Suppr超能文献

EZH2/miR-142-3p/HMGB1轴通过调节内质网应激介导膝骨关节炎软骨细胞焦亡。

EZH2/miR-142-3p/HMGB1 axis mediates chondrocyte pyroptosis by regulating endoplasmic reticulum stress in knee osteoarthritis.

作者信息

Chen Yang, Dong Shanshan, Zeng Xin, Xu Qing, Liang Mingwei, Liao Guangneng, Li Lan, Shen Bin, Lu Yanrong, Si Haibo

机构信息

Department of Orthopedic Surgery & Key Laboratory of Transplant Engineering and Immunology, Regenerative Medicine Research Center, West China Hospital, Sichuan University, Chengdu, Sichuan 610041, China.

Department of Discipline Construction, West China Hospital, Sichuan University, Chengdu, Sichuan 610041, China.

出版信息

Chin Med J (Engl). 2025 Jan 5;138(1):79-92. doi: 10.1097/CM9.0000000000003186. Epub 2024 Dec 20.

Abstract

BACKGROUND

Knee osteoarthritis (OA) is still challenging to prevent or treat. Enhanced endoplasmic reticulum (ER) stress and increased pyroptosis in chondrocytes may be responsible for cartilage degeneration. This study aims to investigate the effect of ER stress on chondrocyte pyroptosis and the upstream regulatory mechanisms, which have rarely been reported.

METHODS

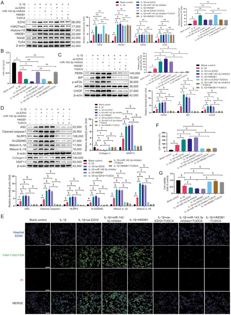
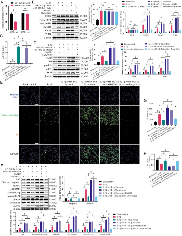
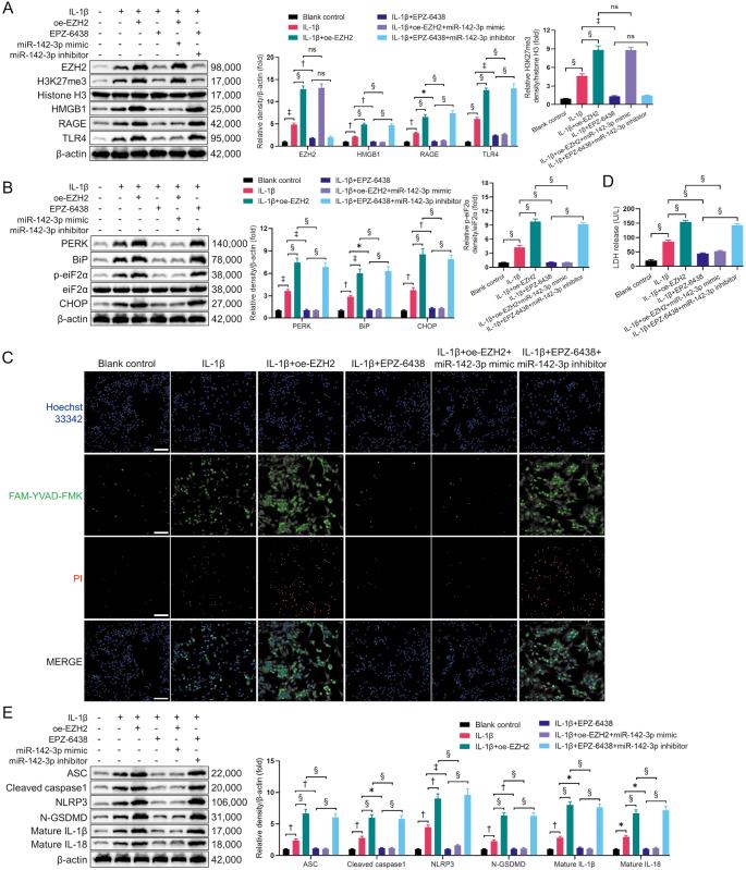
The expression of the histone methyltransferase enhancer of zeste homolog 2 (EZH2), microRNA-142-3p (miR-142-3p), and high mobility group box 1 (HMGB1) and the levels of ER stress, pyroptosis, and metabolic markers in normal and OA chondrocytes were investigated by western blotting, quantitative polymerase chain reaction, immunohistochemistry, fluorescence in situ hybridization, fluorescein amidite-tyrosine-valine-alanine-aspartic acid-fluoromethyl ketone (FAM-YVAD-FMK)/Hoechst 33342/propidium iodide (PI) staining, lactate dehydrogenase (LDH) release assays, and cell viability assessments. The effects of EZH2, miR-142-3p, and HMGB1 on ER stress and pyroptosis and the hierarchical regulatory relationship between them were analyzed by chromatin immunoprecipitation, luciferase reporters, gain/loss-of-function assays, and rescue assays in interleukin (IL)-1β-induced OA chondrocytes. The mechanistic contribution of EZH2, miR-142-3p, and HMGB1 to chondrocyte ER stress and pyroptosis and therapeutic prospects were validated radiologically, histologically, and immunohistochemically in surgically induced OA rats.

