Suppr超能文献

STIL与FOXM1的相互作用在肝细胞癌发展过程中调节SF3A3转录。

Interaction of STIL with FOXM1 regulates SF3A3 transcription in the hepatocellular carcinoma development.

作者信息

Zhang Haijun, Zhang Lin, Wu Ziqi

机构信息

Second Department of General Surgery, the First Hospital of Qiqihar, No. 700, Pukui avenue, Long sha District, Qiqihar, Heilongjiang, 161000, P. R. China.

Department of Pharmacy, the Second Affiliated Hospital of Qiqihar Medical College, Qiqihar, Heilongjiang, 161006, P. R. China.

出版信息

Cell Div. 2025 Jan 17;20(1):1. doi: 10.1186/s13008-025-00142-4.

Abstract

BACKGROUND

Dysregulation of SF3A3 has been related to the development of many cancers. Here, we investigated the functional role of SF3A3 in hepatocellular carcinoma (HCC).

METHODS

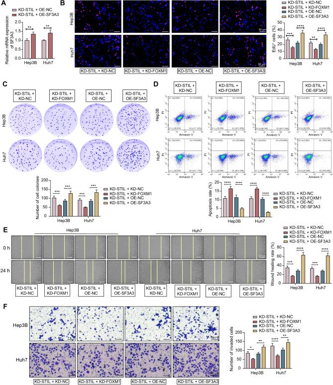
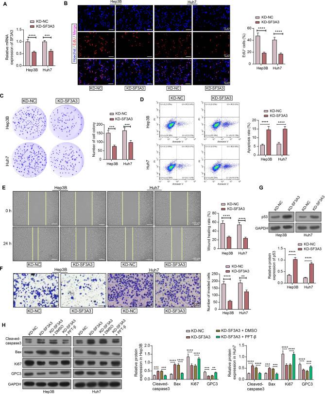
SF3A3 expression in HCC tissues and cell lines was examined using RT-qPCR. Changes in malignant behavior of HCC cells after downregulation of SF3A3 were assessed by EdU, colony formation, flow cytometry, wound healing, and Transwell invasion assays. Multiple datasets were combined to identify the upstream modifiers of SF3A3. The binding relationship between STIL and FOXM1 was explored by co-IP assay, and the effect of STIL and FOXM1 on the binding of FOXM1 at the SF3A3 promoter was detected by ChIP-qPCR assay. A xenograft tumor model was established to explore the changes of tumors in vivo, and the expression of Ki67, GPC3, and p53 in tumor tissues was detected by immunohistochemistry.

RESULTS

SF3A3 and STIL were overexpressed in HCC tissues and cells, and downregulation of SF3A3 or STIL inhibited the malignant behavior of HCC cells by promoting the expression of p53. An interaction between STIL and FOXM1 regulated the SF3A3 expression in HCC cells. Knockdown of FOXM1 further enhanced the anti-tumor effects of STIL loss on HCC cells in vitro and in vivo, whereas SF3A3 overexpression overturned the impact of STIL loss on HCC cells in vitro and in vivo.

CONCLUSIONS

Our findings indicate that STIL/FOXM1 expedites HCC development by activating SF3A3, which highlights the importance of SF3A3 as a promising prognostic marker and therapeutic target for HCC.

摘要

背景

SF3A3失调与多种癌症的发生发展相关。在此,我们研究了SF3A3在肝细胞癌(HCC)中的功能作用。

方法

采用RT-qPCR检测HCC组织和细胞系中SF3A3的表达。通过EdU、集落形成、流式细胞术、伤口愈合和Transwell侵袭实验评估SF3A3下调后HCC细胞恶性行为的变化。整合多个数据集以鉴定SF3A3的上游调节因子。通过免疫共沉淀实验探究STIL与FOXM1之间的结合关系,并通过染色质免疫沉淀定量PCR实验检测STIL和FOXM1对FOXM1在SF3A3启动子处结合的影响。建立异种移植瘤模型以探究体内肿瘤的变化,并通过免疫组织化学检测肿瘤组织中Ki67、GPC3和p53的表达。

结果

SF3A3和STIL在HCC组织和细胞中过表达,下调SF3A3或STIL可通过促进p53表达抑制HCC细胞的恶性行为。STIL与FOXM1之间的相互作用调节HCC细胞中SF3A3的表达。敲低FOXM1进一步增强了STIL缺失对体外和体内HCC细胞的抗肿瘤作用,而SF3A3过表达则推翻了STIL缺失对体外和体内HCC细胞的影响。

结论

我们的研究结果表明,STIL/FOXM1通过激活SF3A3促进HCC发展,这突出了SF3A3作为HCC有前景的预后标志物和治疗靶点的重要性。

https://cdn.ncbi.nlm.nih.gov/pmc/blobs/4b0f/11740530/329861f5f8c2/13008_2025_142_Fig1_HTML.jpg

文献AI研究员

20分钟写一篇综述,助力文献阅读效率提升50倍。

立即体验

用中文搜PubMed

大模型驱动的PubMed中文搜索引擎

马上搜索

文档翻译

学术文献翻译模型,支持多种主流文档格式。

立即体验