Suppr超能文献

HDAC2介导的METTL3去乙酰化促进三阴性乳腺癌的DNA损伤修复和化疗耐药性。

HDAC2-Mediated METTL3 Delactylation Promotes DNA Damage Repair and Chemotherapy Resistance in Triple-Negative Breast Cancer.

作者信息

He Xiaoniu, Li Yuanpei, Li Jian, Li Yu, Chen Sijie, Yan Xia, Xie Zhangrong, Du Jiangfeng, Chen Guoan, Song Jianbo, Mei Qi

机构信息

Shanxi Bethune Hospital, Shanxi Academy of Medical Sciences, Third Hospital of Shanxi Medical University, Tongji Shanxi Hospital, Taiyuan, 030032, China.

State Key Laboratory of Oncology in South China, Guangdong Provincial Clinical Research Center for Cancer, Sun Yat-sen University Cancer Center, Guangzhou, 510060, China.

出版信息

Adv Sci (Weinh). 2025 Apr;12(14):e2413121. doi: 10.1002/advs.202413121. Epub 2025 Feb 14.

Abstract

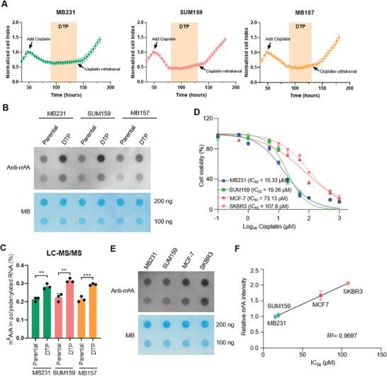
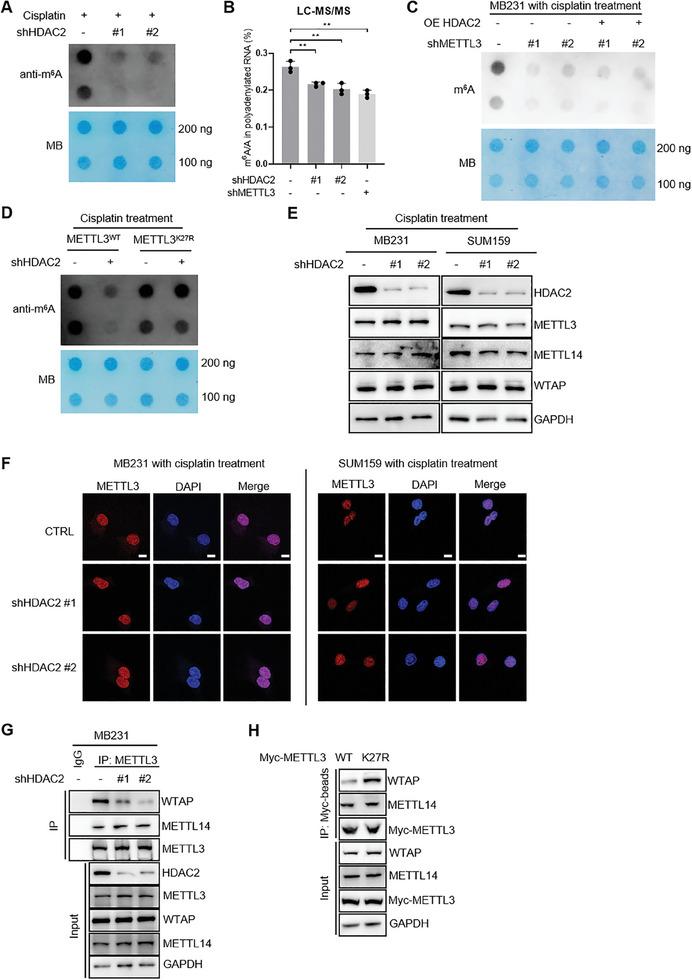
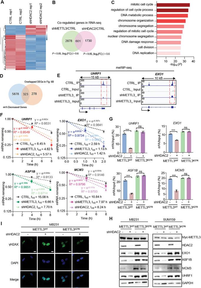
The current treatment of triple-negative breast cancer (TNBC) is still primarily based on platinum-based chemotherapy. However, TNBC cells frequently develop resistance to platinum and experience relapse after drug withdrawal. It is crucial to specifically target and eliminate cisplatin-tolerant cells after platinum administration. Here, it is reported that upregulated N -methyladenosine (mA) modification drives the development of resistance in TNBC cells during cisplatin treatment. Mechanistically, histone deacetylase 2 (HDAC2) mediates delactylation of methyltransferase-like 3 (METTL3), facilitating METTL3 interaction with Wilms'-tumor-1-associated protein and subsequently increasing mA of transcript-associated DNA damage repair. This ultimately promotes cell survival under cisplatin. Furthermore, pharmacological inhibition of HDAC2 using Tucidinostat can enhance the sensitivity of TNBC cells to cisplatin therapy. This study not only elucidates the biological function of lactylated METTL3 in tumor cells but also highlights its negative regulatory effect on cisplatin resistance. Additionally, it underscores the nonclassical functional mechanism of Tucidinostat as a HDAC inhibitor for improving the efficacy of cisplatin against TNBC.

摘要

三阴性乳腺癌(TNBC)目前的治疗仍主要基于铂类化疗。然而,TNBC细胞经常对铂产生耐药性,并在停药后复发。在铂给药后特异性靶向并消除顺铂耐受细胞至关重要。在此,有报道称,顺铂治疗期间N -甲基腺苷(mA)修饰上调驱动TNBC细胞耐药性的发展。机制上,组蛋白去乙酰化酶2(HDAC2)介导甲基转移酶样3(METTL3)的去乳酸化,促进METTL3与威尔姆斯肿瘤1相关蛋白相互作用,随后增加转录本相关DNA损伤修复的mA。这最终促进了顺铂作用下的细胞存活。此外,使用图西诺司他对HDAC2进行药理抑制可增强TNBC细胞对顺铂治疗的敏感性。本研究不仅阐明了乳酸化METTL3在肿瘤细胞中的生物学功能,还突出了其对顺铂耐药性的负调控作用。此外,它强调了图西诺司他作为HDAC抑制剂改善顺铂对TNBC疗效的非经典功能机制。

https://cdn.ncbi.nlm.nih.gov/pmc/blobs/26ef/11984901/d43d4718c638/ADVS-12-2413121-g001.jpg

文献AI研究员

20分钟写一篇综述,助力文献阅读效率提升50倍。

立即体验

用中文搜PubMed

大模型驱动的PubMed中文搜索引擎

马上搜索

文档翻译

学术文献翻译模型,支持多种主流文档格式。

立即体验