Suppr超能文献

液晶单体通过胎盘转运诱导胎盘发育和孕酮释放失调。

Liquid crystal monomers induce placental development and progesterone release dysregulation through transplacental transportation.

作者信息

Zhang Shaohan, Cheng Zhipeng, Zhang Tao, Ding Yubin, Zhu Hongkai, Wang Lei, Sun Hongwen

机构信息

MOE Key Laboratory of Pollution Processes and Environmental Criteria, College of Environmental Science and Engineering, Nankai University, Tianjin, 300350, China.

School of Environmental Science and Engineering, Sun Yat-Sen University, 135 Xingang West Street, Guangzhou, 510275, China.

出版信息

Nat Commun. 2025 Jan 31;16(1):1204. doi: 10.1038/s41467-025-56552-z.

Abstract

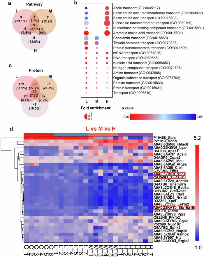
Embryonic and fetal development can be affected during gestation by exposure to xenobiotics that cross the placenta. Liquid crystal monomers (LCMs) are emerging contaminants commonly found in indoor environments; however, whether they can cross the placenta and affect placental development remains unexplored. Here, we develop an evaluation system that integrates human biomonitoring, uterine perfusion in pregnant rats, and placental cells. We find fourteen out of the fifty-six LCMs that are detected in maternal and cord serum samples from ninety-three healthy pregnant women, at median levels of 13.9 and 18.1 ng/mL, respectively. Subsequent explorations of in utero exposure in rats indicate that aromatic amino acid transporter 1 (SLC16A10) mediates transplacental transportation of the LCMs. Placental cells exposed to LCMs exhibit delayed placental development and reduced progesterone release. These findings show that SLC16A10-mediated transplacental transportation of LCMs inhibits placental development and progesterone release, highlighting the importance of gestational exposure to emerging contaminants.

摘要

孕期接触能穿过胎盘的外源性物质会影响胚胎和胎儿发育。液晶单体(LCMs)是室内环境中常见的新兴污染物;然而,它们是否能穿过胎盘并影响胎盘发育仍未得到探索。在此,我们开发了一种整合人体生物监测、孕鼠子宫灌注和胎盘细胞的评估系统。我们在93名健康孕妇的母血和脐带血血清样本中检测到56种LCMs中的14种,中位水平分别为13.9和18.1 ng/mL。随后对大鼠子宫内暴露的研究表明,芳香族氨基酸转运体1(SLC16A10)介导LCMs的胎盘转运。暴露于LCMs的胎盘细胞表现出胎盘发育延迟和孕酮释放减少。这些发现表明,SLC16A10介导的LCMs胎盘转运抑制胎盘发育和孕酮释放,凸显了孕期接触新兴污染物的重要性。

https://cdn.ncbi.nlm.nih.gov/pmc/blobs/8792/11782568/86254c086d33/41467_2025_56552_Fig1_HTML.jpg

文献AI研究员

20分钟写一篇综述,助力文献阅读效率提升50倍。

立即体验

用中文搜PubMed

大模型驱动的PubMed中文搜索引擎

马上搜索

文档翻译

学术文献翻译模型,支持多种主流文档格式。

立即体验