Suppr超能文献

中华紫菀地上部分代谢产物在咪喹莫特诱导的银屑病皮肤炎症BALB/c小鼠模型中的疗效

Efficacy of Aster chinensis aerial parts metabolites in BALB/c mice model of Imiquimod-induced psoriasis skin inflammation.

作者信息

Hendawy Mai S, Hashem Mona M, Zaki Ahmed A, Rabie Mostafa A, Sayed Nesrine S El, El Dine Riham Salah, El-Halawany Ali M

机构信息

Department of Pharmacognosy, Faculty of Pharmacy, Horus University, New Damietta, 34518, Egypt.

Department of Pharmacognosy, Faculty of Pharmacy, Cairo University, Kasr El-Aini Street, Cairo, 11562, Egypt.

出版信息

Inflammopharmacology. 2025 Apr;33(4):1973-1996. doi: 10.1007/s10787-025-01652-x. Epub 2025 Mar 12.

Abstract

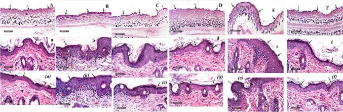
Using a bioassay-guided fractionation approach, the most potent anti-psoriatic components of Aster squamatus herb, Aster chinensis stalks, and Aster chinensis flowers, cultivated in Egypt, were identified and evaluated against Imiquimod (IMQ)-induced psoriasis in female BALB/c mice and compared to standard drug, mometasone. The topical application of A. chinensis stalk methanolic extract exhibited the strongest anti-psoriatic effects against IMQ-induced psoriasis model, as evidenced by improvements in psoriasis area severity index (PASI) score, histopathological analysis, and spleen index. Further fractionation of A. chinensis stalk methanolic extract using petroleum ether, methylene chloride, ethyl acetate, and n-butanol revealed that the methylene chloride fraction (MCF) was the most potent. Indeed, MCF significantly reduced the PASI score, alleviated histopathological changes, and restored spleen index. Mechanistically, MCF exerted its anti-psoriatic effects by suppressing inflammation, evidenced by decreased TLR-4 gene expression and lower levels of HMGB1 and NFκBp65 protein contents. Additionally, MCF reduced serum levels of pro-inflammatory cytokines interleukin (IL)-1β, IL-6, IL-23, and IL-17 while mitigating oxidative stress through increased superoxide dismutase (SOD) activity and reduced malondialdehyde (MDA) content. Notably, the efficacy of MCF was comparable to that of mometasone, with no significant differences observed. In parallel, the chemical profile of the MCF was analyzed using UHPLC-MS/MS techniques in negative and positive ionization full scan modes. MCF of A. chinensis stalk could be used a potential therapeutic agent for psoriasis.

摘要

采用生物测定引导的分级分离方法,鉴定并评估了在埃及种植的蛇鞭菊全草、中华紫菀茎和中华紫菀花中最有效的抗银屑病成分,并将其用于雌性BALB/c小鼠咪喹莫特(IMQ)诱导的银屑病模型,同时与标准药物莫米松进行比较。中华紫菀茎甲醇提取物的局部应用对IMQ诱导的银屑病模型表现出最强的抗银屑病作用,银屑病面积严重程度指数(PASI)评分、组织病理学分析和脾脏指数的改善证明了这一点。使用石油醚、二氯甲烷、乙酸乙酯和正丁醇对中华紫菀茎甲醇提取物进行进一步分级分离,结果表明二氯甲烷级分(MCF)活性最强。事实上,MCF显著降低了PASI评分,减轻了组织病理学变化,并恢复了脾脏指数。从机制上讲,MCF通过抑制炎症发挥其抗银屑病作用,这表现为TLR-4基因表达降低以及HMGB1和NFκBp65蛋白含量降低。此外,MCF降低了促炎细胞因子白细胞介素(IL)-1β、IL-6、IL-23和IL-17的血清水平,同时通过增加超氧化物歧化酶(SOD)活性和降低丙二醛(MDA)含量减轻了氧化应激。值得注意的是,MCF的疗效与莫米松相当,未观察到显著差异。同时,采用超高效液相色谱-串联质谱(UHPLC-MS/MS)技术在负离子和正离子全扫描模式下分析了MCF的化学特征。中华紫菀茎的MCF可作为银屑病的潜在治疗药物。

https://cdn.ncbi.nlm.nih.gov/pmc/blobs/d4c2/11991947/0088c6fd5b60/10787_2025_1652_Fig1_HTML.jpg

文献AI研究员

20分钟写一篇综述,助力文献阅读效率提升50倍。

立即体验

用中文搜PubMed

大模型驱动的PubMed中文搜索引擎

马上搜索

文档翻译

学术文献翻译模型,支持多种主流文档格式。

立即体验