Suppr超能文献

刚地弓形虫潜伏期的免疫靶向及宿主保护作用

Immune targeting and host-protective effects of the latent stage of Toxoplasma gondii.

作者信息

Eberhard Julia N, Shallberg Lindsey A, Winn Aaron, Chandrasekaran Sambamurthy, Giuliano Christopher J, Merritt Emily F, Willis Elinor, Konradt Christoph, Christian David A, Aldridge Daniel L, Bunkofske Molly E, Jacquet Maxime, Dzierszinski Florence, Katifori Eleni, Lourido Sebastian, Koshy Anita A, Hunter Christopher A

机构信息

Department of Pathobiology, School of Veterinary Medicine, University of Pennsylvania, Philadelphia, PA, USA.

Department of Physics and Astronomy, School of Arts and Sciences, University of Pennsylvania, Philadelphia, PA, USA.

出版信息

Nat Microbiol. 2025 Apr;10(4):992-1005. doi: 10.1038/s41564-025-01967-z. Epub 2025 Mar 27.

Abstract

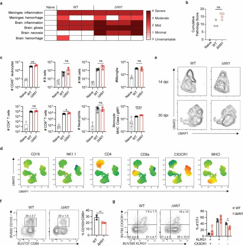
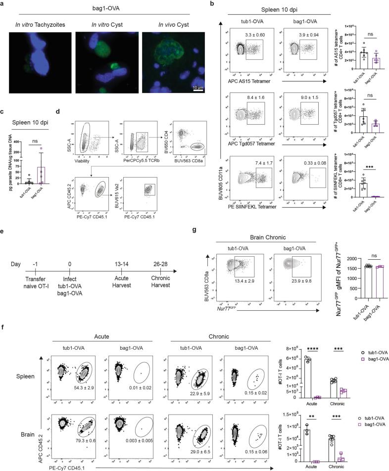
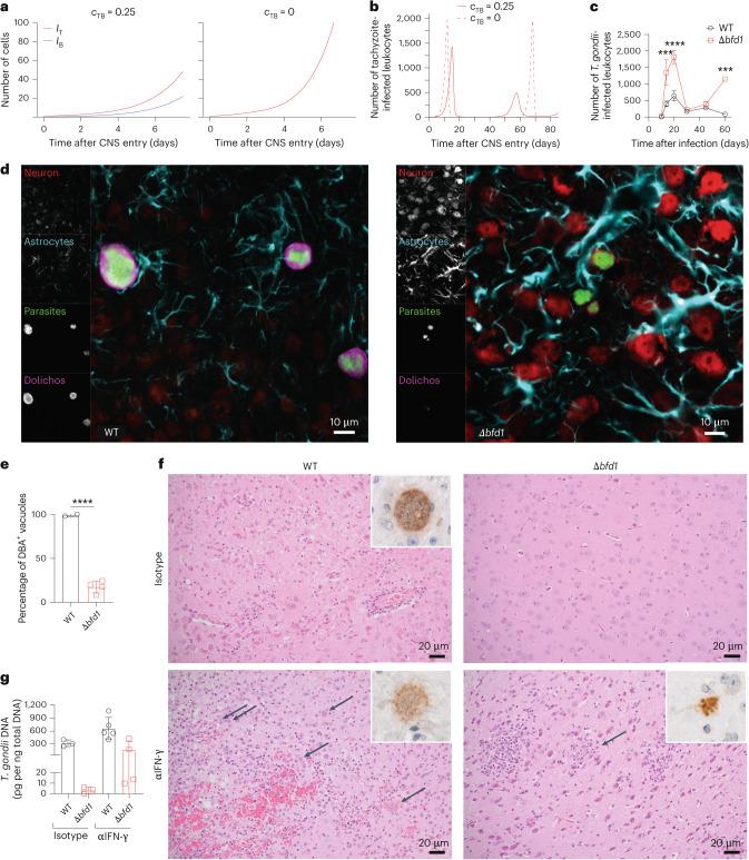
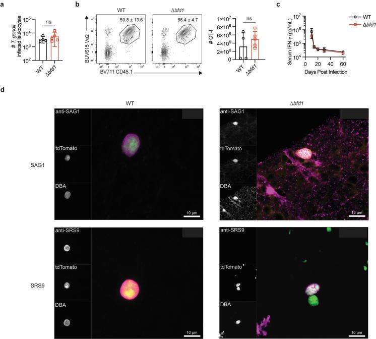
Latency is a microbial strategy for persistence. For Toxoplasma gondii the bradyzoite stage forms long-lived cysts critical for transmission, and its presence in neurons is considered important for immune evasion. However, the extent to which cyst formation escapes immune pressure and mediates persistence remained unclear. Here we developed a mathematical model highlighting that bradyzoite-directed immunity contributes to control of cyst numbers. In vivo studies demonstrated that transgenic CD8 T cells recognized a cyst-derived antigen, and neuronal STAT1 signalling promoted cyst control in mice. Modelling and experiments with parasites unable to form bradyzoites (Δbfd1) revealed that the absence of cyst formation in the central nervous system did not prevent long-term persistence but resulted in increased tachyzoite replication with associated tissue damage and mortality. These findings suggest the latent form of T. gondii is under immune pressure, mitigates infection-induced damage and promotes survival of host and parasite.

摘要

潜伏期是微生物的一种持续存在策略。对于刚地弓形虫而言,缓殖子期形成的长寿命包囊对传播至关重要,其在神经元中的存在被认为对免疫逃逸很重要。然而,包囊形成在多大程度上能逃避免疫压力并介导持续存在仍不清楚。在此,我们建立了一个数学模型,强调针对缓殖子的免疫有助于控制包囊数量。体内研究表明,转基因CD8 T细胞能识别一种源自包囊的抗原,并且神经元中的信号转导及转录激活因子1(STAT1)信号传导促进了小鼠体内包囊的控制。对无法形成缓殖子的寄生虫(Δbfd1)进行的建模和实验表明,中枢神经系统中缺乏包囊形成并不能阻止长期持续存在,但会导致速殖子复制增加,伴有相关的组织损伤和死亡率上升。这些发现表明,刚地弓形虫的潜伏形式处于免疫压力之下,可减轻感染引起的损伤,并促进宿主和寄生虫的存活。

https://cdn.ncbi.nlm.nih.gov/pmc/blobs/e9a4/11964939/f73a5632c0ea/41564_2025_1967_Fig1_HTML.jpg

文献AI研究员

20分钟写一篇综述,助力文献阅读效率提升50倍。

立即体验

用中文搜PubMed

大模型驱动的PubMed中文搜索引擎

马上搜索

文档翻译

学术文献翻译模型,支持多种主流文档格式。

立即体验