Suppr超能文献

单核转录组学解码衰老与腰椎间盘突出症之间的联系。

Single-nucleus transcriptomics decodes the link between aging and lumbar disc herniation.

作者信息

Wang Min, He Zan, Wang Anqi, Sun Shuhui, Li Jiaming, Liu Feifei, Li Chunde, Yang Chengxian, Lei Jinghui, Yu Yan, Ma Shuai, Wang Si, Zhang Weiqi, Yu Zhengrong, Liu Guang-Hui, Qu Jing

机构信息

State Key Laboratory of Organ Regeneration and Reconstruction, Institute of Zoology, Chinese Academy of Sciences, Beijing 100101, China.

Division of Life Sciences and Medicine, School of Life Sciences, University of Science and Technology of China, Hefei 230001, China.

出版信息

Protein Cell. 2025 Aug 7;16(8):667-684. doi: 10.1093/procel/pwaf025.

Abstract

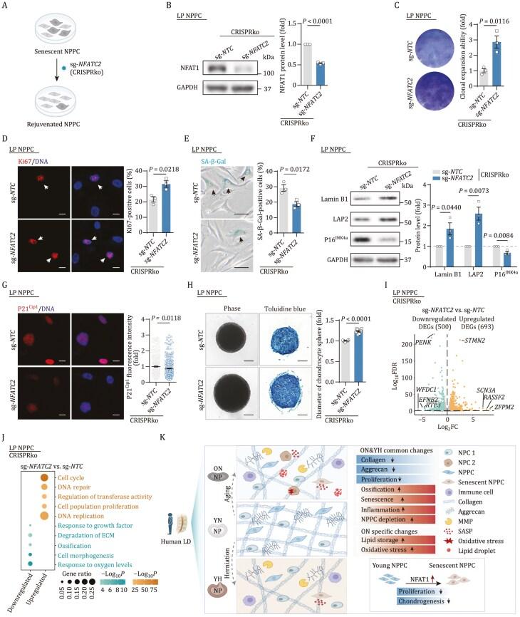
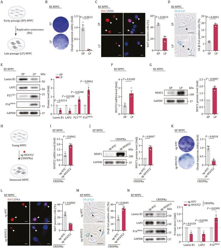
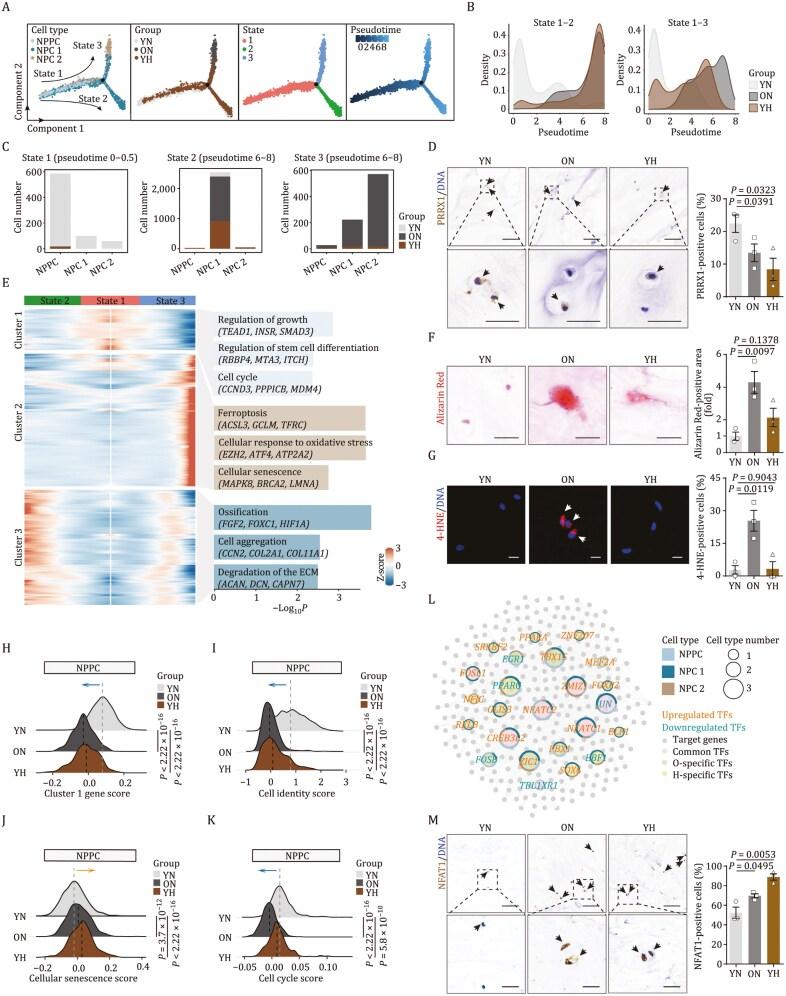
Lumbar disc (LD) herniation and aging are prevalent conditions that can result in substantial morbidity. This study aimed to clarify the mechanisms connecting the LD aging and herniation, particularly focusing on cellular senescence and molecular alterations in the nucleus pulposus (NP). We performed a detailed analysis of NP samples from a diverse cohort, including individuals of varying ages and those with diagnosed LD herniation. Our methodology combined histological assessments with single-nucleus RNA sequencing to identify phenotypic and molecular changes related to NP aging and herniation. We discovered that cellular senescence and a decrease in nucleus pulposus progenitor cells (NPPCs) are central to both processes. Additionally, we found an age-related increase in NFAT1 expression that promotes NPPC senescence and contributes to both aging and herniation of LD. This research offers fresh insights into LD aging and its associated pathologies, potentially guiding the development of new therapeutic strategies to target the root causes of LD herniation and aging.

摘要

腰椎间盘(LD)突出和退变是常见病症,可导致严重的发病率。本研究旨在阐明连接LD退变和突出的机制,尤其关注髓核(NP)中的细胞衰老和分子改变。我们对来自不同队列的NP样本进行了详细分析,包括不同年龄个体以及诊断为LD突出的个体。我们的方法将组织学评估与单核RNA测序相结合,以识别与NP退变和突出相关的表型和分子变化。我们发现细胞衰老和髓核祖细胞(NPPCs)减少是这两个过程的核心。此外,我们发现NFAT1表达随年龄增长而增加,这促进了NPPC衰老,并导致LD退变和突出。这项研究为LD退变及其相关病理提供了新的见解,可能指导开发针对LD突出和退变根本原因的新治疗策略。

https://cdn.ncbi.nlm.nih.gov/pmc/blobs/50a1/12342153/8c7559ac5a77/pwaf025_fig1.jpg

文献AI研究员

20分钟写一篇综述,助力文献阅读效率提升50倍。

立即体验

用中文搜PubMed

大模型驱动的PubMed中文搜索引擎

马上搜索

文档翻译

学术文献翻译模型,支持多种主流文档格式。

立即体验