Suppr超能文献

苹果酸启动了一条对炎症pH调节至关重要的质子感应途径。

Malate initiates a proton-sensing pathway essential for pH regulation of inflammation.

作者信息

Chen Yu-Jia-Nan, Shi Rong-Chen, Xiang Yuan-Cai, Fan Li, Tang Hong, He Gang, Zhou Mei, Feng Xin-Zhe, Tan Jin-Dong, Huang Pan, Ye Xiao, Zhao Kun, Fu Wen-Yu, Li Liu-Li, Bian Xu-Ting, Chen Huan, Wang Feng, Wang Teng, Zhang Chen-Ke, Zhou Bing-Hua, Chen Wan, Liang Tao-Tao, Lv Jing-Tong, Kang Xia, Shi You-Xing, Kim Ellen, Qin Yin-Hua, Hettinghouse Aubryanna, Wang Kai-di, Zhao Xiang-Li, Yang Ming-Yu, Tang Yu-Zhen, Piao Hai-Long, Guo Lin, Liu Chuan-Ju, Miao Hong-Ming, Tang Kang-Lai

机构信息

Department of Orthopedic Surgery/Sports Medicine Center, Southwest Hospital, Army Medical University, Chongqing, 400038, China.

Department of Pathophysiology, College of High Altitude Military Medicine, Army Medical University, Chongqing, 400038, China.

出版信息

Signal Transduct Target Ther. 2024 Dec 30;9(1):367. doi: 10.1038/s41392-024-02076-9.

Abstract

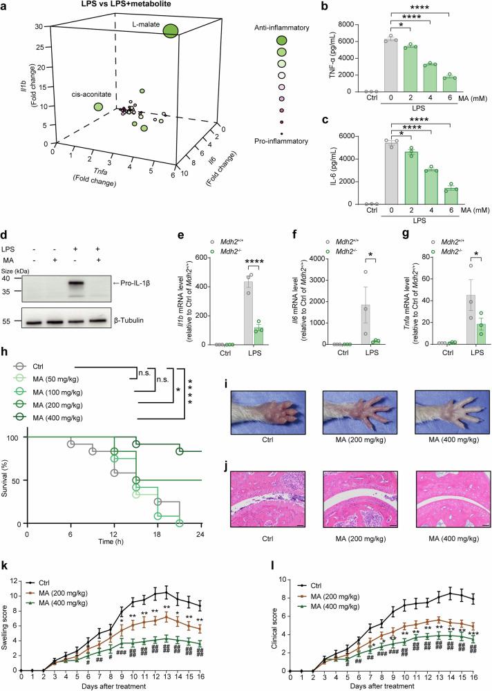
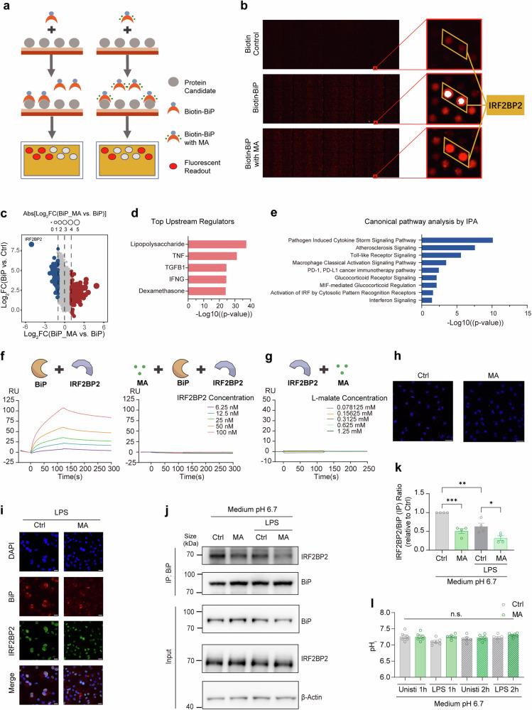
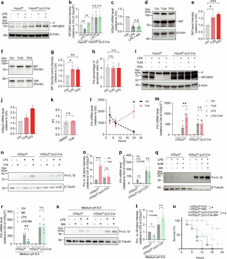
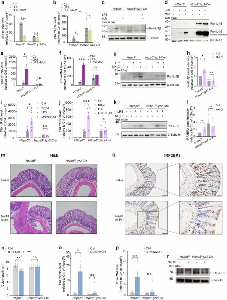
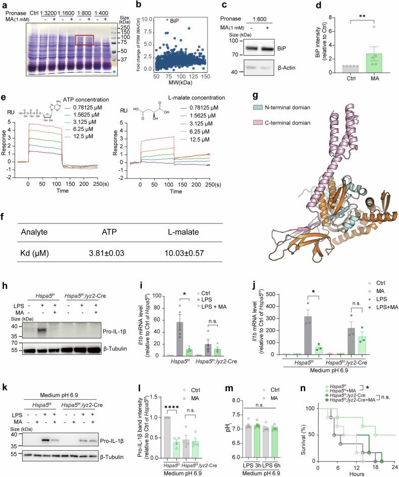
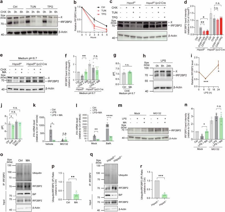
Metabolites can double as a signaling modality that initiates physiological adaptations. Metabolism, a chemical language encoding biological information, has been recognized as a powerful principle directing inflammatory responses. Cytosolic pH is a regulator of inflammatory response in macrophages. Here, we found that L-malate exerts anti-inflammatory effect via BiP-IRF2BP2 signaling, which is a sensor of cytosolic pH in macrophages. First, L-malate, a TCA intermediate upregulated in pro-inflammatory macrophages, was identified as a potent anti-inflammatory metabolite through initial screening. Subsequent screening with DARTS and MS led to the isolation of L-malate-BiP binding. Further screening through protein‒protein interaction microarrays identified a L-malate-restrained coupling of BiP with IRF2BP2, a known anti-inflammatory protein. Interestingly, pH reduction, which promotes carboxyl protonation of L-malate, facilitates L-malate and carboxylate analogues such as succinate to bind BiP, and disrupt BiP-IRF2BP2 interaction in a carboxyl-dependent manner. Both L-malate and acidification inhibit BiP-IRF2BP2 interaction, and protect IRF2BP2 from BiP-driven degradation in macrophages. Furthermore, both in vitro and in vivo, BiP-IRF2BP2 signal is required for effects of both L-malate and pH on inflammatory responses. These findings reveal a previously unrecognized, proton/carboxylate dual sensing pathway wherein pH and L-malate regulate inflammatory responses, indicating the role of certain carboxylate metabolites as adaptors in the proton biosensing by interactions between macromolecules.

