Suppr超能文献

足细胞中依赖REDD1的GSK3β信号传导促进糖尿病肾病中经典NF-κB的激活。

REDD1-dependent GSK3β signaling in podocytes promotes canonical NF-κB activation in diabetic nephropathy.

作者信息

Sunilkumar Siddharth, Yerlikaya Esma I, VanCleave Ashley, Subrahmanian Sandeep M, Toro Allyson L, Kimball Scot R, Dennis Michael D

机构信息

Department of Cellular and Molecular Physiology, Penn State College of Medicine, Hershey, Pennsylvania, USA.

Department of Cellular and Molecular Physiology, Penn State College of Medicine, Hershey, Pennsylvania, USA.

出版信息

J Biol Chem. 2025 Mar;301(3):108244. doi: 10.1016/j.jbc.2025.108244. Epub 2025 Jan 27.

Abstract

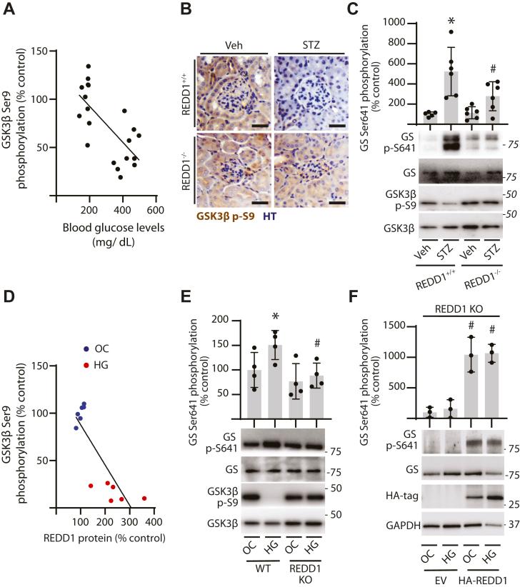
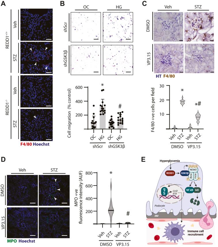
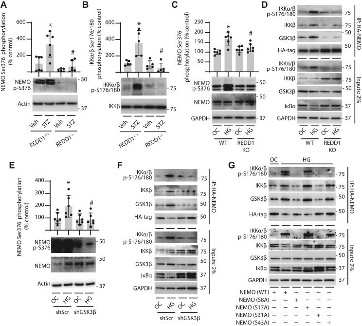
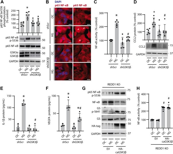
Increasing evidence supports the role of an augmented immune response in the early development and progression of renal complications caused by diabetes. We recently demonstrated that podocyte-specific expression of stress response protein regulated in development and DNA damage response 1 (REDD1) contributes to activation of the pro-inflammatory transcription factor NF-κB in the kidney of diabetic mice. The studies here were designed to define the specific signaling events whereby REDD1 promotes NF-κB activation in the context of diabetic nephropathy. Streptozotocin (STZ)-induced diabetes promoted activation of glycogen synthase kinase 3β (GSK3β) in the kidney, which was prevented by REDD1 ablation. REDD1 was necessary and sufficient to enhance GSK3β activity in human podocyte cultures exposed to hyperglycemic conditions. GSK3β suppression prevented NF-κB activation and normalized the expression of pro-inflammatory factors in podocytes exposed to hyperglycemic conditions. In the kidneys of diabetic mice and podocytes exposed to hyperglycemic conditions, REDD1-dependent GSK3β signaling promoted activation of the inhibitor of κB (IκB) kinase (IKK) complex upstream of NF-κB. GSK3β knockdown in podocytes exposed to hyperglycemic conditions reduced macrophage chemotaxis. Similarly, in diabetic mice treated with a GSK3 inhibitor, immune cell infiltration in the kidneys was reduced. Overall, the data support a model wherein hyperglycemia amplifies the activation of GSK3β in a REDD1-dependent manner, leading to canonical NF-κB signaling and an augmented renal immune response in diabetic nephropathy.

摘要

越来越多的证据支持增强的免疫反应在糖尿病引起的肾脏并发症的早期发展和进展中所起的作用。我们最近证明,在发育和DNA损伤反应中受调控的应激反应蛋白1(REDD1)在足细胞中的特异性表达有助于糖尿病小鼠肾脏中促炎转录因子NF-κB的激活。本文的研究旨在确定在糖尿病肾病背景下REDD1促进NF-κB激活的具体信号事件。链脲佐菌素(STZ)诱导的糖尿病促进了肾脏中糖原合酶激酶3β(GSK3β)的激活,而REDD1基因敲除可阻止这种激活。在暴露于高血糖条件的人足细胞培养物中,REDD1对于增强GSK3β活性是必要且充分的。抑制GSK3β可阻止NF-κB激活,并使暴露于高血糖条件的足细胞中促炎因子的表达正常化。在糖尿病小鼠的肾脏和暴露于高血糖条件的足细胞中,REDD1依赖的GSK3β信号传导促进了NF-κB上游的κB抑制因子(IκB)激酶(IKK)复合物的激活。在暴露于高血糖条件的足细胞中敲低GSK3β可降低巨噬细胞趋化性。同样,在用GSK3抑制剂治疗的糖尿病小鼠中,肾脏中的免疫细胞浸润减少。总体而言,这些数据支持一种模型,即高血糖以REDD1依赖的方式放大GSK3β的激活,导致经典的NF-κB信号传导和糖尿病肾病中增强的肾脏免疫反应。

https://cdn.ncbi.nlm.nih.gov/pmc/blobs/dcd3/11904504/cea843a88858/gr1.jpg

文献AI研究员

20分钟写一篇综述,助力文献阅读效率提升50倍。

立即体验

用中文搜PubMed

大模型驱动的PubMed中文搜索引擎

马上搜索

文档翻译

学术文献翻译模型,支持多种主流文档格式。

立即体验