Suppr超能文献

新辅助免疫治疗联合化疗用于鼻窦鳞状细胞癌:一例病例报告

Neoadjuvant immunotherapy plus chemotherapy for squamous cell carcinoma of the paranasal sinus: a case report.

作者信息

Sun Ying, Yang Guanghui, Sun Ruijie, Cao Fangli

机构信息

Department of Medical Oncology, Qilu Hospital of Shandong University (Qingdao), Qingdao, Shandong, China.

Department of Otolaryngology, Qilu Hospital of Shandong University (Qingdao), Qingdao, Shandong, China.

出版信息

Front Oncol. 2024 Dec 24;14:1462993. doi: 10.3389/fonc.2024.1462993. eCollection 2024.

Abstract

BACKGROUND

Immune checkpoint inhibitors (ICIs) such as pembrolizumab and nivolumab are recommended as first-line therapies for recurrent and metastatic head and neck squamous cell carcinoma (HNSCC). However, their efficacy in neoadjuvant therapy remains uncertain.

CASE PRESENTATION

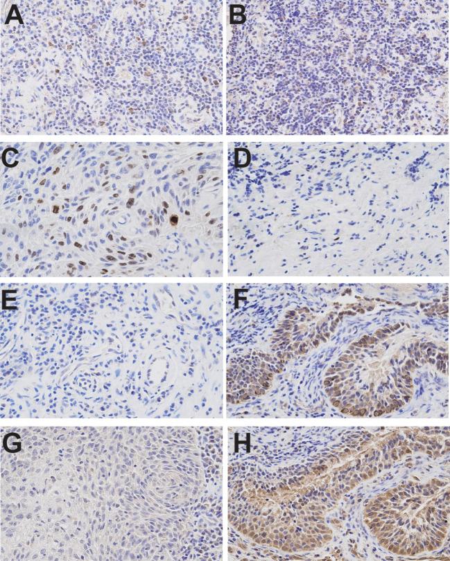
We report the case of a 68-year-old male diagnosed with HNSCC who received neoadjuvant nivolumab (anti-PD-1 inhibitor) plus nab-paclitaxel and carboplatin. Biomarkerswere assessed by immunohistochemistry, and apoptosis-related molecules were analyzed via Western blotting. The patient achieved significant tumor regression and major pathological response (MPR) without severe adverse events. Post-treatment analyses revealed PD-L1 expression increased from 30% to 50% in tumor cells, CD8+ lymphocyte infiltration significantly improved, and Ki-67 expression was markedly reduced.

CONCLUSIONS

This case highlights the potential of combining ICIs with chemotherapy in neoadjuvant settings for HNSCC, providing mechanistic insights and clinical evidence for this emerging approach. Further studies are needed to establish the optimal neoadjuvant treatment regimen and identify patient populations most likely to benefit.

摘要

背景

帕博利珠单抗和纳武利尤单抗等免疫检查点抑制剂被推荐作为复发性和转移性头颈部鳞状细胞癌(HNSCC)的一线治疗方案。然而,它们在新辅助治疗中的疗效仍不确定。

病例报告

我们报告了一例68岁男性HNSCC患者,该患者接受了新辅助纳武利尤单抗(抗PD-1抑制剂)联合白蛋白结合型紫杉醇和卡铂治疗。通过免疫组织化学评估生物标志物,并通过蛋白质免疫印迹法分析凋亡相关分子。患者实现了显著的肿瘤退缩和主要病理反应(MPR),且无严重不良事件。治疗后分析显示,肿瘤细胞中PD-L1表达从30%增加到50%,CD8+淋巴细胞浸润显著改善,Ki-67表达明显降低。

结论

该病例突出了在HNSCC新辅助治疗中免疫检查点抑制剂与化疗联合应用的潜力,为这种新兴方法提供了机制见解和临床证据。需要进一步研究以确定最佳的新辅助治疗方案,并确定最可能受益的患者群体。

https://cdn.ncbi.nlm.nih.gov/pmc/blobs/96e4/11703731/528c2e6eb8e5/fonc-14-1462993-g001.jpg

文献AI研究员

20分钟写一篇综述,助力文献阅读效率提升50倍。

立即体验

用中文搜PubMed

大模型驱动的PubMed中文搜索引擎

马上搜索

文档翻译

学术文献翻译模型,支持多种主流文档格式。

立即体验