Suppr超能文献

衰老和对1-甲基-4-苯基-1,2,3,6-四氢吡啶(MPTP)的敏感性取决于小鼠黑质中星形胶质细胞和小胶质细胞的分子及超微结构特征。

Aging and MPTP Sensitivity Depend on Molecular and Ultrastructural Signatures of Astroglia and Microglia in Mice Substantia Nigra.

作者信息

Abhilash P L, Bharti Upasna, Rashmi Santhosh Kumar, Philip Mariamma, Raju T R, Kutty Bindu M, Sagar B K Chandrasekhar, Alladi Phalguni Anand

机构信息

Department of Neurophysiology, National Institute of Mental Health and Neurosciences, Hosur Road, Bengaluru, 560029, India.

Department of Clinical Psychopharmacology and Neurotoxicology, National Institute of Mental Health and Neurosciences, Bengaluru, 560029, India.

出版信息

Cell Mol Neurobiol. 2025 Jan 20;45(1):13. doi: 10.1007/s10571-024-01528-8.

Abstract

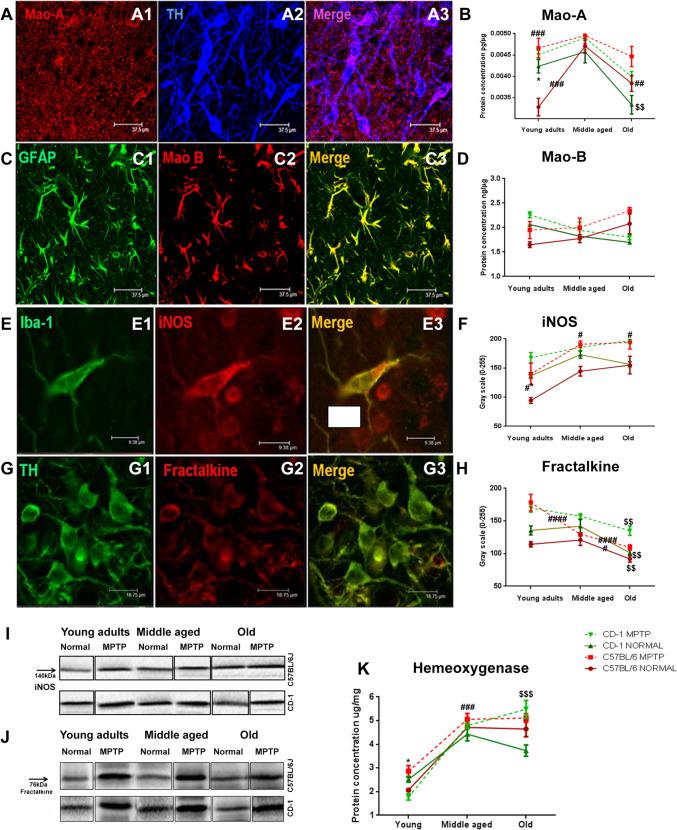
Both astroglia and microglia show region-specific distribution in CNS and often maladapt to age-associated alterations within their niche. Studies on autopsied substantia nigra (SN) of Parkinson's disease (PD) patients and experimental models propose gliosis as a trigger for neuronal loss. Epidemiological studies propose an ethnic bias in PD prevalence, since Caucasians are more susceptible than non-whites. Similarly, different mice strains are variably sensitive to MPTP. We had earlier likened divergent MPTP sensitivity of C57BL/6 J and CD-1 mice with differential susceptibility to PD, based on the numbers of SN neurons. We examined whether the variability was incumbent to inter-strain differences in glial features of male C57BL/6 J and CD-1 mice. Stereological counts showed relatively more microglia and fewer astrocytes in the SN of normal C57BL/6 J mice, suggesting persistence of an immune-vigilant state. MPTP-induced microgliosis and astrogliosis in both strains suggest their involvement in pathogenesis. ELISA of pro-inflammatory cytokines in the ventral-midbrain revealed augmentation of TNF-α and IL-6 at middle age in both strains that reduced at old age, suggesting middle age as a critical, inflamm-aging-associated time point. TNF-α levels were high in C57BL/6 J, through aging and post-MPTP, while IL-6 and IL-1β were upregulated at old age. CD-1 had higher levels of anti-inflammatory cytokine TGF-β. MPTP challenge caused upregulation of enzymes MAO-A, MAO-B, and iNOS in both strains. Post-MPTP enhancement in fractalkine and hemeoxygenase-1 may be neuron-associated compensatory signals. Ultrastructural observations of elongated astroglial/microglial mitochondria vis-à-vis the shrunken ones in neurons suggest a scale-up of their functions with neurotoxic consequences. Thus, astroglia and microglia may modulate aging and PD susceptibility.

摘要

星形胶质细胞和小胶质细胞在中枢神经系统中均呈现区域特异性分布,并且常常无法适应其微环境中与年龄相关的变化。对帕金森病(PD)患者尸检黑质(SN)以及实验模型的研究表明,胶质细胞增生是神经元丢失的一个触发因素。流行病学研究提出PD患病率存在种族差异,因为白种人比非白种人更易患病。同样,不同品系的小鼠对1-甲基-4-苯基-1,2,3,6-四氢吡啶(MPTP)的敏感性也各不相同。基于SN神经元数量,我们之前曾将C57BL/6 J和CD-1小鼠对MPTP的不同敏感性与对PD的不同易感性进行类比。我们研究了这种变异性是否归因于雄性C57BL/6 J和CD-1小鼠胶质细胞特征的品系间差异。体视学计数显示,正常C57BL/6 J小鼠的SN中微胶质细胞相对较多,星形胶质细胞较少,这表明其免疫警戒状态持续存在。MPTP诱导的两种品系小鼠的小胶质细胞增生和星形胶质细胞增生表明它们参与了发病机制。对腹侧中脑促炎细胞因子的酶联免疫吸附测定(ELISA)显示,两种品系小鼠在中年时肿瘤坏死因子-α(TNF-α)和白细胞介素-6(IL-6)均增加,而在老年时减少,这表明中年是一个关键的、与炎症衰老相关的时间点。在衰老过程中和MPTP处理后,C57BL/6 J小鼠的TNF-α水平都很高,而IL-6和白细胞介素-1β(IL-1β)在老年时上调。CD-1小鼠的抗炎细胞因子转化生长因子-β(TGF-β)水平较高。MPTP刺激导致两种品系小鼠中单胺氧化酶-A(MAO-A)、单胺氧化酶-B(MAO-B)和诱导型一氧化氮合酶(iNOS)的上调。MPTP处理后趋化因子和血红素加氧酶-1的增强可能是与神经元相关的代偿信号。与神经元中萎缩的线粒体相比,对伸长的星形胶质细胞/小胶质细胞线粒体的超微结构观察表明它们的功能增强,但会产生神经毒性后果。因此,星形胶质细胞和小胶质细胞可能调节衰老和PD易感性。

https://cdn.ncbi.nlm.nih.gov/pmc/blobs/d9bf/11753320/4c990f55a83f/10571_2024_1528_Fig1_HTML.jpg

文献AI研究员

20分钟写一篇综述,助力文献阅读效率提升50倍。

立即体验

用中文搜PubMed

大模型驱动的PubMed中文搜索引擎

马上搜索

文档翻译

学术文献翻译模型,支持多种主流文档格式。

立即体验