT提高了图像质量,改善了组织特征描述,并允许进行多参数分析,使其在检测和评估肝脏、胰腺和胃肠道疾病方面更具优势。临床意义:DLCT提供高质量的多参数成像,提高了消化系统疾病诊断的准确性,有助于更精确的治疗规划,并加强了对治疗反应的监测,最终有助于更好地管理患者和改善预后。

https://cdn.ncbi.nlm.nih.gov/pmc/blobs/697d/12081472/65fb6af0fff9/330_2024_11290_Fig1_HTML.jpg

文献AI研究员

20分钟写一篇综述,助力文献阅读效率提升50倍。

立即体验

用中文搜PubMed

大模型驱动的PubMed中文搜索引擎

马上搜索

文档翻译

学术文献翻译模型,支持多种主流文档格式。

立即体验