RESULTS

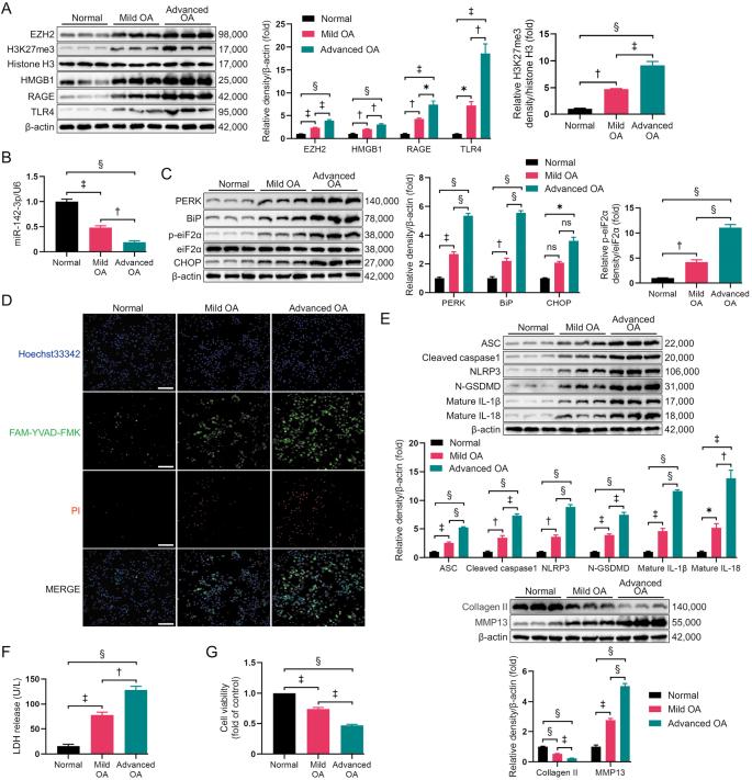
Increased EZH2 and HMGB1, decreased miR-142-3p, enhanced ER stress, and activated pyroptosis in chondrocytes were associated with OA occurrence and progression. EZH2 and HMGB1 exacerbated and miR-142-3p alleviated ER stress and pyroptosis in OA chondrocytes. EZH2 transcriptionally silenced miR-142-3p via H3K27 trimethylation, and miR-142-3p posttranscriptionally silenced HMGB1 by targeting the 3'-UTR of the HMGB1 gene. Moreover, ER stress mediated the effects of EZH2, miR-142-3p, and HMGB1 on chondrocyte pyroptosis. In vivo experiments mechanistically validated the hierarchical regulatory relationship between EZH2, miR-142-3p, and HMGB1 and their effects on chondrocyte ER stress and pyroptosis.

CONCLUSIONS

A novel EZH2/miR-142-3p/HMGB1 axis mediates chondrocyte pyroptosis and cartilage degeneration by regulating ER stress in OA, contributing novel mechanistic insights into OA pathogenesis and providing potential targets for future therapeutic research.

摘要

背景

膝关节骨关节炎(OA)的预防或治疗仍然具有挑战性。软骨细胞内质网(ER)应激增强和焦亡增加可能是软骨退变的原因。本研究旨在探讨ER应激对软骨细胞焦亡的影响及其上游调控机制,这方面的报道较少。

方法

通过蛋白质免疫印迹法、定量聚合酶链反应、免疫组织化学、荧光原位杂交、荧光素-亚氨基二肽-酪氨酸-缬氨酸-丙氨酸-天冬氨酸-氟甲基酮(FAM-YVAD-FMK)/Hoechst 33342/碘化丙啶(PI)染色、乳酸脱氢酶(LDH)释放试验和细胞活力评估,研究正常和OA软骨细胞中组蛋白甲基转移酶zeste同源物2(EZH2)、微小RNA-142-3p(miR-142-3p)和高迁移率族蛋白B1(HMGB1)的表达以及ER应激、焦亡和代谢标志物水平。通过染色质免疫沉淀、荧光素酶报告基因、功能获得/缺失试验以及在白细胞介素(IL)-1β诱导的OA软骨细胞中的拯救试验,分析EZH2、miR-142-3p和HMGB1对ER应激和焦亡的影响以及它们之间的层级调控关系。在手术诱导的OA大鼠中,通过放射学、组织学和免疫组织化学方法验证了EZH2、miR-142-3p和HMGB1对软骨细胞ER应激和焦亡的机制贡献及治疗前景。

结果

软骨细胞中EZH2和HMGB1增加、miR-142-3p减少、ER应激增强和焦亡激活与OA的发生和进展相关。EZH2和HMGB1加剧而miR-142-3p减轻OA软骨细胞中的ER应激和焦亡。EZH2通过H3K27三甲基化转录沉默miR-142-3p,而miR-142-3p通过靶向HMGB1基因的3'-UTR转录后沉默HMGB1。此外,ER应激介导了EZH2、miR-1(42-3p和HMGB1对软骨细胞焦亡的影响。体内实验从机制上验证了EZH2、miR-142-3p和HMGB1之间的层级调控关系及其对软骨细胞ER应激和焦亡的影响。

结论

一种新的EZH2/miR-142-3p/HMGB1轴通过调节OA中的ER应激介导软骨细胞焦亡和软骨退变,为OA发病机制提供了新的机制见解,并为未来的治疗研究提供了潜在靶点。

https://cdn.ncbi.nlm.nih.gov/pmc/blobs/44f7/11717515/7a708ee0ab48/cm9-138-079-g001.jpg

文献AI研究员

20分钟写一篇综述,助力文献阅读效率提升50倍。

立即体验

用中文搜PubMed

大模型驱动的PubMed中文搜索引擎

马上搜索

文档翻译

学术文献翻译模型,支持多种主流文档格式。

立即体验