Suppr超能文献

靶向髓核细胞中IRF2/POSTN/Notch1轴治疗椎间盘退变的潜力

Therapeutic potential of targeting the IRF2/POSTN/Notch1 axis in nucleus pulposus cells for intervertebral disc degeneration.

作者信息

Zhu Daxue, Wang Zhaoheng, Chen Shijie, Li Yanhu, Kang Xuewen

机构信息

Lanzhou University Second Hospital, 82 Cui-Ying-Men, Lanzhou, 730030, PR China.

Key Laboratory of Orthopedic Disease of Gansu Province, Lanzhou University Second Hospital, Lanzhou, 730030, PR China.

出版信息

J Neuroinflammation. 2025 Jan 22;22(1):13. doi: 10.1186/s12974-025-03335-4.

Abstract

BACKGROUND

Intervertebral disc degeneration (IDD) is a leading cause of low back pain, often linked to inflammation and pyroptosis in nucleus pulposus (NP) cells. The role of Periostin (POSTN) in IDD remains unclear.

OBJECTIVE

This study aims to investigate the influence of POSTN on pyroptosis and NLRP3 inflammasome activation in NP cells during IDD.

METHODS

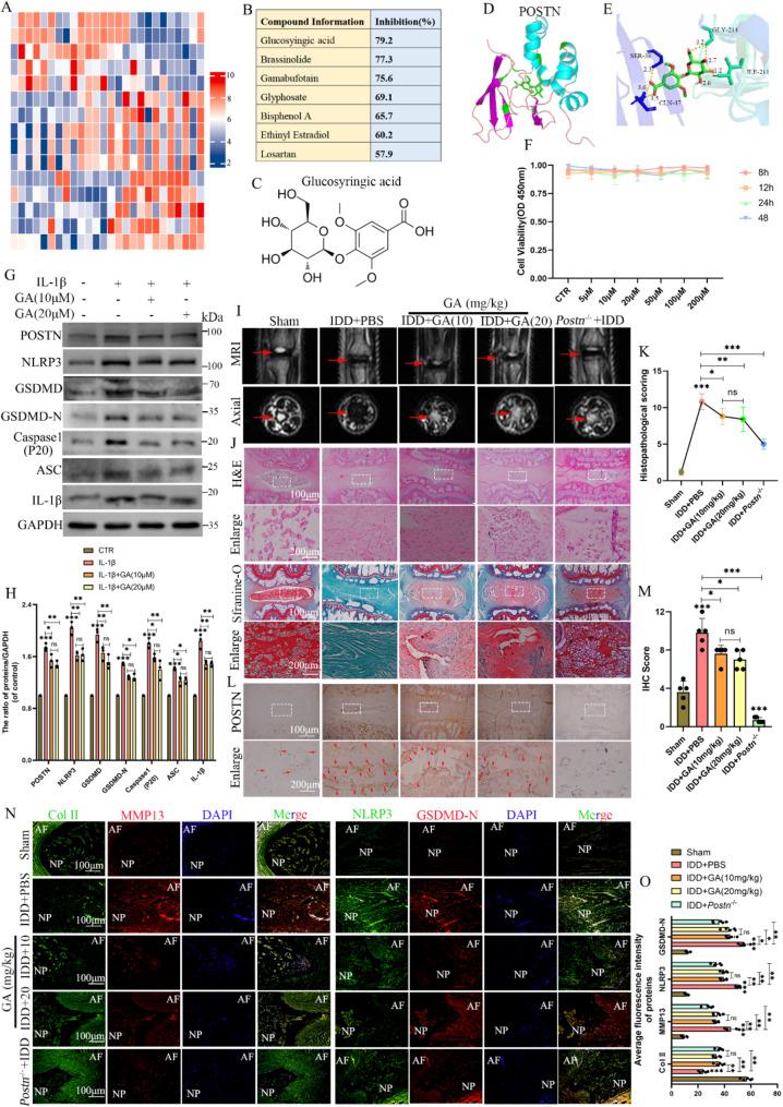
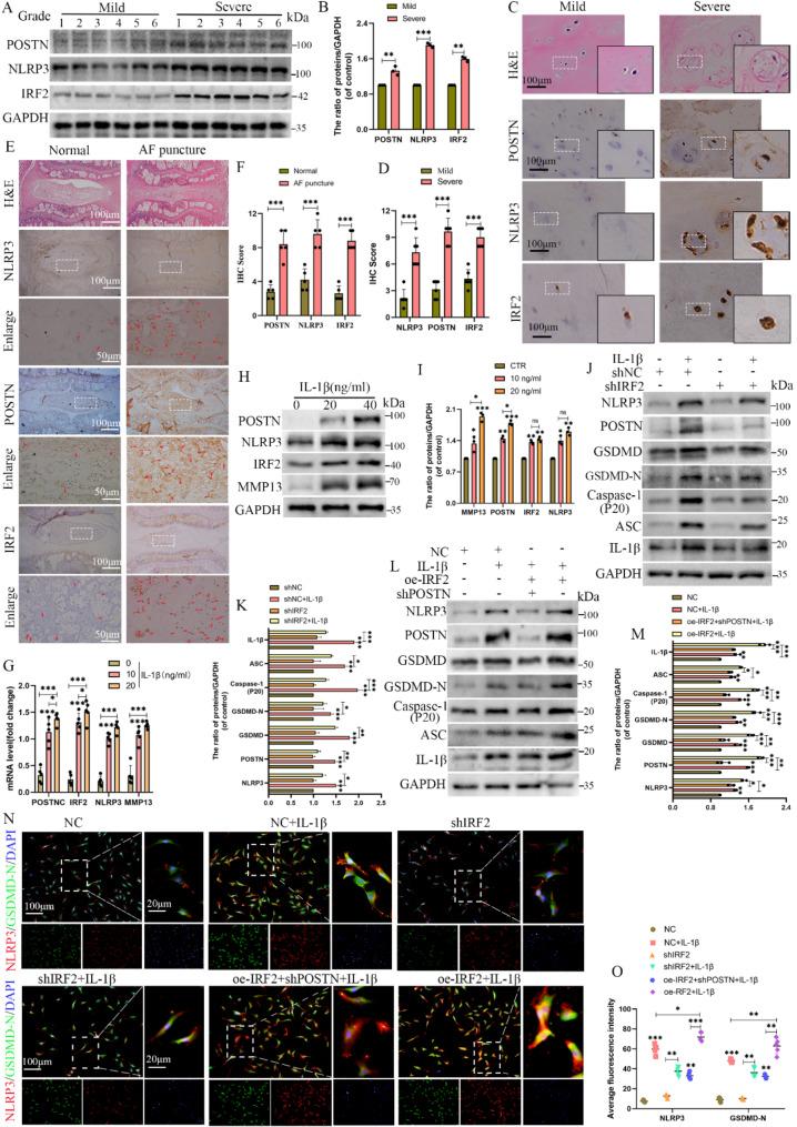
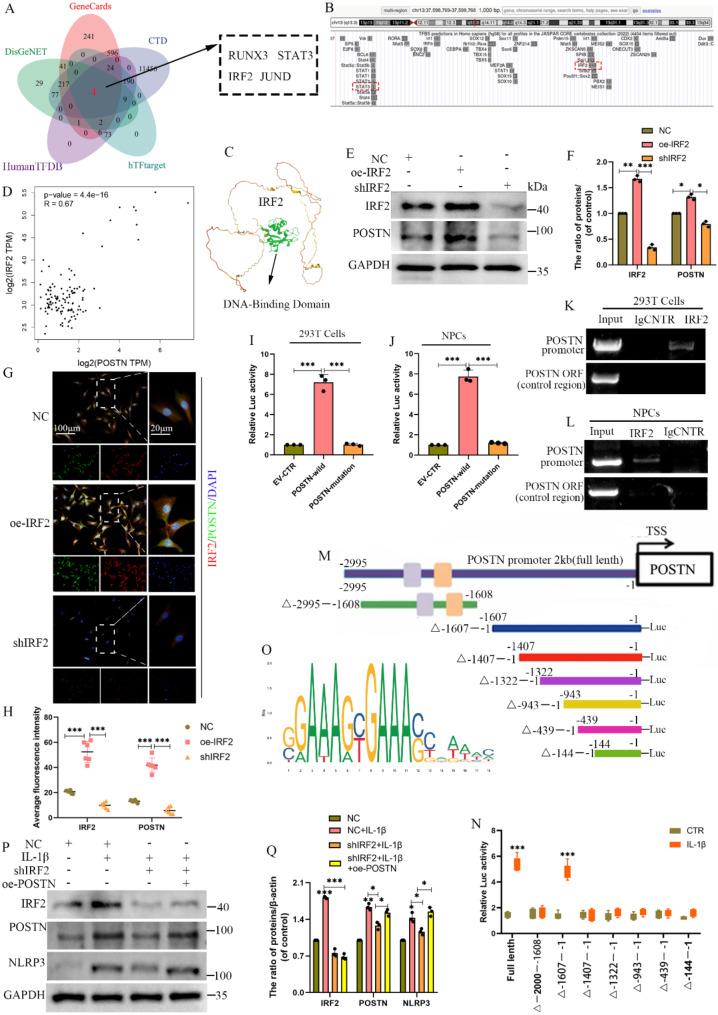
IVD samples were collected from patients undergoing spinal surgery and classified according to the Pfirrmann grading system. Human NP cells were cultured and treated with IL-1β to induce a pyroptotic phenotype. Western blotting, Immunofluorescence (IF), and immunohistochemistry (IHC) assessed the expression levels of relevant proteins. Chromatin immunoprecipitation (ChIP) and luciferase reporter assays verified the binding of IRF2 to the POSTN and GSDMD promoters and evaluated the activation levels of target genes. The severity of IDD was evaluated using MRI and histological analysis.

