Suppr超能文献

缓冲沙漠蜥蜴高温影响的生化机制

Biochemical Mechanisms That Buffer the Effects of High Temperatures in the Sand-Dwelling Lizard .

作者信息

Caballero Vázquez Yessica, Rodríguez-Tobón Ahiezer, Méndez de la Cruz Fausto Roberto, Arenas-Ríos Edith

机构信息

Maestría en Biología de la Reproducción Animal, Departamento de Biología de la Reproducción, Universidad Autónoma Metropolitana, Iztapalapa 09340, Mexico.

Laboratorio de Morfofisiología y Bioquímica del Espermatozoide, Departamento de Biología de la Reproducción, Universidad Autónoma Metropolitana, Iztapalapa 09340, Mexico.

出版信息

Animals (Basel). 2025 Feb 24;15(5):656. doi: 10.3390/ani15050656.

Abstract

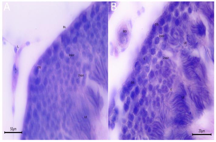
Reptiles, as ectothermic organisms, rely on environmental temperatures for optimal physiological performance. The thermal requirements for optimal locomotion in reptiles can severely affect their reproduction. However, some species are successful in environments with temperatures exceeding 40 °C. is a species that reproduces at high temperatures, a difference from most species in the family , to which it belongs. Adult male specimens were collected at their reproductive stage, kept in separate terrariums, and divided into four groups that were exposed to different temperatures. After seven days of exposure, both the testes and epididymides were removed. The organs were processed for immunohistochemistry and to determine SOD, CAT, and GPX activity. A sperm sample was obtained from the vas deferens. The GSI decreased with temperature, and the EI presented its maximum value at 24 °C. Sperm viability was lower at the highest temperature, and motility at 28 and 32 °C exceeded 90%. The specific SOD activity in the testis at 41 °C decreased by ~75%. In the epididymis, SOD activity decreased at 28 and 32 °C. Transient Receptor Potential Vanilloid 1 (TRPV1) increased after 28 °C at the interstitial level and increased almost twofold in the seminiferous tubules.

摘要

作为变温生物,爬行动物依靠环境温度来实现最佳生理性能。爬行动物最佳运动的热需求会严重影响它们的繁殖。然而,一些物种在温度超过40摄氏度的环境中也能成功生存。[具体物种名称]是一种在高温下繁殖的物种,这与它所属的[科名]中的大多数物种不同。在繁殖阶段收集成年雄性[物种名称]标本,将其饲养在单独的饲养箱中,并分为四组,分别暴露于不同温度下。暴露七天后,取出睾丸和附睾。对这些器官进行免疫组织化学处理,并测定超氧化物歧化酶(SOD)、过氧化氢酶(CAT)和谷胱甘肽过氧化物酶(GPX)的活性。从输精管获取精子样本。性腺指数(GSI)随温度降低,而附睾指数(EI)在24摄氏度时呈现最大值。精子活力在最高温度下较低,在28摄氏度和32摄氏度时活力超过90%。在41摄氏度时,睾丸中的特异性SOD活性下降了约75%。在附睾中,SOD活性在28摄氏度和32摄氏度时下降。瞬时受体电位香草酸亚型1(TRPV1)在28摄氏度后在间质水平升高,在生精小管中几乎增加了两倍。

https://cdn.ncbi.nlm.nih.gov/pmc/blobs/3e5d/11898130/62b8c83789a7/animals-15-00656-g001.jpg

文献AI研究员

20分钟写一篇综述,助力文献阅读效率提升50倍。

立即体验

用中文搜PubMed

大模型驱动的PubMed中文搜索引擎

马上搜索

文档翻译

学术文献翻译模型,支持多种主流文档格式。

立即体验