Suppr超能文献

假结核耶尔森菌外膜囊泡对铜绿假单胞菌抗原免疫反应的影响

Effects of Yersinia pseudotuberculosis outer membrane vesicles on Pseudomonas aeruginosa antigens immune response.

作者信息

Duan Zhongxu, Song Jingqi, Zhang Mingru, Zhang Zhe, Li Nan, Fu Yuqin, Sun Zhe, Lu Tiancheng, Li Siyuan, Cao Mingyue, Wang Qingyu, Sun Chunhui, Wang Xiuran

机构信息

Engineering Research Center of Bioreactor and Drug Development, Ministry of Education, College of Life Sciences, Jilin Agricultural University, Changchun, China.

State Key Laboratory of Black Soils Conservation and Utilization, Key Laboratory of Wetland Ecology and Environment Northeast Institute of Geography and Agroecology, Chinese Academy of Sciences, Changchun, China.

出版信息

PLoS One. 2024 Dec 20;19(12):e0310652. doi: 10.1371/journal.pone.0310652. eCollection 2024.

Abstract

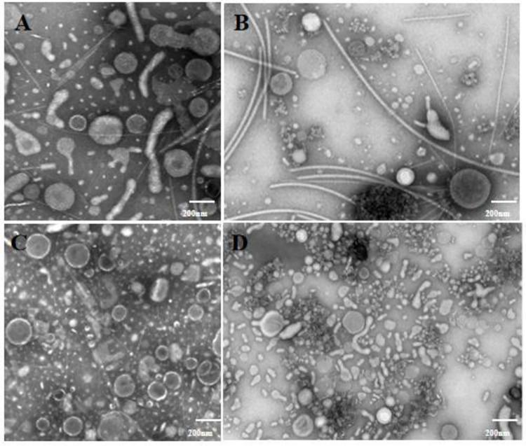
Outer membrane vesicles (OMVs) are immunogenic self-adjuvanting vesicles produced by Gram-negative bacteria such as Pseudomonas aeruginosa and Yersinia pseudotuberculosis. While the effects of OMVs on different antigens immune stimulation are not clear. In this study, we constructed recombinant Yersinia pseudotuberculosis ΔlpxL strain,with pBlue-PcrV and pBlue-OprF/I, and then purified ΔlpxL rOMVPcrV (rOMVyp2P)and ΔlpxL rOMVOprF/I (rOMVyp2F) and analyzed its effect on immune response and protection against Pseudomonas aeruginosa PAO1 infection. The results showed that OMV assists in eliciting similar humoral immune responses to PcrV and OprF/I antigens. ΔlpxL rOMVPcrV and ΔlpxL rOMVOprF/I elicited Th1/Th2 balanced immune response, and higher IgM and IgA antibodies.However, there are differences in immune protection for the pulmonary. The survival rate of mice in ΔlpxL rOMVPcrV group was 20%, which was significantly better than that in ΔlpxL rOMVOprF/I group. ΔlpxL OMVPcrV is better cooperation for Pseudomonas immune protection in lung.

摘要

外膜囊泡(OMVs)是由铜绿假单胞菌和假结核耶尔森菌等革兰氏阴性菌产生的具有免疫原性的自佐剂囊泡。虽然OMVs对不同抗原免疫刺激的作用尚不清楚。在本研究中,我们构建了携带pBlue-PcrV和pBlue-OprF/I的重组假结核耶尔森菌ΔlpxL菌株,然后纯化了ΔlpxL rOMVPcrV(rOMVyp2P)和ΔlpxL rOMVOprF/I(rOMVyp2F),并分析了其对免疫反应及抵抗铜绿假单胞菌PAO1感染的保护作用。结果表明,OMV有助于引发对PcrV和OprF/I抗原的类似体液免疫反应。ΔlpxL rOMVPcrV和ΔlpxL rOMVOprF/I引发了Th1/Th2平衡的免疫反应,以及更高的IgM和IgA抗体。然而,在肺部的免疫保护方面存在差异。ΔlpxL rOMVPcrV组小鼠的存活率为20%,显著高于ΔlpxL rOMVOprF/I组。ΔlpxL OMVPcrV在肺部对假单胞菌的免疫保护中具有更好的协同作用。

https://cdn.ncbi.nlm.nih.gov/pmc/blobs/89a7/11661608/4615102acd9c/pone.0310652.g001.jpg

文献AI研究员

20分钟写一篇综述,助力文献阅读效率提升50倍。

立即体验

用中文搜PubMed

大模型驱动的PubMed中文搜索引擎

马上搜索

文档翻译

学术文献翻译模型,支持多种主流文档格式。

立即体验