Suppr超能文献

在金黄叙利亚仓鼠中评估并提取针对严重急性呼吸综合征冠状病毒2(SARS-CoV-2)德尔塔变种的活性:COVID-19治疗的潜在草药替代方案。

evaluation of and extract activity against SARS-CoV-2 Delta variant in Golden Syrian hamsters: Potential herbal alternative for COVID-19 treatment.

作者信息

Kongsomros Supasek, Boonyarattanasoonthorn Tussapon, Phongphaew Wallaya, Kasorndorkbua Chaiyan, Sunyakumthorn Piyanate, Im-Erbsin Rawiwan, Lugo-Roman Luis A, Kongratanapasert Teetat, Paha Jiraporn, Manopwisedjaroen Suwimon, Kwankhao Pakakrong, Supannapan Kittitach, Ngamkhae Nittaya, Srimongkolpithak Nitipol, Vivithanaporn Pornpun, Hongeng Suradej, Thitithanyanont Arunee, Khemawoot Phisit

机构信息

Chakri Naruebodindra Medical Institute, Faculty of Medicine Ramathibodi Hospital, Mahidol University, Samutprakarn, 10540, Thailand.

Department of Pathology, Faculty of Veterinary Medicine, Kasetsart University, Bangkok, 10900, Thailand.

出版信息

J Tradit Complement Med. 2024 May 16;14(6):598-610. doi: 10.1016/j.jtcme.2024.05.004. eCollection 2024 Nov.

Abstract

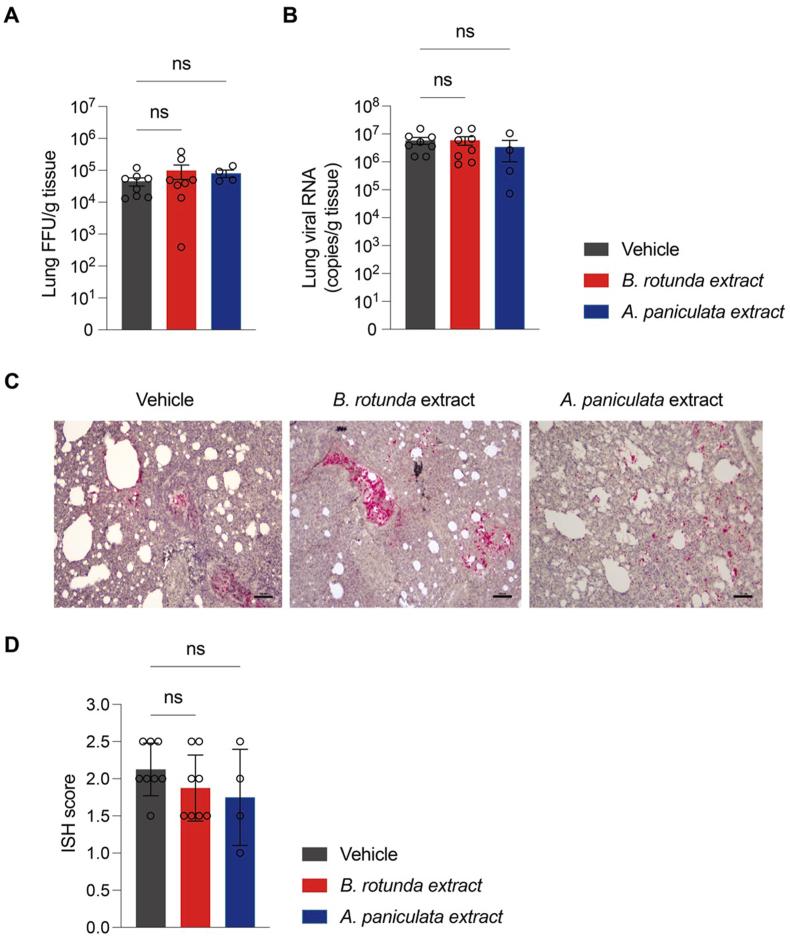
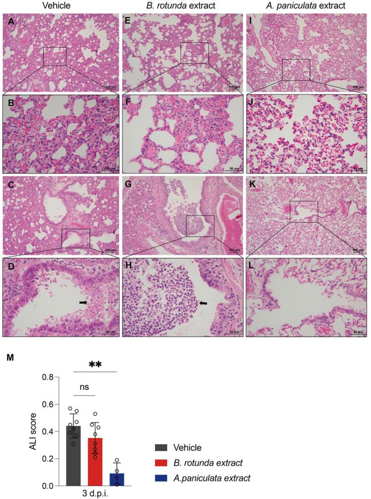
The ongoing COVID-19 pandemic has triggered extensive research, mainly focused on identifying effective therapeutic agents, specifically those targeting highly pathogenic SARS-CoV-2 variants. This study aimed to investigate the antiviral efficacy and anti-inflammatory activity of herbal extracts derived from and , using a Golden Syrian hamster model infected with Delta, a representative variant associated with severe COVID-19. Hamsters were intranasally inoculated with the SARS-CoV-2 Delta variant and orally administered either vehicle control, , or extract at a dosage of 1000 mg/kg/day. Euthanasia was conducted on days 1, 3, and 7 post-inoculation, with 4 animals per group. The results demonstrated that oral administration of extract significantly alleviated both lethality and infection severity compared with the vehicle control and extract. However, neither extract exhibited direct antiviral activity in terms of reducing viral load in the lungs. Nonetheless, extract treatment significantly reduced IL-6 protein levels in the lung tissue (7278 ± 868.4 pg/g tissue) compared to the control (12,495 ± 1118 pg/g tissue), indicating there was a decrease in local inflammation. This finding is evidenced by the ability of extract to reduce histological lesions in the lungs of infected hamsters. Furthermore, both extracts significantly decreased IL-6 and IP-10 mRNA expression in peripheral blood mononuclear cells of infected hamsters compared to the control group, suggesting systemic anti-inflammatory effects occurred. In conclusion, extract's potential therapeutic application for SARS-CoV-2 arises from its observed capacity to lessen inflammatory cytokine concentrations and mitigate lung pathology.