摘要

代谢物可兼作启动生理适应的信号传导方式。代谢作为一种编码生物信息的化学语言,已被公认为指导炎症反应的强大原理。胞质pH是巨噬细胞中炎症反应的调节因子。在此,我们发现L-苹果酸通过BiP-IRF2BP2信号传导发挥抗炎作用,而BiP-IRF2BP2信号传导是巨噬细胞中胞质pH的传感器。首先,通过初步筛选,在促炎巨噬细胞中上调的三羧酸循环中间产物L-苹果酸被确定为一种有效的抗炎代谢物。随后用DARTS和质谱进行筛选,分离出L-苹果酸与BiP的结合物。通过蛋白质-蛋白质相互作用微阵列进一步筛选,确定了L-苹果酸抑制BiP与已知抗炎蛋白IRF2BP2的偶联。有趣的是,pH降低促进L-苹果酸的羧基质子化,促进L-苹果酸和琥珀酸等羧酸盐类似物与BiP结合,并以羧基依赖的方式破坏BiP-IRF2BP2相互作用。L-苹果酸和酸化均抑制BiP-IRF2BP2相互作用,并保护IRF2BP2免受巨噬细胞中BiP驱动的降解。此外,在体外和体内,BiP-IRF2BP2信号对于L-苹果酸和pH对炎症反应的影响都是必需的。这些发现揭示了一种以前未被认识的质子/羧酸盐双感应途径,其中pH和L-苹果酸调节炎症反应,表明某些羧酸盐代谢物通过大分子之间的相互作用在质子生物传感中作为衔接子的作用。

https://cdn.ncbi.nlm.nih.gov/pmc/blobs/c2c8/11683149/87f07ed36be9/41392_2024_2076_Fig1_HTML.jpg

文献AI研究员

20分钟写一篇综述,助力文献阅读效率提升50倍。

立即体验

用中文搜PubMed

大模型驱动的PubMed中文搜索引擎

马上搜索

文档翻译

学术文献翻译模型,支持多种主流文档格式。

立即体验