Suppr超能文献

胰腺腺泡-导管化生转变状态的DNA甲基化记忆在无Kras突变的情况下改变Kras下游的PI3K和Rho GTP酶信号传导。

DNA methylation memory of pancreatic acinar-ductal metaplasia transition state altering Kras-downstream PI3K and Rho GTPase signaling in the absence of Kras mutation.

作者信息

Lo Emily K W, Idrizi Adrian, Tryggvadottir Rakel, Zhou Weiqiang, Hou Wenpin, Ji Hongkai, Cahan Patrick, Feinberg Andrew P

机构信息

Department of Biomedical Engineering, Johns Hopkins University School of Medicine, 720 Rutland Avenue, Baltimore, MD, 21205, USA.

Center for Epigenetics, Johns Hopkins University School of Medicine, Baltimore, MD, USA.

出版信息

Genome Med. 2025 Mar 28;17(1):32. doi: 10.1186/s13073-025-01452-6.

Abstract

BACKGROUND

A critical area of recent cancer research is the emergence of transition states between normal and cancer that exhibit increased cell plasticity which underlies tumor cell heterogeneity. Pancreatic ductal adenocarcinoma (PDAC) can arise from the combination of a transition state termed acinar-to-ductal metaplasia (ADM) and a gain-of-function mutation in the proto-oncogene KRAS. During ADM, digestive enzyme-producing acinar cells acquire a transient ductal epithelium-like phenotype while maintaining their geographical acinar organization. One route of ADM initiation is the overexpression of the Krüppel-like factor 4 gene (KLF4) in the absence of oncogenic driver mutations. Here, we asked to what extent cells acquire and retain an epigenetic memory of the ADM transition state in the absence of oncogene mutation.

METHODS

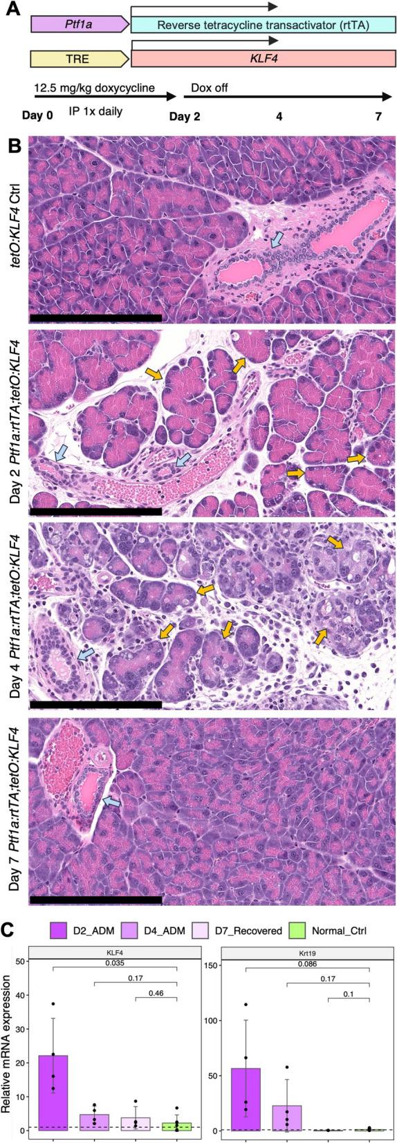
We profiled the DNA methylome and transcriptome of KLF4-induced ADM in transgenic mice at various timepoints during and after recovery from ADM. We validated the identified DNA methylation and transcriptomic signatures in the widely used caerulein model of inducible pancreatitis.

