Suppr超能文献

177Lu-LNC1004放射性配体疗法治疗终末期转移性癌症患者:一项单中心、单臂、II期研究。

177Lu-LNC1004 Radioligand Therapy in Patients with End-stage Metastatic Cancers: A Single-Center, Single-Arm, Phase II Study.

作者信息

Fu Hao, Huang Jingxiong, Zhao Liang, Chen Yuhang, Xu Weizhi, Cai Jiayu, Yu Lingyu, Pang Yizhen, Guo Wei, Su Bishan, Sun Long, Wu Hua, Zhang Jingjing, Chen Xiaoyuan, Chen Haojun

机构信息

Department of Nuclear Medicine and Minnan PET Center, Xiamen Key Laboratory of Radiopharmaceuticals, The First Affiliated Hospital of Xiamen University, School of Medicine, Xiamen University, Xiamen, China.

School of Clinical Medicine, Fujian Medical University, Fuzhou, China.

出版信息

Clin Cancer Res. 2025 Apr 14;31(8):1415-1426. doi: 10.1158/1078-0432.CCR-24-3918.

Abstract

PURPOSE

Fibroblast activation protein (FAP) is highly expressed in cancer-associated fibroblasts and certain tumor cells, making it a promising therapeutic target for various malignancies. This study evaluated the efficacy and safety of 177Lu-Evans blue-FAP inhibitor (177Lu-LNC1004) radioligand therapy (RLT) for treating end-stage metastatic tumors.

PATIENTS AND METHODS

This single-arm, single-center, phase II trial included 28 patients with progressive metastatic malignancies (11 types) and high FAP expression (defined as a maximum standardized uptake value ≥10 in >50% of tumors) who had exhausted all approved therapies, screened between June 2022 and April 2024. Patients were scheduled to receive four 177Lu-LNC1004 RLT cycles at 3.33 GBq/cycle every 6 weeks. The primary endpoint was post-RLT radiologic response. The secondary endpoints were progression-free survival (PFS), overall survival (OS), dosimetry, and safety.

RESULTS

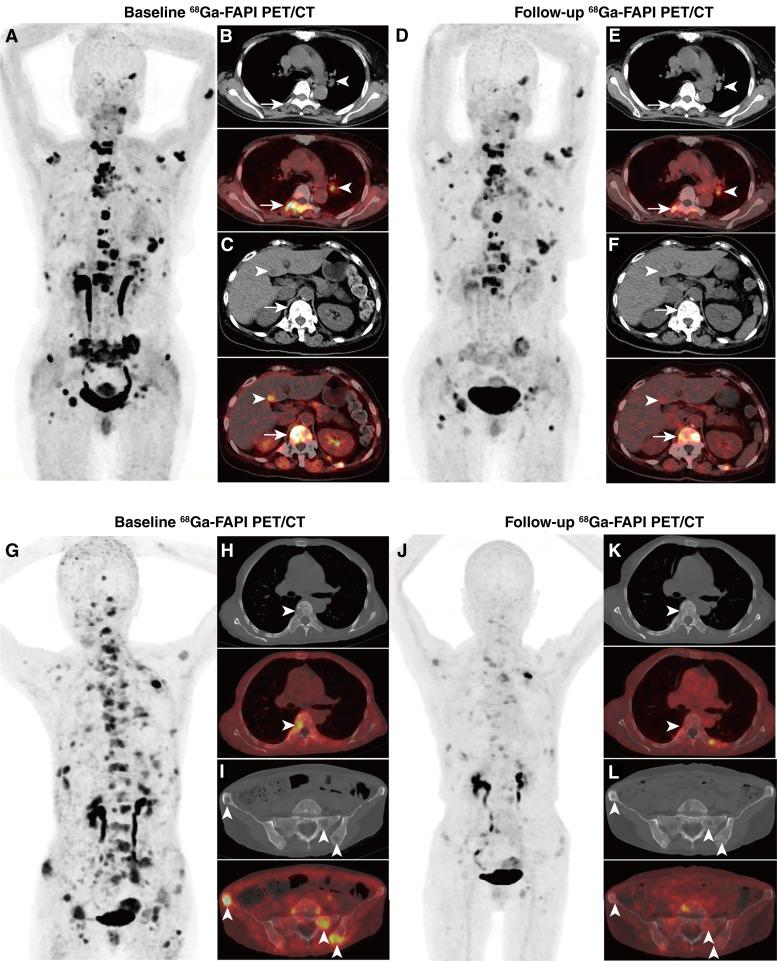
Eastern Cooperative Oncology Group scores >2 were observed in 68% of patients. Overall, 63 177Lu-LNC1004 RLT cycles were performed, with 19 (68%) patients undergoing ≥2 cycles. Disease control was achieved in 13 (13/28, 46%) patients, with 4 and 9 patients demonstrating partial response and stable disease, respectively, and associated with improved PFS and OS (P < 0.001). The mean absorbed dose in tumors was 4.69 ± 3.83 Gy/GBq (1.18-25.03 Gy/GBq). Treatment-related grade 3/4 hematotoxicity was observed in six (21%) patients, with thrombocytopenia, leukopenia, and neutropenia most prevalent. No grade 3/4 hepatotoxicity or nephrotoxicity was observed.

CONCLUSIONS

FAP-directed RLT using 177Lu-LNC1004 at 3.33 GBq/cycle was well tolerated with an acceptable toxicity profile. Nearly half of patients achieved disease control, which was associated with prolonged PFS and OS.

摘要

目的

成纤维细胞活化蛋白(FAP)在癌症相关成纤维细胞和某些肿瘤细胞中高表达,使其成为各种恶性肿瘤有前景的治疗靶点。本研究评估了177镥-伊文思蓝-FAP抑制剂(177Lu-LNC1004)放射性配体疗法(RLT)治疗晚期转移性肿瘤的疗效和安全性。

患者与方法

这项单臂、单中心的II期试验纳入了28例患有进展性转移性恶性肿瘤(11种类型)且FAP高表达(定义为超过50%的肿瘤最大标准化摄取值≥10)的患者,这些患者已用尽所有获批疗法,于2022年6月至2024年4月期间进行筛选。患者计划每6周接受4个周期的177Lu-LNC1004 RLT,每个周期3.33GBq。主要终点是RLT后的影像学反应。次要终点是无进展生存期(PFS)、总生存期(OS)、剂量测定和安全性。

结果

68%的患者东部肿瘤协作组评分>2。总体而言,共进行了63个177Lu-LNC1004 RLT周期,19例(68%)患者接受了≥2个周期。13例(13/28,46%)患者实现疾病控制,分别有4例和9例患者表现出部分缓解和病情稳定,且与PFS和OS改善相关(P<0.001)。肿瘤的平均吸收剂量为4.69±3.83Gy/GBq(1.18 - 25.03Gy/GBq)。6例(21%)患者观察到与治疗相关的3/4级血液毒性,其中血小板减少、白细胞减少和中性粒细胞减少最为常见。未观察到3/4级肝毒性或肾毒性。

结论

以3.33GBq/周期使用177Lu-LNC1004进行FAP导向的RLT耐受性良好,毒性特征可接受。近一半的患者实现了疾病控制,这与PFS和OS延长相关。

https://cdn.ncbi.nlm.nih.gov/pmc/blobs/52f3/11995002/216015638e41/ccr-24-3918_f1.jpg

文献AI研究员

20分钟写一篇综述,助力文献阅读效率提升50倍。

立即体验

用中文搜PubMed

大模型驱动的PubMed中文搜索引擎

马上搜索

文档翻译

学术文献翻译模型,支持多种主流文档格式。

立即体验