RESULTS

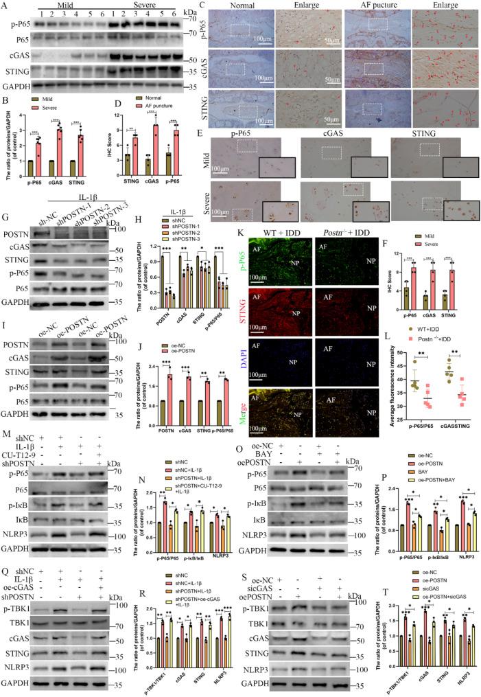
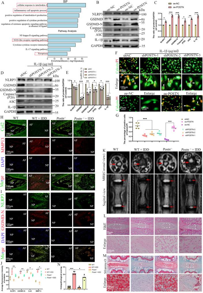
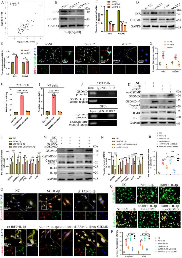
Deletion of POSTN significantly alleviated IDD by suppressing NLRP3 inflammasome activity and pyroptosis in NP cells. POSTN was found to aggravate NP cell pyroptosis by activating the NLRP3 inflammasome through the NF-κB (P65) and cGAS/STING signaling pathways. Furthermore, POSTN interacted with Notch1 to induce NLRP3 expression. IRF2 was identified as a regulator of POSTN at the transcriptional level, contributing to NLRP3 activation and NP cell pyroptosis. IRF2 also directly induced the transcriptional expression of GSDMD, mediating pyroptosis in NP cells. Chemical screening identified Glucosyringic acid (GA) as a direct inhibitor of POSTN, which delayed IDD progression.

CONCLUSION

The study elucidates the pivotal role of POSTN in mediating NP cell pyroptosis through the NLRP3 inflammasome and highlights GA as a promising therapeutic candidate for IDD. These findings provide new insights into the molecular mechanisms of IDD and potential avenues for treatment.

摘要

背景

椎间盘退变(IDD)是腰痛的主要原因,通常与髓核(NP)细胞中的炎症和细胞焦亡有关。骨膜蛋白(POSTN)在IDD中的作用尚不清楚。

目的

本研究旨在探讨POSTN对IDD过程中NP细胞焦亡和NLRP3炎性小体激活的影响。

方法

收集接受脊柱手术患者的椎间盘样本,并根据Pfirrmann分级系统进行分类。培养人NP细胞,并用IL-1β处理以诱导细胞焦亡表型。蛋白质免疫印迹法、免疫荧光(IF)和免疫组织化学(IHC)评估相关蛋白的表达水平。染色质免疫沉淀(ChIP)和荧光素酶报告基因检测验证IRF2与POSTN和GSDMD启动子的结合,并评估靶基因的激活水平。使用磁共振成像(MRI)和组织学分析评估IDD的严重程度。

结果

POSTN的缺失通过抑制NP细胞中的NLRP3炎性小体活性和细胞焦亡,显著减轻了IDD。发现POSTN通过NF-κB(P65)和cGAS/STING信号通路激活NLRP3炎性小体,从而加重NP细胞焦亡。此外,POSTN与Notch1相互作用以诱导NLRP3表达。IRF2被确定为POSTN在转录水平的调节因子,促进NLRP3激活和NP细胞焦亡。IRF2还直接诱导GSDMD的转录表达,介导NP细胞的焦亡。化学筛选确定丁香酸(GA)为POSTN的直接抑制剂,可延缓IDD进展。

结论

该研究阐明了POSTN在通过NLRP3炎性小体介导NP细胞焦亡中的关键作用,并突出了GA作为有前景的IDD治疗候选药物。这些发现为IDD的分子机制和潜在治疗途径提供了新的见解。

https://cdn.ncbi.nlm.nih.gov/pmc/blobs/8d37/11755837/3b540a85d185/12974_2025_3335_Fig1_HTML.jpg

文献AI研究员

20分钟写一篇综述,助力文献阅读效率提升50倍。

立即体验

用中文搜PubMed

大模型驱动的PubMed中文搜索引擎

马上搜索

文档翻译

学术文献翻译模型,支持多种主流文档格式。

立即体验