Suppr超能文献

非小细胞肺癌中PD-L1和HIF-1α表达与KRAS突变及临床病理参数的相关性

Correlation of PD-L1 and HIF-1 Alpha Expression with KRAS Mutation and Clinicopathological Parameters in Non-Small Cell Lung Cancer.

作者信息

Er Özilhan Seda, Efil Safa Can, Çanakçı Doğukan, Ağaçkıran Yetkin, Şener Dede Didem, Onak Kandemir Nilüfer, Doğan Mehmet, Ünal Tuba Dilay Kökenek, Kıran Merve Meryem, Kayaçetin Serra, Balta Hilal, Tatlı Doğan Hayriye

机构信息

Department of Pathology, Ankara Bilkent City Hospital, Ankara 06800, Turkey.

Department of Medical Oncology, Ankara Bilkent City Hospital, Ankara 06800, Turkey.

出版信息

Curr Issues Mol Biol. 2025 Feb 13;47(2):121. doi: 10.3390/cimb47020121.

Abstract

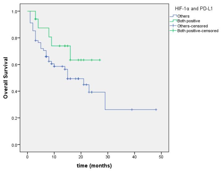
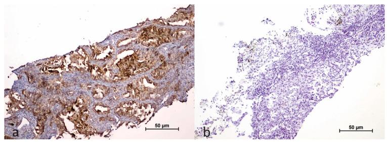
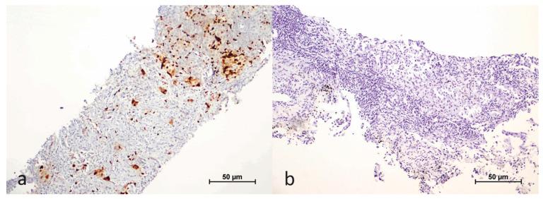
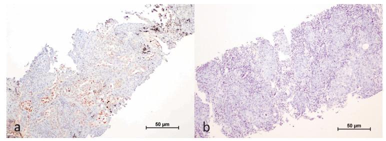
Lung cancer remains the leading cause of cancer-related deaths worldwide, with non-small cell lung carcinomas (NSCLCs) comprising the majority of cases. Among the common driver mutations, KRAS plays a critical role in guiding treatment strategies. This study evaluates the expression of programmed death-ligand 1 (PD-L1) and hypoxia-inducible factor 1-alpha (HIF-1α) in -mutant NSCLCs and investigates their associations with clinicopathological findings. A total of 85 cases with mutations were analyzed. Immunohistochemical staining for HIF-1α and PD-L1 was performed, and their relationships with mutation status and prognostic variables were assessed. A significant correlation was identified between HIF-1α expression and PD-L1 expression in tumor cells. While the G12C mutation was not significantly associated with HIF-1α expression in tumor cells, it demonstrated a notable relationship with HIF-1α expression in the tumor microenvironment and PD-L1 expression. However, PD-L1 and HIF-1α expression did not significantly influence overall survival outcomes. Expression of PD-L1 was positively correlated with HIF-1α, which may provide evidence for a novel therapy targeting PD-L1 and HIF-1α in NSCLC. Further comprehensive studies are warranted to elucidate the prognostic implications of tumor-microenvironment and mutation interactions.

摘要

肺癌仍然是全球癌症相关死亡的主要原因,其中非小细胞肺癌(NSCLC)占大多数病例。在常见的驱动基因突变中,KRAS在指导治疗策略方面起着关键作用。本研究评估了KRAS突变型NSCLC中程序性死亡配体1(PD-L1)和缺氧诱导因子1α(HIF-1α)的表达,并研究它们与临床病理结果的相关性。共分析了85例KRAS突变病例。对HIF-1α和PD-L1进行免疫组织化学染色,并评估它们与KRAS突变状态和预后变量的关系。在肿瘤细胞中,HIF-1α表达与PD-L1表达之间存在显著相关性。虽然KRAS G12C突变与肿瘤细胞中HIF-1α表达无显著相关性,但它与肿瘤微环境中HIF-1α表达和PD-L1表达存在显著关系。然而,PD-L1和HIF-1α表达并未显著影响总生存结果。PD-L1表达与HIF-1α呈正相关,这可能为NSCLC中针对PD-L1和HIF-1α的新疗法提供证据。有必要进行进一步的综合研究,以阐明肿瘤微环境与突变相互作用的预后意义。

https://cdn.ncbi.nlm.nih.gov/pmc/blobs/ad6f/11854292/2a85a60a53df/cimb-47-00121-g001.jpg

文献AI研究员

20分钟写一篇综述,助力文献阅读效率提升50倍。

立即体验

用中文搜PubMed

大模型驱动的PubMed中文搜索引擎

马上搜索

文档翻译

学术文献翻译模型,支持多种主流文档格式。

立即体验