Suppr超能文献

模仿下运动神经元病变的髂腰肌脓肿:一项诊断挑战。

Iliopsoas Abscess Mimicking a Lower Motor Neuron Lesion: A Diagnostic Challenge.

作者信息

Priya Pallavi, Nair Aravind, Gowda Sathyanarayana, Nasim Shahid, Warrier Vinod

机构信息

Internal Medicine, Mid and South Essex NHS Foundation Trust, Southend-on-Sea, GBR.

Acute Medicine, Mid and South Essex NHS Foundation Trust, Southend-on-Sea, GBR.

出版信息

Cureus. 2024 Nov 19;16(11):e73978. doi: 10.7759/cureus.73978. eCollection 2024 Nov.

Abstract

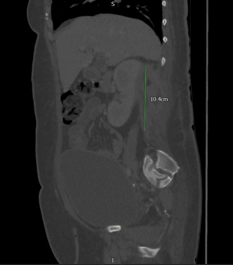
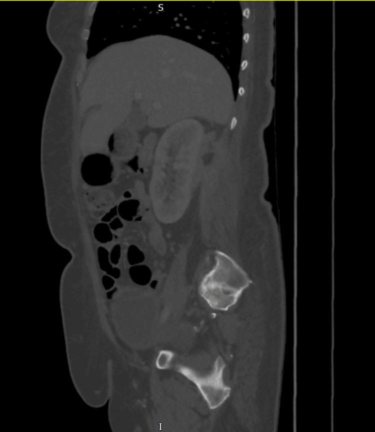
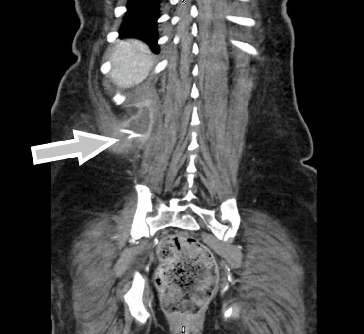
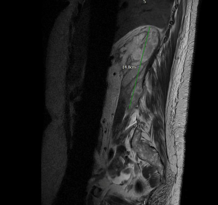
Iliopsoas abscess is a rare infection that presents with a triad of fever, back pain, and hip pain. However, due to the anatomical proximity of the psoas muscle to various structures, an abscess in this region can manifest with nonspecific symptoms, leading to potential misdiagnosis and delayed diagnosis, which can be fatal. We report a case of a 54-year-old female who presented to the emergency department with right-sided flank pain and symptoms resembling lower motor neuron disorder. Initial investigations were inconclusive until an MRI revealed a large retroperitoneal collection in the right perinephric space and iliopsoas muscle, likely of urological origin, with no spinal abnormalities. Intravenous gentamicin was initiated. A subsequent contrast-enhanced CT scan of the abdomen and pelvis confirmed a right posterior perinephric collection. Ultrasound-guided drainage was performed, and a pigtail catheter was placed in situ for continuous drainage along with targeted antibiotics based on culture and sensitivity.

摘要

髂腰肌脓肿是一种罕见的感染性疾病,表现为发热、背痛和髋部疼痛三联征。然而,由于腰大肌与各种结构在解剖位置上相邻,该区域的脓肿可能表现为非特异性症状,导致潜在的误诊和诊断延迟,这可能是致命的。我们报告一例54岁女性,因右侧胁腹疼痛及类似下运动神经元疾病的症状就诊于急诊科。最初的检查结果不明确,直到磁共振成像(MRI)显示右肾周间隙和髂腰肌有一个大的腹膜后积液,可能源于泌尿系统,且无脊柱异常。开始静脉注射庆大霉素。随后的腹部和盆腔增强CT扫描证实右肾后有积液。进行了超声引导下引流,并置入一根猪尾导管进行持续引流,同时根据培养和药敏结果使用针对性抗生素。

https://cdn.ncbi.nlm.nih.gov/pmc/blobs/4f7e/11656410/2d3b10681b3d/cureus-0016-00000073978-i01.jpg

文献AI研究员

20分钟写一篇综述,助力文献阅读效率提升50倍。

立即体验

用中文搜PubMed

大模型驱动的PubMed中文搜索引擎

马上搜索

文档翻译

学术文献翻译模型,支持多种主流文档格式。

立即体验