Suppr超能文献

艾氯胺酮通过抑制TREK-1通道和调节神经递质来减轻乳腺癌术后抑郁。

Esketamine reduces postoperative depression in breast cancer through TREK-1 channel inhibition and neurotransmitter modulation.

作者信息

Xu Jiachi, Li Mingcan, Hu Yu, Yang Qin, Long Qiang, Zhou Hui

机构信息

Department of General Surgery, Second Xiangya Hospital, Central South University, No. 139, Renmin Middle Road, Furong District, Changsha, Hunan, China.

The First Affiliated Hospital of University of South China, Hengyang, Hunan, China.

出版信息

Cancer Cell Int. 2025 Feb 18;25(1):51. doi: 10.1186/s12935-025-03664-7.

Abstract

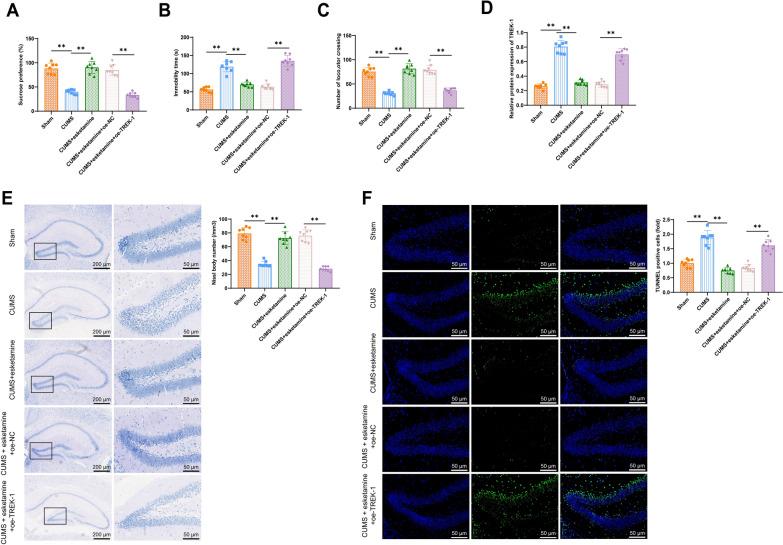
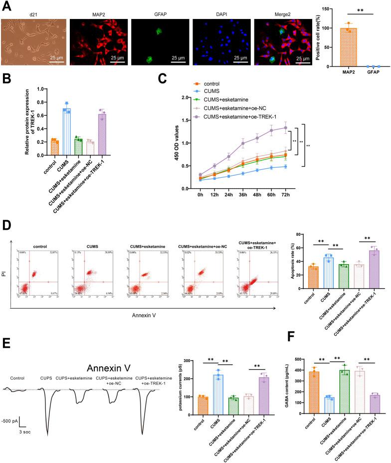
Postoperative depression significantly affects the quality of life of breast cancer patients. This study explores the potential therapeutic effects of esketamine on postoperative depression through modulation of the TREK-1 two-pore domain potassium channel. We analyzed data from 54 female breast cancer patients who underwent surgery at our hospital between 2019 and 2023, dividing them into experimental and control groups based on esketamine treatment. Transcriptomic sequencing of hippocampal neurons from rats identified potassium ion-related pathways and key regulatory genes, including TREK-1, influenced by esketamine. In vitro studies showed that esketamine primarily alleviates depressive symptoms by inhibiting TREK-1 protein expression, enhancing GABA neurotransmitter release, and improving neuronal activity, while overexpression of TREK-1 reversed these effects. Esketamine's inhibition of TREK-1 channels and promotion of hippocampal neuron activity effectively alleviate postoperative depression in breast cancer patients, suggesting a novel therapeutic strategy.

摘要

术后抑郁显著影响乳腺癌患者的生活质量。本研究通过调节TREK-1双孔域钾通道,探讨艾司氯胺酮对术后抑郁的潜在治疗作用。我们分析了2019年至2023年期间在我院接受手术的54例女性乳腺癌患者的数据,根据艾司氯胺酮治疗情况将她们分为实验组和对照组。对大鼠海马神经元进行转录组测序,确定了受艾司氯胺酮影响的钾离子相关通路和关键调控基因,包括TREK-1。体外研究表明,艾司氯胺酮主要通过抑制TREK-1蛋白表达、增强GABA神经递质释放和改善神经元活性来缓解抑郁症状,而TREK-1的过表达则逆转了这些作用。艾司氯胺酮对TREK-1通道的抑制作用以及对海马神经元活性的促进作用,有效缓解了乳腺癌患者的术后抑郁,提示了一种新的治疗策略。

https://cdn.ncbi.nlm.nih.gov/pmc/blobs/e579/11834652/e0480516933f/12935_2025_3664_Fig1_HTML.jpg

文献AI研究员

20分钟写一篇综述,助力文献阅读效率提升50倍。

立即体验

用中文搜PubMed

大模型驱动的PubMed中文搜索引擎

马上搜索

文档翻译

学术文献翻译模型,支持多种主流文档格式。

立即体验