Suppr超能文献

一种源自FGF2的短肽通过FGFR/MAPK信号通路抑制胶原蛋白沉积和上皮-间质转化,减轻博来霉素诱导的肺纤维化。

An FGF2-Derived Short Peptide Attenuates Bleomycin-Induced Pulmonary Fibrosis by Inhibiting Collagen Deposition and Epithelial-Mesenchymal Transition via the FGFR/MAPK Signaling Pathway.

作者信息

Wang Mengwei, Sun Yuanmeng, Zhao Yanzhi, Jiang Xinyi, Wang Teng, Xie Junye, Yu Xiuling, Guo Shujun, Zhang Yibo, Chen Xiaojia, Hong An

机构信息

Institute of Biomedicine & Department of Cell Biology, College of Life Science and Technology, Jinan University, Guangzhou 510632, China.

State Key Laboratory of Bioactive Molecules and Druggability Assessment, Jinan University, Guangzhou 510632, China.

出版信息

Int J Mol Sci. 2025 Jan 9;26(2):517. doi: 10.3390/ijms26020517.

Abstract

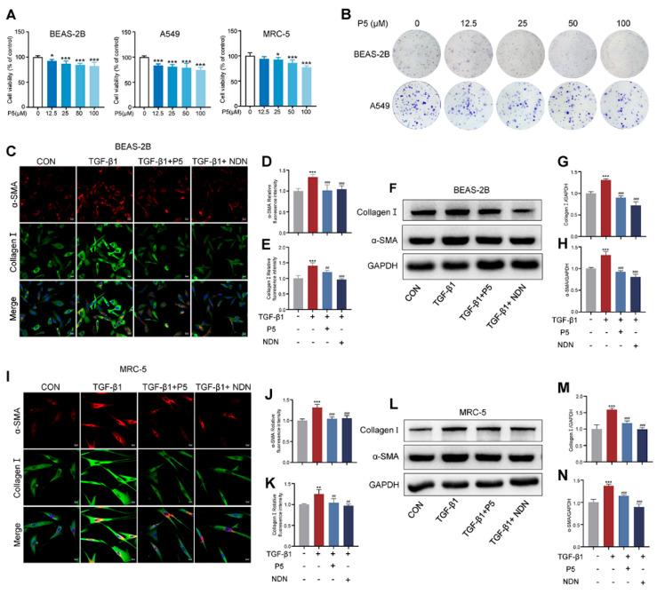
Following the COVID-19 pandemic, the prevalence of pulmonary fibrosis has increased significantly, placing patients at higher risk and presenting new therapeutic challenges. Current anti-fibrotic drugs, such as Nintedanib, can slow the decline in lung function, but their severe side effects highlight the urgent need for safer and more targeted alternatives. This study explores the anti-fibrotic potential and underlying mechanisms of an endogenous peptide (P5) derived from fibroblast growth factor 2 (FGF2), developed by our research team. Using a bleomycin-induced pulmonary fibrosis mouse model, we observed that P5 alleviated fibrosis by inhibiting collagen deposition, as confirmed by CT scans and histological staining. In TGF-β-induced cell models, P5 effectively suppressed collagen deposition and epithelial-mesenchymal transition (EMT). Transcriptome analysis highlighted pathways related to receptor binding, extracellular matrix organization, and cell adhesion, with KEGG analysis confirming FGFR/MAPK signaling inhibition as the primary mechanism underlying its anti-fibrotic effects. In summary, our study demonstrates that P5 significantly attenuates pulmonary fibrosis through the inhibition of EMT, collagen deposition, and FGFR/MAPK signaling, providing a promising therapeutic approach for fibrosis.

摘要

在新冠疫情之后,肺纤维化的患病率显著上升,这使患者面临更高风险,并带来了新的治疗挑战。目前的抗纤维化药物,如尼达尼布,可减缓肺功能下降,但它们的严重副作用凸显了对更安全、更具针对性的替代药物的迫切需求。本研究探索了由我们研究团队研发的一种源自成纤维细胞生长因子2(FGF2)的内源性肽(P5)的抗纤维化潜力及其潜在机制。使用博来霉素诱导的肺纤维化小鼠模型,我们观察到P5通过抑制胶原蛋白沉积减轻了纤维化,CT扫描和组织学染色证实了这一点。在转化生长因子-β(TGF-β)诱导的细胞模型中,P5有效抑制了胶原蛋白沉积和上皮-间质转化(EMT)。转录组分析突出了与受体结合、细胞外基质组织和细胞黏附相关的通路,KEGG分析证实抑制FGFR/MAPK信号通路是其抗纤维化作用的主要机制。总之,我们的研究表明,P5通过抑制EMT、胶原蛋白沉积和FGFR/MAPK信号通路显著减轻肺纤维化,为纤维化提供了一种有前景的治疗方法。

https://cdn.ncbi.nlm.nih.gov/pmc/blobs/f2d4/11764546/a52f20b96de2/ijms-26-00517-g001.jpg

文献AI研究员

20分钟写一篇综述,助力文献阅读效率提升50倍。

立即体验

用中文搜PubMed

大模型驱动的PubMed中文搜索引擎

马上搜索

文档翻译

学术文献翻译模型,支持多种主流文档格式。

立即体验