Suppr超能文献

猪繁殖与呼吸综合征病毒nsp5通过靶向p62抑制Nrf2/HO-1途径的激活,以拮抗其抗病毒活性。

Porcine reproductive and respiratory syndrome virus nsp5 inhibits the activation of the Nrf2/HO-1 pathway by targeting p62 to antagonize its antiviral activity.

作者信息

Wang Fang, Amona Fructueux Modeste, Pang Yipeng, Zhang Qiaoya, Liang Yuan, Chen Xiaohan, Ke Yongding, Chen Junhao, Song Chengchuang, Wang Yanhong, Li Zongyun, Zhang Chunlei, Fang Xingtang, Chen Xi

机构信息

Institute of Cellular and Molecular Biology, School of Life Science, Jiangsu Normal University, Xuzhou, China.

College of Veterinary Medicine, Qingdao Agricultural University, Qingdao, China.

出版信息

J Virol. 2025 Apr 15;99(4):e0158524. doi: 10.1128/jvi.01585-24. Epub 2025 Feb 28.

Abstract

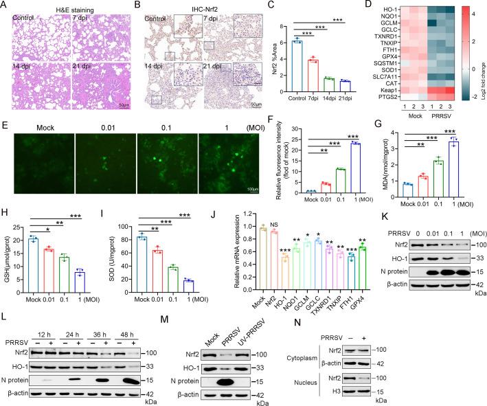
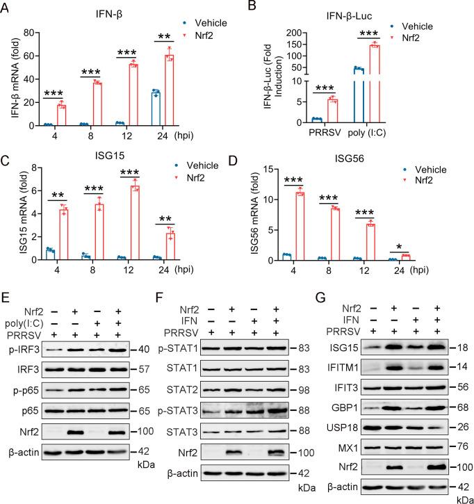
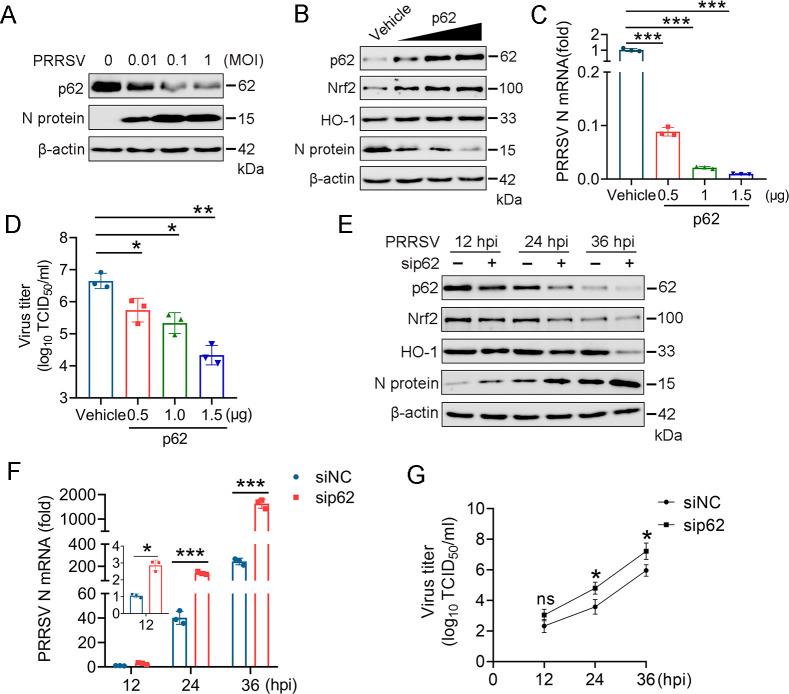
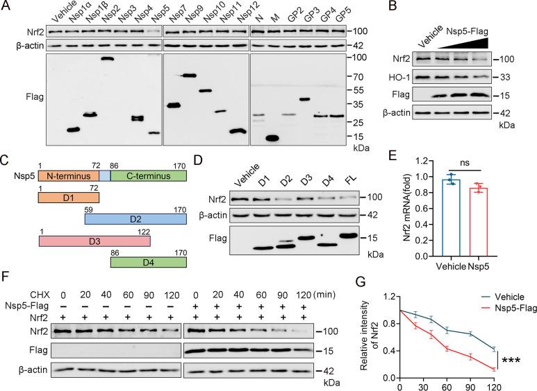
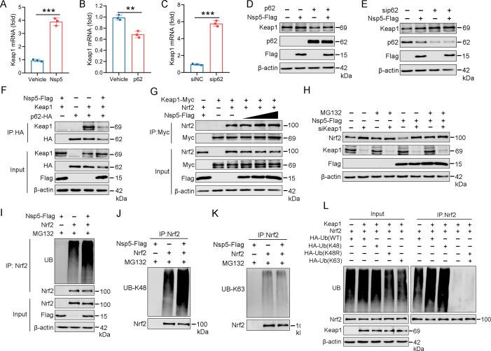
Porcine reproductive and respiratory syndrome virus (PRRSV) infections often trigger oxidative stress and cytokine storms, resulting in significant tissue damage that causes fatalities in piglets and reproductive issues in sows. However, it is still unknown how oxidative stress is regulated by viral and host factors in response to PRRSV infection. Here, we found that PRRSV induced cellular oxidative stress by triggering the production of reactive oxygen species and inhibiting the expression of antioxidant enzymes. Although Nrf2 is an important redox regulator that initiates the expression of downstream antioxidant genes, PRRSV can impair the Nrf2/HO-1 pathway. The overexpression of Nrf2 showed a significant anti-PRRSV effect, and inhibiting the expression of Nrf2 promoted the proliferation of PRRSV. Further analysis showed that Nrf2 positively regulated the production of type I interferons and interferon-stimulated genes, which may contribute to its anti-PRRSV effect. By screening the PRRSV-encoded protein, we found that the PRRSV nsp5 protein can degrade Nrf2 at the protein level. Mechanistically, nsp5 promotes Nrf2-Keap1 binding affinity by inhibiting p62-mediated Keap1 sequestration and increasing Keap1 expression. Subsequently, this increased Keap1-mediated degradation of Nrf2 ubiquitination through K48-linked polyubiquitin. Furthermore, we found that the residues Tyr146 and Arg147 of nsp5 are crucial for inhibiting the activation of the p62-mediated Nrf2 antioxidant pathway. Thus, our findings uncover a novel mechanism by which PRRSV disrupts the host antioxidant defense system and highlight the crucial role of the Nrf2/HO-1 antioxidant pathway in host defense against PRRSV.IMPORTANCEOxidative stress-induced redox imbalance is a crucial pathogenic mechanism in viral infections. Nrf2 and its antioxidant genes serve as the main defense pathways against oxidative stress. However, the role of Nrf2 in the context of porcine reproductive and respiratory syndrome virus (PRRSV) infection remains unclear. In this study, we demonstrated that PRRSV infection decreased the expression of antioxidant genes of the Nrf2 signaling pathway and overexpression of Nrf2 triggered a strong anti-PRRSV effect. PRRSV nsp5 enhanced Keap1-dependent degradation of Nrf2 ubiquitination, thereby weakening cellular resistance to oxidative stress and antagonizing the antiviral activity of Nrf2. Our study further revealed a new mechanism by which PRRSV evades host antiviral innate immunity by disturbing cellular redox homeostasis, providing a new target for developing anti-PRRSV drugs.

