Suppr超能文献

磁共振成像引导的铜剥夺剂激活免疫反应并抑制血管生成以增强抗肿瘤免疫治疗。

MRI guided copper deprivator activated immune responses and suppressed angiogenesis for enhanced antitumor immunotherapy.

作者信息

Wang Yinfeng, Wang Peng, Li Huimin, Yan Miao, Ni Feixue, Zhang Li, Zhao Zhen, Gao Wenjuan, Zhang Guilong

机构信息

School of Pharmacy, Shandong Technology Innovation Center of Molecular Targeting and Intelligent Diagnosis and Treatment, Binzhou Medical University, Yantai 264003, China.

Department of Urology, the First Affiliated Hospital of Anhui Medical University, Institute of Urology, Anhui Medical University and Anhui Province Key Laboratory of Genitourinary Diseases, Anhui Medical University, Hefei 230022, Anhui, China.

出版信息

Theranostics. 2025 Jan 1;15(2):546-559. doi: 10.7150/thno.102556. eCollection 2025.

Abstract

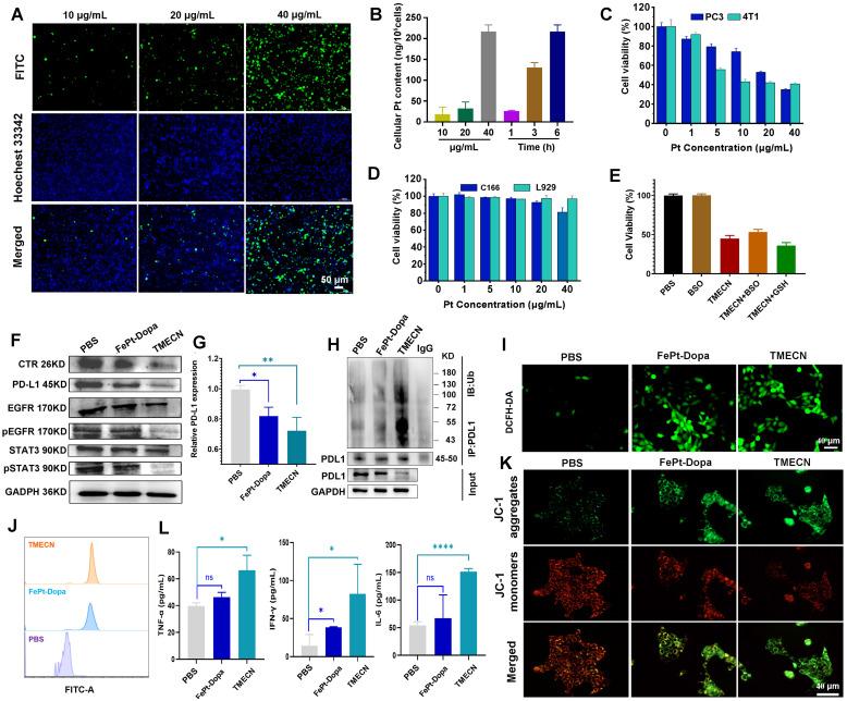
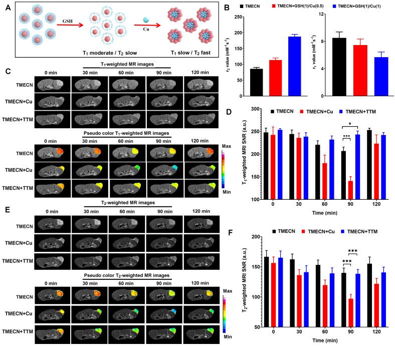
Copper plays an important role in the regulation of PD-L1, suggesting that reducing copper levels within tumors may enhance anti-cancer immunotherapy. Tumor microenvironment responsive copper nanodeprivator (TMECN) was developed for enhancing immunotherapy of tumor via the cross-link of mercaptopolyglycol bipyridine and dimercaptosuccinic acid modifying FePt nanoalloy using the disulfide bond. Upon entering tumor cells, the disulfide bond in TMECN is cleaved by the overexpressed glutathione, exposing abundance of sulfhydryl groups. Next, TMECN actively captured copper ions in the cancer cells, which triggered the self-assembly of TMECN. The reduced copper not only inhibited tumor neovascularization and PD-L1 transcription but also promoted the ubiquitination and degradation of PD-L1, blocking tumor immune escape. In addition, TMECN catalyzed Fenton reaction and produced reactive oxygen species (ROS) in cancer cells, inducing immunogenic cell death (ICD) of tumor. The inhibition of PD-L1 and the activation of ICD synergistically promoted cytotoxic T lymphocyte infiltration for tumor, evoked robust antitumor immune responses. In addition, the self-assembly of TMECN in tumor induced T to T switchable contrast imaging, which significantly improved accurate diagnosis of tumor. TMECN could effectively inhibit tumor growth and metastases, meanwhile improve MRI contrast enhancement of tumor. The project will offer a simple strategy for enhancing MRI-guided antitumor immunotherapy.

摘要

铜在程序性死亡受体配体1(PD-L1)的调控中发挥着重要作用,这表明降低肿瘤内的铜水平可能会增强抗癌免疫疗法。肿瘤微环境响应性铜纳米剥夺剂(TMECN)是通过使用二硫键将巯基聚乙二醇联吡啶和二巯基琥珀酸修饰的FePt纳米合金交联而开发的,用于增强肿瘤的免疫治疗。进入肿瘤细胞后,TMECN中的二硫键被过表达的谷胱甘肽裂解,暴露出大量的巯基。接下来,TMECN主动捕获癌细胞中的铜离子,从而触发TMECN的自组装。还原态的铜不仅抑制肿瘤新生血管形成和PD-L1转录,还促进PD-L1的泛素化和降解,阻断肿瘤免疫逃逸。此外,TMECN催化芬顿反应并在癌细胞中产生活性氧(ROS),诱导肿瘤的免疫原性细胞死亡(ICD)。对PD-L1的抑制和ICD的激活协同促进细胞毒性T淋巴细胞向肿瘤浸润,引发强烈的抗肿瘤免疫反应。此外,TMECN在肿瘤中的自组装诱导了T到T的可切换对比成像,显著提高了肿瘤的准确诊断。TMECN可以有效抑制肿瘤生长和转移,同时提高肿瘤的磁共振成像对比增强。该项目将为增强磁共振成像引导的抗肿瘤免疫治疗提供一种简单的策略。

https://cdn.ncbi.nlm.nih.gov/pmc/blobs/f506/11671392/dc8df01b6147/thnov15p0546g001.jpg

文献AI研究员

20分钟写一篇综述,助力文献阅读效率提升50倍。

立即体验

用中文搜PubMed

大模型驱动的PubMed中文搜索引擎

马上搜索

文档翻译

学术文献翻译模型,支持多种主流文档格式。

立即体验