Suppr超能文献

基于CpG的纳米疫苗通过Gbp2介导的肿瘤相关巨噬细胞重塑增强卵巢癌免疫反应。

CpG-Based Nanovaccines Enhance Ovarian Cancer Immune Response by Gbp2-Mediated Remodeling of Tumor-Associated Macrophages.

作者信息

Xiong Jiaqiang, Huang Juyuan, Xu Hanxiao, Wu Qiuji, Zhao Jiahui, Chen Yurou, Fan Guanlan, Guan Haotong, Xiao Rourou, He Zhaojin, Wu Siqi, Ouyang Wenliang, Wang Shixuan, Zhang Lu, Xia Peng, Zhang Wei, Wu Meng

机构信息

Department of Obstetrics and Gynecology, Zhongnan Hospital of Wuhan University, Wuhan, 430071, China.

Department of Gastrointestinal Oncology, Zhongnan Hospital of Wuhan University, Wuhan, 430071, China.

出版信息

Adv Sci (Weinh). 2025 Apr;12(15):e2412881. doi: 10.1002/advs.202412881. Epub 2025 Feb 22.

Abstract

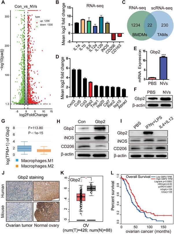
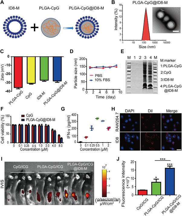
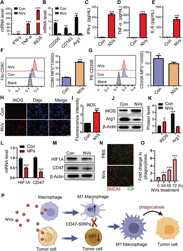
CpG oligodeoxynucleotides (CpG), as an immunoadjuvant, can facilitate the transformation of tumor-associated macrophages (TAMs)into tumoricidal M1 macrophages. However, the accumulation of free CpG in tumor tissues remains a substantial challenge. To address this, a nanovaccine (PLGA-CpG@ID8-M) is engineered by encapsulating CpG within PLGA using ID8 ovarian cancer cell membranes (ID8-M). This nanovaccine demonstrates remarkable efficacy in reprogramming TAMs in ovarian cancer and significantly extends survival in ID8-bearing mice. Notably, these findings indicate that the nanovaccine can also mitigate chemotherapy-induced immunosuppression by increasing the proportion of M1-like TAMs and reducing the expression of CD47 on tumor cells, thereby achieving a synergistic effect in tumor immunotherapy. Mechanistically, through transcriptome sequencing (RNA-seq), single-cell RNA sequencing (scRNA-seq), and mass spectrometry-based proteomics, it is elucidated that the nanovaccine enhances the expression of Gbp2 and promotes the recruitment of Pin1, which activates the NFκB signaling pathway, leading to the M1 polarization of TAMs. Furthermore, macrophages with elevated Gbp2 expression significantly inhibit tumor growth in both ID8 ovarian cancer and 4T1 breast cancer models. Conversely, targeting Gbp2 diminishes the antitumor efficacy of the nanovaccine in vivo. This study offers an innovative approach to immunotherapy and elucidates a novel mechanism (Gbp2-Pin1-NFκB pathway) for remodeling TAMs.

摘要

CpG寡脱氧核苷酸(CpG)作为一种免疫佐剂,可促进肿瘤相关巨噬细胞(TAM)向杀肿瘤的M1巨噬细胞转化。然而,肿瘤组织中游离CpG的积累仍然是一个重大挑战。为了解决这一问题,通过使用ID8卵巢癌细胞膜(ID8-M)将CpG封装在聚乳酸-羟基乙酸共聚物(PLGA)中,构建了一种纳米疫苗(PLGA-CpG@ID8-M)。这种纳米疫苗在重编程卵巢癌中的TAM方面显示出显著疗效,并显著延长了荷ID8小鼠的生存期。值得注意的是,这些发现表明,该纳米疫苗还可通过增加M1样TAM的比例和降低肿瘤细胞上CD47的表达来减轻化疗诱导的免疫抑制,从而在肿瘤免疫治疗中实现协同效应。从机制上讲,通过转录组测序(RNA-seq)、单细胞RNA测序(scRNA-seq)和基于质谱的蛋白质组学,阐明了纳米疫苗增强Gbp2的表达并促进Pin1的募集,从而激活NFκB信号通路,导致TAM的M1极化。此外,Gbp2表达升高的巨噬细胞在ID8卵巢癌和4T1乳腺癌模型中均显著抑制肿瘤生长。相反,靶向Gbp2会降低纳米疫苗在体内的抗肿瘤疗效。本研究提供了一种创新的免疫治疗方法,并阐明了一种重塑TAM的新机制(Gbp2-Pin1-NFκB途径)。

https://cdn.ncbi.nlm.nih.gov/pmc/blobs/85a7/12005807/5ac94382156d/ADVS-12-2412881-g006.jpg

文献AI研究员

20分钟写一篇综述,助力文献阅读效率提升50倍。

立即体验

用中文搜PubMed

大模型驱动的PubMed中文搜索引擎

马上搜索

文档翻译

学术文献翻译模型,支持多种主流文档格式。

立即体验