摘要

持续的新冠疫情引发了广泛研究,主要集中在确定有效的治疗药物,特别是针对高致病性新冠病毒变异株的药物。本研究旨在利用感染了德尔塔毒株(一种与严重新冠相关的代表性变异株)的金黄仓鼠模型,研究[植物名称1]和[植物名称2]的草药提取物的抗病毒功效和抗炎活性。仓鼠经鼻接种新冠病毒德尔塔变异株,并以1000毫克/千克/天的剂量口服给予溶剂对照、[植物名称1]提取物或[植物名称2]提取物。在接种后第1、3和7天实施安乐死,每组4只动物。结果表明,与溶剂对照和[植物名称2]提取物相比,口服[植物名称1]提取物显著减轻了致死率和感染严重程度。然而,就降低肺部病毒载量而言,两种提取物均未表现出直接的抗病毒活性。尽管如此,与对照组(12495±1118皮克/克组织)相比,[植物名称1]提取物处理显著降低了肺组织中的白细胞介素-6蛋白水平(7278±868.4皮克/克组织),表明局部炎症有所减轻。感染仓鼠肺部组织学病变的减轻证明了这一发现。此外,与对照组相比,两种提取物均显著降低了感染仓鼠外周血单核细胞中白细胞介素-6和干扰素诱导蛋白10的信使核糖核酸表达,表明出现了全身抗炎作用。总之,[植物名称1]提取物对新冠病毒的潜在治疗应用源于其观察到的降低炎性细胞因子浓度和减轻肺部病理的能力。

https://cdn.ncbi.nlm.nih.gov/pmc/blobs/7c4c/11752117/037cd11722e3/ga1.jpg

文献AI研究员

20分钟写一篇综述,助力文献阅读效率提升50倍。

立即体验

用中文搜PubMed

大模型驱动的PubMed中文搜索引擎

马上搜索

文档翻译

学术文献翻译模型,支持多种主流文档格式。

立即体验