Suppr超能文献

SS18-SSX驱动TYK2表达以激活STAT3/Bcl2轴,促进滑膜肉瘤逃避凋亡并推动其进展。

SS18-SSX drives TYK2 expression to activate STAT3/Bcl2 axis, facilitating apoptosis evasion and advancing synovial sarcoma progression.

作者信息

Qin Wenjing, Peng Changliang, Yang Xianhe, Jiang Alan, Zhong Nanshan, Liu Yunyun, Zhang Xiaochun, Hirbe Angela C, Ma Mei, Yue Xin

机构信息

The First Affiliated Hospital of Jinan University, Guangzhou, 510630, China.

Medical Innovation Center, The First Affiliated Hospital, Jiangxi Medical College, Nanchang University, Nanchang, 330006, China.

出版信息

Cell Biol Toxicol. 2024 Dec 21;41(1):8. doi: 10.1007/s10565-024-09952-8.

Abstract

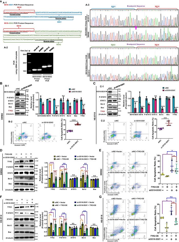
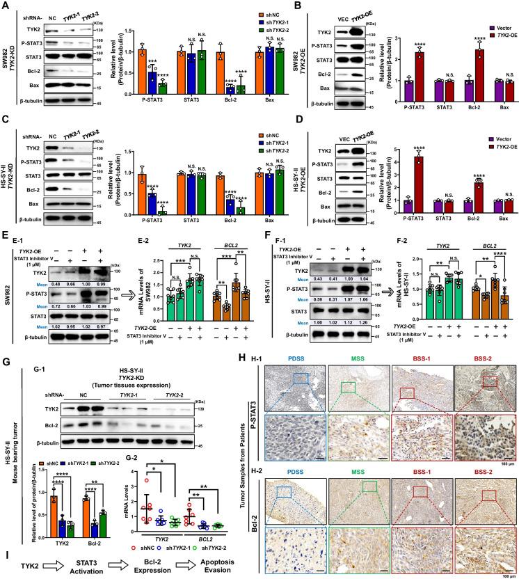
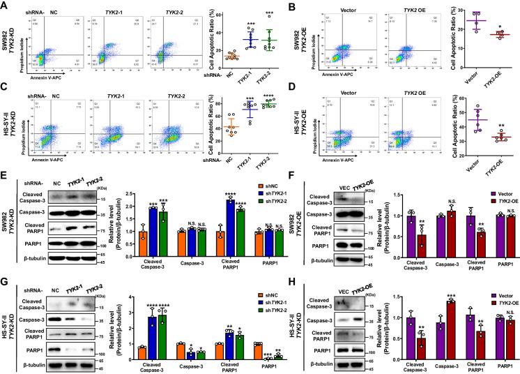
Synovial sarcoma (SS) is a rare soft tissue sarcoma characterized by high-grade malignancy and poor prognosis. Preliminary research indicates that apoptosis evasion is a key factor in SS progression, primarily attributed to the overexpression of anti-apoptotic genes. However, the mechanisms underlying this phenomenon are still not fully understood. This study aims to investigate the factors responsible for apoptosis evasion, evaluate their potential as targets for anti-apoptotic interventions, and analyze their mechanisms in detail. Our findings reveal that tyrosine kinase 2 (TYK2) is upregulated in highly malignant SS. Through in vitro as well as in vivo functional analyses, we have demonstrated that, TYK2 significantly accelerates SS cells progression. Mechanistically, TYK2 activates STAT3, which promotes the expression of BCL2, an anti-apoptotic gene. Inhibition of STAT3 activation using specific inhibitors can disrupt the TYK2-enhanced expression of Bcl2, indicating that the TYK2/STAT3/Bcl2 axis is a key regulatory pathway mediating apoptosis evasion in SS. Furthermore, our investigation into the upstream regulation of TYK2 reveals that the fusion protein SS18-SSX enhances the transcriptional activity of TYK2 by binding to the promoter region of the TYK2 gene, thereby increasing its expression levels. Thus, the TYK2/STAT3/Bcl2 axis is a crucial mechanism through which SS18-SSX mediates apoptosis evasion in SS cells. In conclusion, our findings contribute to understanding how SS18-SSX-driven TYK2 expression mediates apoptosis evasion mechanisms and propose targeting TYK2 as a strategy to induce apoptosis in SS.

摘要

滑膜肉瘤(SS)是一种罕见的软组织肉瘤,具有高度恶性和预后不良的特点。初步研究表明,逃避凋亡是滑膜肉瘤进展的关键因素,主要归因于抗凋亡基因的过度表达。然而,这一现象背后的机制仍未完全明确。本研究旨在探究导致逃避凋亡的因素,评估它们作为抗凋亡干预靶点的潜力,并详细分析其机制。我们的研究结果显示,酪氨酸激酶2(TYK2)在高恶性滑膜肉瘤中上调。通过体外和体内功能分析,我们证明,TYK2显著加速滑膜肉瘤细胞的进展。机制上,TYK2激活信号转导和转录激活因子3(STAT3),后者促进抗凋亡基因BCL2的表达。使用特异性抑制剂抑制STAT3激活可破坏TYK2增强的Bcl2表达,表明TYK2/STAT3/Bcl2轴是介导滑膜肉瘤逃避凋亡的关键调控途径。此外,我们对TYK2上游调控的研究发现,融合蛋白SS18-SSX通过与TYK2基因的启动子区域结合来增强TYK2的转录活性,从而提高其表达水平。因此,TYK2/STAT3/Bcl2轴是SS18-SSX介导滑膜肉瘤细胞逃避凋亡的关键机制。总之,我们的研究结果有助于理解SS18-SSX驱动的TYK2表达如何介导逃避凋亡机制,并提出将靶向TYK2作为诱导滑膜肉瘤细胞凋亡的策略。

https://cdn.ncbi.nlm.nih.gov/pmc/blobs/8d34/11662063/a9e15685662b/10565_2024_9952_Fig1_HTML.jpg

文献AI研究员

20分钟写一篇综述,助力文献阅读效率提升50倍。

立即体验

用中文搜PubMed

大模型驱动的PubMed中文搜索引擎

马上搜索

文档翻译

学术文献翻译模型,支持多种主流文档格式。

立即体验