Suppr超能文献

皮肤鳞状细胞癌预后因素评估:一项对237例日本患者的单中心研究

An Evaluation of Prognostic Factors in Cutaneous Squamous Cell Carcinoma: A Single-Center Study of 237 Japanese Cases.

作者信息

Yamazaki Emi, Fujimura Taku, Takahashi-Watanabe Manami, Amagai Ryo, Tamabuchi Erika, Oka Kenta, Kambayashi Yumi, Hashimoto Akira, Omori Ryoko, Takahashi Takehiro, Asano Yoshihide

机构信息

Department of Dermatology, Tohoku University Graduate School of Medicine, Sendai 980-8575, Japan.

出版信息

J Clin Med. 2025 Feb 13;14(4):1243. doi: 10.3390/jcm14041243.

Abstract

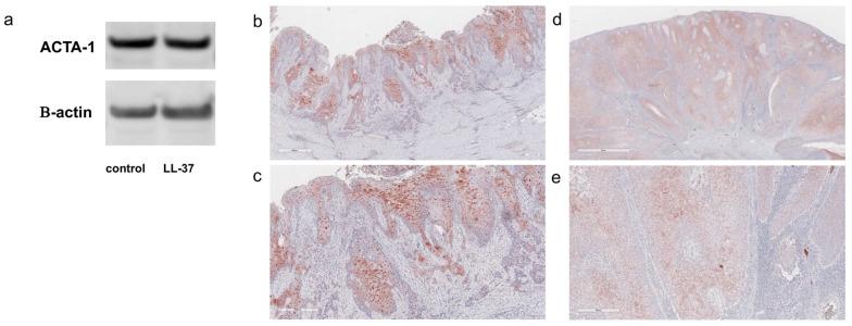
: Cutaneous squamous cell carcinoma (cSCC) is a common cutaneous malignancy with diverse etiologies, including actinic keratosis, burns, and hidradenitis suppurativa (HS). : We reviewed 237 cases diagnosed as cSCC in our department between 2013 and 2023. In addition, we focused on HS as an aggravating factor for cSCC. The mechanism of cSCC progression was investigated with a focus on LL-37, a peptide implicated in the pathogenesis of HS. Relevant gene expression was analyzed comprehensively via RNA sequencing in vitro. : The median age of the patients was 82 years (range: 33-101), with 139 males and 98 females. The primary sites were as follows: head and neck (125 cases), trunk (10 cases), vulva (11 cases), extremities (81 cases), and buttocks (10 cases). Among the five cases (2.1%) of buttocks cSSc associated with HS, all cases (100%) had local recurrence or lymph node metastasis at the time of diagnosis, and one case (20%) developed multi-organ metastasis. The incidence of disease progression in cSCC originating from HS-affected buttocks was significantly higher than in other sites ( < 0.05). RNA sequencing revealed the significant amplification of , which was confirmed by Western blotting and immunohistochemical staining. : These results suggest that HS is a prognostic factor in cSCC and that LL-37 stimulation contributes to tumor progression, partly by enhancing multiple tumor growth factors.

摘要

皮肤鳞状细胞癌(cSCC)是一种常见的皮肤恶性肿瘤,病因多样,包括光化性角化病、烧伤和化脓性汗腺炎(HS)。我们回顾了2013年至2023年在我科诊断为cSCC的237例病例。此外,我们重点关注HS作为cSCC的加重因素。以LL-37为重点研究了cSCC进展机制,LL-37是一种与HS发病机制有关的肽。通过体外RNA测序全面分析相关基因表达。患者的中位年龄为82岁(范围:33-101岁),男性139例,女性98例。原发部位如下:头颈部(125例)、躯干(10例)、外阴(11例)、四肢(81例)和臀部(10例)。在与HS相关的5例(2.1%)臀部cSSc病例中,所有病例(100%)在诊断时均有局部复发或淋巴结转移,1例(20%)发生多器官转移。起源于受HS影响臀部的cSCC疾病进展发生率显著高于其他部位(<0.05)。RNA测序显示 显著扩增,Western印迹和免疫组织化学染色证实了这一点。这些结果表明,HS是cSCC的一个预后因素,LL-37刺激部分通过增强多种肿瘤生长因子促进肿瘤进展。

https://cdn.ncbi.nlm.nih.gov/pmc/blobs/f8e3/11856698/10c5c5ce310c/jcm-14-01243-g001.jpg

文献AI研究员

20分钟写一篇综述,助力文献阅读效率提升50倍。

立即体验

用中文搜PubMed

大模型驱动的PubMed中文搜索引擎

马上搜索

文档翻译

学术文献翻译模型,支持多种主流文档格式。

立即体验