Suppr超能文献

白藜芦醇上调miR-124-3p表达以靶向DAPK1,调节NLRP3/半胱天冬酶-1/GSDMD途径以抑制细胞焦亡并减轻脊髓损伤。

Resveratrol Upregulates miR-124-3p Expression to Target DAPK1, Regulating the NLRP3/Caspase-1/GSDMD Pathway to Inhibit Pyroptosis and Alleviate Spinal Cord Injury.

作者信息

Li Daohui, Dai Yongwen, Li Zhengtao, Bi Hangchuan, Li Haotian, Wang Yongquan, Liu Yuan, Tian Xinpeng, Chen Lingqiang

机构信息

Department of Orthopedics, The First Affiliated Hospital of Kunming Medical University, Yunnan, China.

Department of Critical Care Medicine, Xi Chang People's Hospital, Sichuan, China.

出版信息

J Cell Mol Med. 2025 Jan;29(2):e70338. doi: 10.1111/jcmm.70338.

Abstract

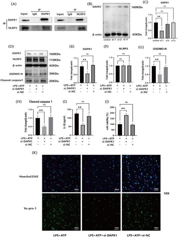
Currently, an effective treatment for spinal cord injury (SCI) is not available. Due to the irreversible primary injury associated with SCI, the prevention and treatment of secondary injury are very important. In the secondary injury stage, pyroptosis exacerbates the deterioration of the spinal cord injury, and inhibiting pyroptosis is beneficial for recovery from SCI. The aim of this study was to clarify the role of resveratrol (RES) and the antipyroptotic mechanisms of RES and miR-124-3p in SCI to lay a theoretical foundation for the clinical treatment of SCI and provide new therapeutic approaches. Using cell staining and related molecular protein detection techniques to assess DAPK1, the effects of miR-124-3p and RES on pyroptosis were investigated, and the effects of RES on injured spinal cord repair in rats were evaluated using tissue staining and related functional recovery experiments. In vitro, DAPK1 interacts with NLRP3, exerting a pyroptotic effect through the NLRP3/Caspase-1/GSDMD pathway and DAPK1 knockdown inhibits pyroptosis. miR-124-3P negatively regulates the level of DAPK1 and reduced cell pyroptosis. RES increased miR-124-3p expression and reduces DAPK1 expression, affecting the NLRP3/Caspase-1/GSDMD pathway and inhibiting pyroptosis. In vivo, RES reduces GSDMD-N levels in rats with SCI, promotes functional recovery, and thus promotes recovery from SCI. Therefore, we concluded that RES increases the level of miR-124-3p, which targets DAPK1, regulates the NLRP3/Caspase-1/GSDMD pathway, inhibits pyroptosis and alleviates SCI.

摘要

目前,尚无针对脊髓损伤(SCI)的有效治疗方法。由于与SCI相关的原发性损伤不可逆转,继发性损伤的预防和治疗非常重要。在继发性损伤阶段,细胞焦亡会加剧脊髓损伤的恶化,抑制细胞焦亡有利于SCI的恢复。本研究的目的是阐明白藜芦醇(RES)的作用以及RES和miR-124-3p在SCI中的抗细胞焦亡机制,为SCI的临床治疗奠定理论基础,并提供新的治疗方法。利用细胞染色和相关分子蛋白检测技术评估DAPK1,研究miR-124-3p和RES对细胞焦亡的影响,并通过组织染色和相关功能恢复实验评估RES对大鼠脊髓损伤修复的作用。在体外,DAPK1与NLRP3相互作用,通过NLRP3/Caspase-1/GSDMD途径发挥细胞焦亡作用,敲低DAPK1可抑制细胞焦亡。miR-124-3P负调控DAPK1水平并减少细胞焦亡。RES增加miR-124-3p表达并降低DAPK1表达,影响NLRP3/Caspase-1/GSDMD途径并抑制细胞焦亡。在体内,RES降低SCI大鼠的GSDMD-N水平,促进功能恢复,从而促进SCI的恢复。因此,我们得出结论,RES增加了靶向DAPK1的miR-124-3p水平,调节NLRP3/Caspase-1/GSDMD途径,抑制细胞焦亡并减轻SCI。

https://cdn.ncbi.nlm.nih.gov/pmc/blobs/91d5/11745821/c087e88bd1c4/JCMM-29-e70338-g002.jpg

文献AI研究员

20分钟写一篇综述,助力文献阅读效率提升50倍。

立即体验

用中文搜PubMed

大模型驱动的PubMed中文搜索引擎

马上搜索

文档翻译

学术文献翻译模型,支持多种主流文档格式。

立即体验