Suppr超能文献

来自蛋氨酸限制饮食小鼠供体的粪便微生物群移植通过短链脂肪酸改善阿尔茨海默病的学习和记忆能力。

Fecal Microbiota Transplantation from Methionine-Restricted Diet Mouse Donors Improves Alzheimer's Learning and Memory Abilities Through Short-Chain Fatty Acids.

作者信息

Yu Run, Zhang Haimeng, Chen Rui, Lin Yangzhuo, Xu Jingxuan, Fang Ziyang, Ru Yuehang, Fan Chenhan, Wu Guoqing

机构信息

School of Public Health, Health Science Center, Ningbo University, Ningbo 315211, China.

School of Basic Medical Science, Health Science Center, Ningbo University, Ningbo 315211, China.

出版信息

Foods. 2025 Jan 2;14(1):101. doi: 10.3390/foods14010101.

Abstract

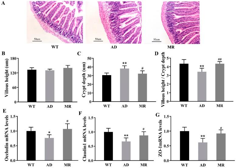
Alzheimer's disease (AD) is marked by impaired cognitive functions, particularly in learning and memory, owing to complex and diverse mechanisms. Methionine restriction (MR) has been found to exert a mitigating effect on brain oxidative stress to improve AD. However, the bidirectional crosstalk between the gut and brain through which MR enhances learning and memory in AD, as well as the effects of fecal microbiota transplantation (FMT) from MR mice on AD mice, remains underexplored. In this study, APP/PS1 double transgenic AD mice were used and an FMT experiment was conducted. 16S rRNA gene sequencing, targeted metabolomics, and microbial metabolite short-chain fatty acids (SCFAs) of feces samples were analyzed. The results showed that MR reversed the reduction in SCFAs induced by AD, and further activated the free fatty acid receptors, FFAR2 and FFAR3, as well as the transport protein MCT1, thereby signaling to the brain to mitigate inflammation and enhance the learning and memory capabilities. Furthermore, the FMT experiment from methionine-restricted diet mouse donors showed that mice receiving FMT ameliorated Alzheimer's learning and memory ability through SCFAs. This study offers novel non-pharmaceutical intervention strategies for AD prevention.

摘要

阿尔茨海默病(AD)的特征是认知功能受损,尤其是学习和记忆方面,这是由复杂多样的机制导致的。已发现蛋氨酸限制(MR)对大脑氧化应激具有缓解作用,从而改善AD。然而,MR通过肠道与大脑之间的双向串扰增强AD学习和记忆的具体机制,以及来自MR小鼠的粪便微生物群移植(FMT)对AD小鼠的影响,仍未得到充分研究。在本研究中,使用了APP/PS1双转基因AD小鼠并进行了FMT实验。对粪便样本进行了16S rRNA基因测序、靶向代谢组学分析以及微生物代谢产物短链脂肪酸(SCFAs)分析。结果表明,MR逆转了AD诱导的SCFAs减少,并进一步激活了游离脂肪酸受体FFAR2和FFAR3以及转运蛋白MCT1,从而向大脑发出信号,减轻炎症并增强学习和记忆能力。此外,来自蛋氨酸限制饮食小鼠供体的FMT实验表明,接受FMT的小鼠通过SCFAs改善了阿尔茨海默病的学习和记忆能力。本研究为AD预防提供了新的非药物干预策略。

https://cdn.ncbi.nlm.nih.gov/pmc/blobs/1a54/11720665/acfbd2847e30/foods-14-00101-g001.jpg

文献AI研究员

20分钟写一篇综述,助力文献阅读效率提升50倍。

立即体验

用中文搜PubMed

大模型驱动的PubMed中文搜索引擎

马上搜索

文档翻译

学术文献翻译模型,支持多种主流文档格式。

立即体验