RESULTS

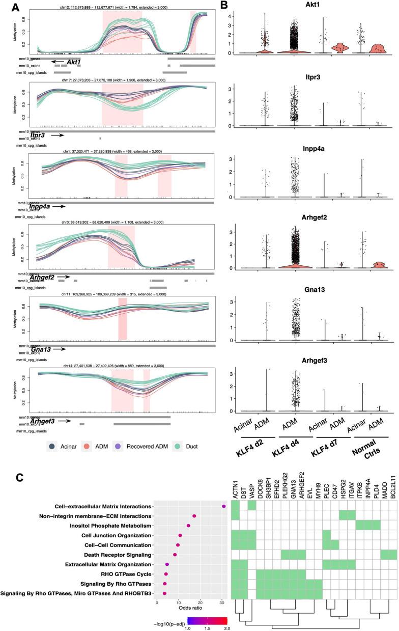
We identified differential DNA methylation at Kras-downstream PI3K and Rho/Rac/Cdc42 GTPase pathway genes during ADM, as well as a corresponding gene expression increase in these pathways. Importantly, differential methylation persisted after gene expression returned to normal. Caerulein exposure, which induces widespread digestive system changes in addition to ADM, showed similar changes in DNA methylation in ADM cells. Regions of differential methylation were enriched for motifs of KLF and AP-1 family transcription factors, as were those of human pancreatic intraepithelial neoplasia (PanIN) samples, demonstrating the relevance of this epigenetic transition state memory in human carcinogenesis. Finally, single-cell spatial transcriptomics revealed that these ADM transition cells were enriched for PI3K pathway and AP1 family members.

CONCLUSIONS

Our comprehensive study of DNA methylation in the acinar-ductal metaplasia transition state links epigenetic memory to cancer-related cell plasticity even in the absence of oncogenic mutation.

摘要

背景

近期癌症研究的一个关键领域是正常细胞与癌细胞之间过渡状态的出现,这种过渡状态表现出细胞可塑性增加,而细胞可塑性是肿瘤细胞异质性的基础。胰腺导管腺癌(PDAC)可能源于一种称为腺泡-导管化生(ADM)的过渡状态与原癌基因KRAS功能获得性突变的结合。在ADM过程中,产生消化酶的腺泡细胞获得一种短暂的导管上皮样表型,同时保持其地理腺泡组织。ADM起始的一条途径是在没有致癌驱动突变的情况下Krüppel样因子4基因(KLF4)的过表达。在此,我们研究了在没有癌基因突变的情况下,细胞在多大程度上获得并保留了ADM过渡状态的表观遗传记忆。

方法

我们在转基因小鼠中,对ADM恢复期间及恢复后的不同时间点,对KLF4诱导的ADM的DNA甲基化组和转录组进行了分析。我们在广泛使用的诱导性胰腺炎雨蛙肽模型中验证了所鉴定的DNA甲基化和转录组特征。

结果

我们在ADM期间,在Kras下游的PI3K和Rho/Rac/Cdc42 GTPase信号通路基因中鉴定出差异DNA甲基化,以及这些信号通路中相应的基因表达增加。重要的是,在基因表达恢复正常后,差异甲基化仍然存在。除了ADM外,雨蛙肽暴露还会引起广泛的消化系统变化,在ADM细胞中也显示出类似的DNA甲基化变化。差异甲基化区域富含KLF和AP-1家族转录因子的基序,人类胰腺上皮内瘤变(PanIN)样本也是如此,这证明了这种表观遗传过渡状态记忆在人类致癌过程中的相关性。最后,单细胞空间转录组学显示,这些ADM过渡细胞富含PI3K信号通路和AP1家族成员。

结论

我们对腺泡-导管化生过渡状态下DNA甲基化的全面研究表明,即使在没有致癌突变的情况下,表观遗传记忆也与癌症相关的细胞可塑性有关。

https://cdn.ncbi.nlm.nih.gov/pmc/blobs/f352/11951614/cce92d48aeb6/13073_2025_1452_Fig1_HTML.jpg

文献AI研究员

20分钟写一篇综述,助力文献阅读效率提升50倍。

立即体验

用中文搜PubMed

大模型驱动的PubMed中文搜索引擎

马上搜索

文档翻译

学术文献翻译模型,支持多种主流文档格式。

立即体验