Suppr超能文献

抗原呈递性癌症相关成纤维细胞增强抗肿瘤免疫力并预测免疫治疗反应。

Antigen-presenting cancer associated fibroblasts enhance antitumor immunity and predict immunotherapy response.

作者信息

Song Junquan, Wei Rongyuan, Liu Chenchen, Zhao Zhenxiong, Liu Xuanjun, Wang Yanong, Liu Fenglin, Liu Xiaowen

机构信息

Department of Gastric Surgery, Fudan University Shanghai Cancer Center, Shanghai, China.

Department of Oncology, Shanghai Medical College of Fudan University, Shanghai, China.

出版信息

Nat Commun. 2025 Mar 4;16(1):2175. doi: 10.1038/s41467-025-57465-7.

Abstract

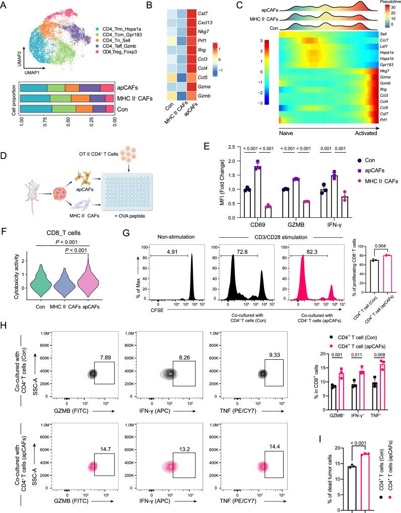
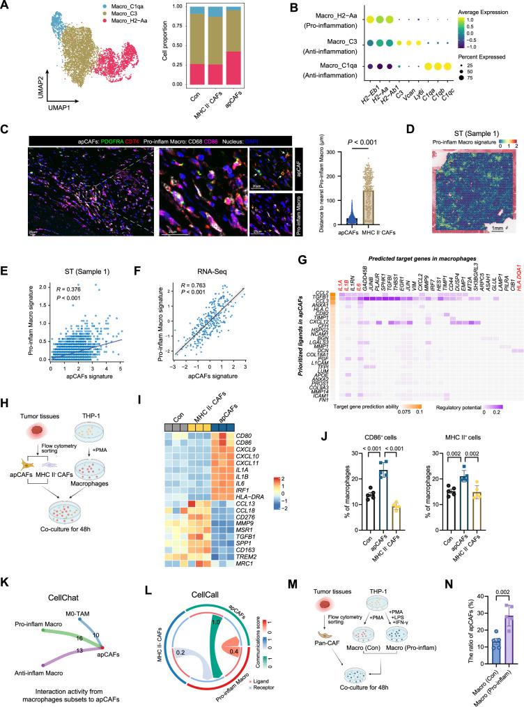
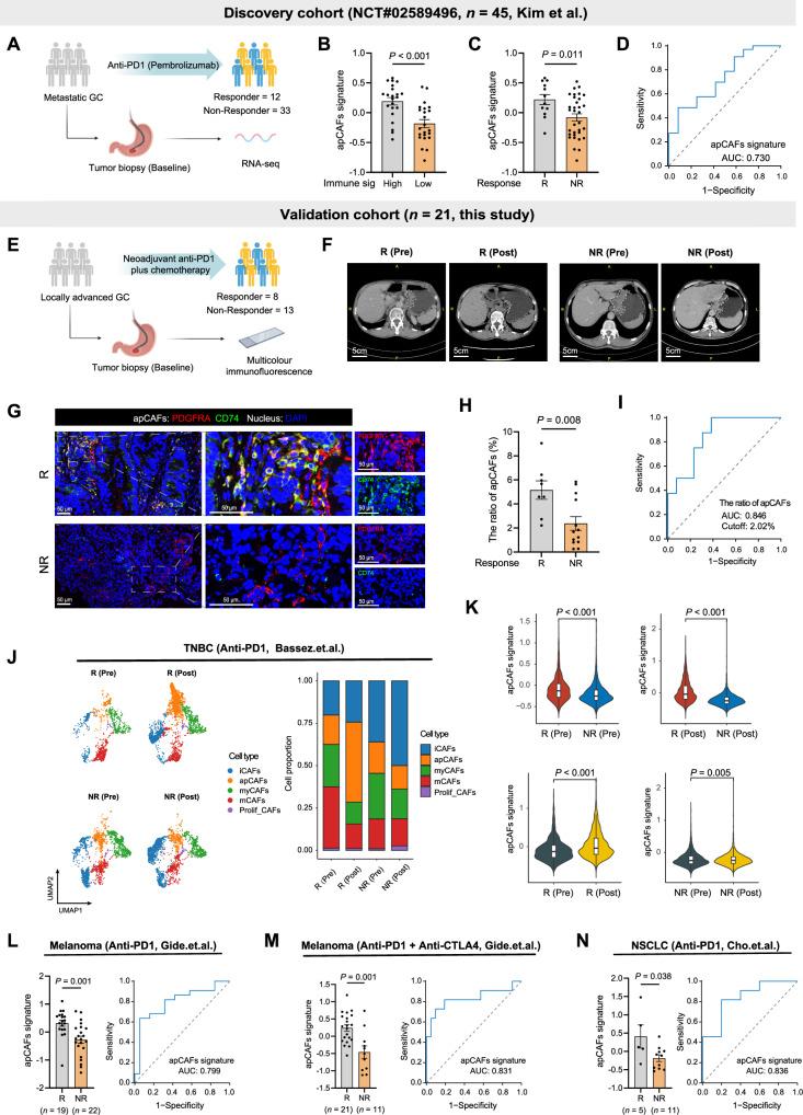
Cancer-associated fibroblasts (CAF) play a crucial role in tumor progression and immune regulation. However, the functional heterogeneity of CAFs remains unclear. Here, we identify antigen-presenting CAFs (apCAF), characterized by high MHC II expression, in gastric cancer (GC) tumors and find that apCAFs are preferentially located near tertiary lymphoid structures. Both in vivo and in vitro experiments demonstrate that apCAFs promote T cell activation and enhances its cytotoxic and proliferative capacities, thereby strengthening T cell-mediated anti-tumor immunity. Additionally, apCAFs facilitate the polarization of macrophages toward a pro-inflammatory phenotype. These polarized macrophages, in turn, promote the formation of apCAFs, creating a positive feedback loop that amplifies anti-tumor immune responses. Notably, baseline tumors in immunotherapy responders across various cancer types exhibit higher levels of apCAFs infiltration. This study advances the understanding of CAFs heterogeneity in GC and highlights apCAFs as a potential biomarker for predicting immunotherapy response in pan-cancer.

