Suppr超能文献

脑膜脑淀粉样血管病的多组学分析揭示了未取代氨基葡萄糖和细胞外蛋白的富集。

Multi-omic analysis of meningeal cerebral amyloid angiopathy reveals enrichment of unsubstituted glucosamine and extracellular proteins.

作者信息

Mayfield Joshua E, Rajic Alexander J, Aguilar-Calvo Patricia, Soldau Katrin, Flores Samantha, Lawrence Roger, Choudhury Biwsa, Ghassemian Majid, Pizzo Donald P, Wagner Steven L, Danque Garrett A, Sumowski Paige, Hansen Lawrence A, Goodwill Vanessa, Esko Jeffery D, Sigurdson Christina J

机构信息

Department of Pathology, University of California, San Diego, La Jolla, CA, United States.

Neurology Service, Veterans Affairs Medical Center, La Jolla, CA, United States.

出版信息

J Neuropathol Exp Neurol. 2025 May 1;84(5):398-411. doi: 10.1093/jnen/nlaf018.

Abstract

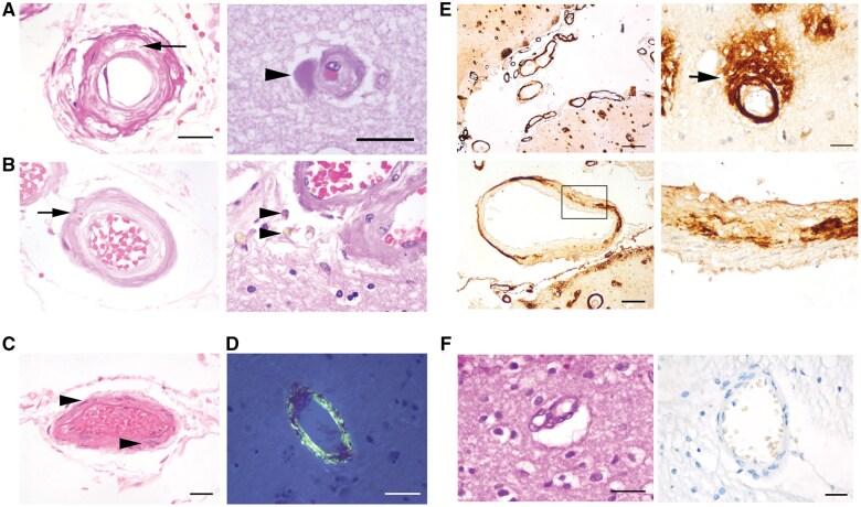
Cerebral amyloid angiopathy (CAA) is a common feature of Alzheimer's disease in which amyloid-β (Aβ) deposits in cerebral and leptomeningeal vessel walls, predisposing vessels to micro- and macro-hemorrhages. The vessel walls contain distinct proteins and heparan sulfate (HS), yet how vascular proteins and HS jointly associate with Aβ is unknown. We conducted the first multi-omics study to systematically characterize the proteins as well as the HS abundance, sulfation level, and disaccharide composition of leptomeninges from 23 moderate to severe CAA cases and controls. We then analyzed the associations between Aβ and other proteins, HS, and apolipoprotein E genotype. We found an increase in a minor HS disaccharide containing unsubstituted glucosamine, as well as 6-O sulfated disaccharides; Aβ40 levels positively correlated with unsubstituted glucosamine. There was also an increase in extracellular proteins derived from brain parenchyma or plasma, including olfactomedin-like protein 3, fibrinogen, serum amyloid protein, apolipoprotein E, and secreted frizzled related protein-3. Our findings of vascular HS and protein alterations specific to CAA-affected leptomeningeal vessels provide molecular insight into the extracellular remodeling that co-occurs with Aβ deposits and may indicate a basis for antemortem diagnostic assay development and therapeutic strategies to impede Aβ-HS interactions.

摘要

脑淀粉样血管病(CAA)是阿尔茨海默病的一个常见特征,其中淀粉样β蛋白(Aβ)沉积在脑和软脑膜血管壁中,使血管易于发生微出血和大出血。血管壁含有独特的蛋白质和硫酸乙酰肝素(HS),但血管蛋白和HS如何与Aβ共同关联尚不清楚。我们进行了第一项多组学研究,以系统地表征23例中重度CAA病例和对照的软脑膜中的蛋白质以及HS丰度、硫酸化水平和二糖组成。然后,我们分析了Aβ与其他蛋白质、HS和载脂蛋白E基因型之间的关联。我们发现含有未取代葡糖胺的一种次要HS二糖以及6-O硫酸化二糖有所增加;Aβ40水平与未取代葡糖胺呈正相关。源自脑实质或血浆的细胞外蛋白质也有所增加,包括嗅觉介质样蛋白3、纤维蛋白原、血清淀粉样蛋白、载脂蛋白E和分泌型卷曲相关蛋白-3。我们对受CAA影响的软脑膜血管特有的血管HS和蛋白质改变的研究结果,为与Aβ沉积同时发生的细胞外重塑提供了分子见解,并可能为生前诊断检测的开发和阻碍Aβ-HS相互作用的治疗策略指明了基础。

https://cdn.ncbi.nlm.nih.gov/pmc/blobs/81b3/12012350/97fd0df5522d/nlaf018f1.jpg

文献AI研究员

20分钟写一篇综述,助力文献阅读效率提升50倍。

立即体验

用中文搜PubMed

大模型驱动的PubMed中文搜索引擎

马上搜索

文档翻译

学术文献翻译模型,支持多种主流文档格式。

立即体验