Suppr超能文献

对一头怀疑患有遗传性胆固醇缺乏症且患有慢性腹泻的荷斯坦犊牛进行整合素β7(ITGB7)基因突变的回顾性检测。

Retrospective detection of ITGB7 gene mutation in a holstein calf with chronic diarrhea that was suspected of hereditary cholesterol deficiency.

作者信息

Inokuma Hisashi, Maezawa Masaki, Tahara Gaku, Miyazaki Yoshiyuki, Ogino Atsushi, Watanabe Ken-Ichi, Kobayashi Yoshiyasu

机构信息

Department of Veterinary Science, Obihiro University of Agriculture and Veterinary Medicine, Hokkaido, Japan.

Present affiliation: Graduate School of Agricultural and Life Sciences, The University of Tokyo, Tokyo, Japan.

出版信息

J Vet Med Sci. 2025 Mar 1;87(3):273-276. doi: 10.1292/jvms.24-0392. Epub 2025 Jan 15.

Abstract

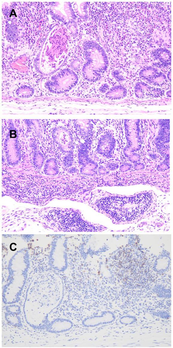
A homozygous individual for ITGB7 gene mutation, an autosomal recessive congenital disorder in Holstein cattle, was retrospectively identified by genotyping of 195 stored blood from patients less than 12 months of age. Other 24 patients (12.3%) showed heterozygous. The homozygous individual was a 107-day-old female calf born on March 2017, who presented with chronic diarrhea and severe hypocholesterolemia suggesting hereditary cholesterol deficiency (CD), but genotyping analysis showed negative for CD. The patient showed watery diarrhea, dehydration, and extreme emaciation. Necropsy revealed no apparent cause of chronic diarrhea. Histopathological examination revealed mild mucosal inflammation from the jejunum to the colon. Seven years after the patient's death, the availability of ITGB7 gene mutation testing revealed the patient to be homozygous.

摘要

通过对195份12个月龄以下患者的储存血液进行基因分型,回顾性鉴定出一头荷斯坦奶牛患有ITGB7基因突变的纯合个体,这是一种常染色体隐性先天性疾病。另外24名患者(12.3%)表现为杂合子。该纯合个体是一头于2017年3月出生的107日龄雌性小牛,出现慢性腹泻和严重低胆固醇血症,提示遗传性胆固醇缺乏(CD),但基因分型分析显示CD为阴性。该患者表现为水样腹泻、脱水和极度消瘦。尸检未发现慢性腹泻的明显病因。组织病理学检查显示从空肠到结肠有轻度黏膜炎症。患者死亡七年后,ITGB7基因突变检测显示该患者为纯合子。

https://cdn.ncbi.nlm.nih.gov/pmc/blobs/c42e/11903359/3694541a3818/jvms-87-273-g001.jpg

文献AI研究员

20分钟写一篇综述,助力文献阅读效率提升50倍。

立即体验

用中文搜PubMed

大模型驱动的PubMed中文搜索引擎

马上搜索

文档翻译

学术文献翻译模型,支持多种主流文档格式。

立即体验