Suppr超能文献

空间转录组学揭示了胰腺导管腺癌中神经周围浸润的新机制。

Spatial Transcriptomics Reveals Novel Mechanisms Involved in Perineural Invasion in Pancreatic Ductal Adenocarcinomas.

作者信息

Lakis Vanessa, Chan Noni L, Lyons Ruth, Blackburn Nicola, Nguyen Tam Hong, Chang Crystal, Masel Andrew, West Nicholas P, Boyle Glen M, Patch Ann-Marie, Gill Anthony J, Nones Katia

机构信息

QIMR Berghofer Medical Research Institute, Brisbane, QLD 4029, Australia.

NSW Health Pathology, Department of Anatomical Pathology, Royal North Shore Hospital, Sydney, NSW 2065, Australia.

出版信息

Cancers (Basel). 2025 Mar 1;17(5):852. doi: 10.3390/cancers17050852.

Abstract

BACKGROUND

Pancreatic ductal adenocarcinoma (PDAC) has a high incidence of perineural invasion (PNI), a pathological feature of the cancer invasion of nerves. PNI is associated with a poor prognosis, local recurrence and cancer pain. It has been suggested that interactions between nerves and the tumor microenvironment (TME) play a role in PDAC tumorigenesis.

METHODS

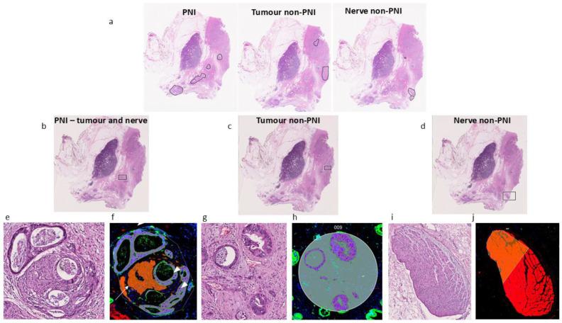
Here, we used Nanostring GeoMx Digital Spatial Profiler to analyze the whole transcriptome of both cancer and nerve cells in the microenvironment of PNI and non-PNI foci from 13 PDAC patients.

CONCLUSIONS

We identified previously reported pathways involved in PNI, including Axonal Guidance and ROBO-SLIT Signaling. Spatial transcriptomics highlighted the role of PNI foci in influencing the immune landscape of the TME and similarities between PNI and nerve injury response. This study revealed that endocannabinoid and polyamine metabolism may contribute to PNI, cancer growth and cancer pain. Key members of these pathways can be targeted, offering potential novel research avenues for exploring new cancer treatment and/or pain management options in PDAC.

摘要

背景

胰腺导管腺癌(PDAC)的神经周围侵犯(PNI)发生率很高,这是癌症侵犯神经的一种病理特征。PNI与预后不良、局部复发和癌痛相关。有人提出神经与肿瘤微环境(TME)之间的相互作用在PDAC的肿瘤发生中起作用。

方法

在此,我们使用Nanostring GeoMx数字空间分析平台分析了13例PDAC患者PNI和非PNI病灶微环境中癌细胞和神经细胞的全转录组。

结论

我们鉴定出了先前报道的与PNI相关的信号通路,包括轴突导向和ROBO-SLIT信号通路。空间转录组学突出了PNI病灶在影响TME免疫格局中的作用以及PNI与神经损伤反应之间的相似性。本研究表明内源性大麻素和多胺代谢可能促成PNI、癌症生长和癌痛。这些信号通路的关键成员可作为靶点,为探索PDAC新的癌症治疗和/或疼痛管理方案提供潜在的新研究途径。

https://cdn.ncbi.nlm.nih.gov/pmc/blobs/2737/11899704/4386d35ce8e7/cancers-17-00852-g001.jpg

文献AI研究员

20分钟写一篇综述,助力文献阅读效率提升50倍。

立即体验

用中文搜PubMed

大模型驱动的PubMed中文搜索引擎

马上搜索

文档翻译

学术文献翻译模型,支持多种主流文档格式。

立即体验