摘要

猪繁殖与呼吸综合征病毒(PRRSV)感染常引发氧化应激和细胞因子风暴,导致严重的组织损伤,致使仔猪死亡和母猪出现繁殖问题。然而,病毒和宿主因素如何在PRRSV感染时调节氧化应激仍不清楚。在此,我们发现PRRSV通过触发活性氧的产生和抑制抗氧化酶的表达来诱导细胞氧化应激。尽管Nrf2是启动下游抗氧化基因表达的重要氧化还原调节因子,但PRRSV可损害Nrf2/HO-1通路。Nrf2的过表达显示出显著的抗PRRSV作用,而抑制Nrf2的表达则促进PRRSV的增殖。进一步分析表明,Nrf2正向调节I型干扰素和干扰素刺激基因的产生,这可能有助于其抗PRRSV作用。通过筛选PRRSV编码的蛋白,我们发现PRRSV的nsp5蛋白可在蛋白水平降解Nrf2。机制上,nsp5通过抑制p62介导的Keap1隔离并增加Keap1的表达来促进Nrf2与Keap1的结合亲和力。随后,这增加了Keap1介导的通过K48连接的多聚泛素化对Nrf2的降解。此外,我们发现nsp5的Tyr146和Arg147残基对于抑制p62介导的Nrf2抗氧化途径的激活至关重要。因此,我们的研究结果揭示了PRRSV破坏宿主抗氧化防御系统的新机制,并突出了Nrf2/HO-1抗氧化途径在宿主抵御PRRSV中的关键作用。

重要性

氧化应激诱导的氧化还原失衡是病毒感染中的关键致病机制。Nrf2及其抗氧化基因是对抗氧化应激的主要防御途径。然而,Nrf2在猪繁殖与呼吸综合征病毒(PRRSV)感染中的作用仍不清楚。在本研究中,我们证明PRRSV感染降低了Nrf2信号通路抗氧化基因的表达,而Nrf2的过表达引发了强烈的抗PRRSV作用。PRRSV的nsp5增强了Keap1依赖的Nrf2泛素化降解,从而削弱了细胞对氧化应激的抗性并拮抗了Nrf2的抗病毒活性。我们的研究进一步揭示了PRRSV通过扰乱细胞氧化还原稳态逃避宿主抗病毒先天免疫的新机制,为开发抗PRRSV药物提供了新靶点。

https://cdn.ncbi.nlm.nih.gov/pmc/blobs/e48b/11998497/62b25246257a/jvi.01585-24.f001.jpg

文献AI研究员

20分钟写一篇综述,助力文献阅读效率提升50倍。

立即体验

用中文搜PubMed

大模型驱动的PubMed中文搜索引擎

马上搜索

文档翻译

学术文献翻译模型,支持多种主流文档格式。

立即体验