摘要

癌症相关成纤维细胞(CAF)在肿瘤进展和免疫调节中发挥着关键作用。然而,CAF的功能异质性仍不清楚。在此,我们在胃癌(GC)肿瘤中鉴定出以高MHC II表达为特征的抗原呈递CAF(apCAF),并发现apCAF优先位于三级淋巴结构附近。体内和体外实验均表明,apCAF促进T细胞活化并增强其细胞毒性和增殖能力,从而增强T细胞介导的抗肿瘤免疫。此外,apCAF促进巨噬细胞向促炎表型极化。反过来,这些极化的巨噬细胞促进apCAF的形成,形成一个放大抗肿瘤免疫反应的正反馈回路。值得注意的是,各种癌症类型的免疫治疗应答者的基线肿瘤显示出更高水平的apCAF浸润。这项研究推进了对GC中CAF异质性的理解,并强调apCAF作为预测泛癌免疫治疗反应的潜在生物标志物。

https://cdn.ncbi.nlm.nih.gov/pmc/blobs/3c40/11880398/e08fd733287b/41467_2025_57465_Fig1_HTML.jpg

文献AI研究员

20分钟写一篇综述,助力文献阅读效率提升50倍。

立即体验

用中文搜PubMed

大模型驱动的PubMed中文搜索引擎

马上搜索

文档翻译

学术文献翻译模型,支持多种主流文档格式。

立即体验