Suppr超能文献

赖氨酰 - tRNA合成酶1通过自噬相关分泌和炎症促进动脉粥样硬化的发生。

Lysyl-tRNA synthetase 1 promotes atherogenesis via autophagy-related secretion and inflammation.

作者信息

Yun Kangmin, Seo Youngsik, Oh Yerim, Kim Sunghyen, Maeng Hye Sun, Cho Jin Gu, Son Young Bae, Son Dong Ju, Kwon Kihwan, Kim Sunghoon, Jo Hanjoong, Park Heonyong

机构信息

Department of Molecular Biology, Institute of Nanosensor and Biotechnology, Dankook University, 119 Dandae-Ro, Dongnam-Gu, Cheonan-Si, Chungnam, 31116, South Korea.

College of Pharmacy, Chungbuk National University, 194-21 Osongsaengmyong 1-Ro, Osong-Eup, Heungduk-Gu, Cheongju, 28160, Chungbuk, Republic of Korea.

出版信息

Sci Rep. 2025 Apr 1;15(1):11099. doi: 10.1038/s41598-025-96046-y.

Abstract

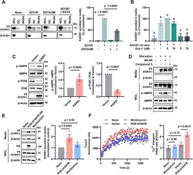
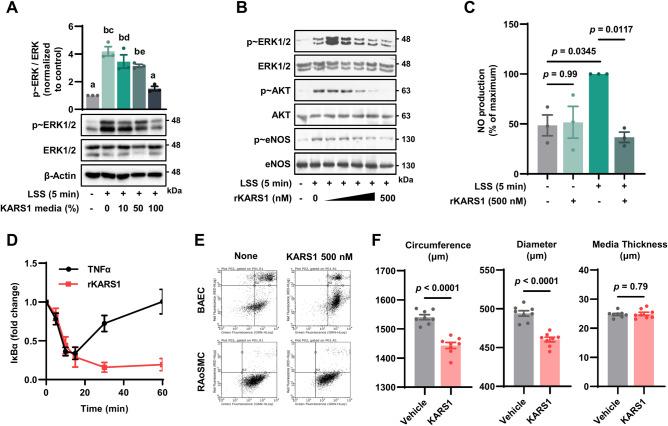
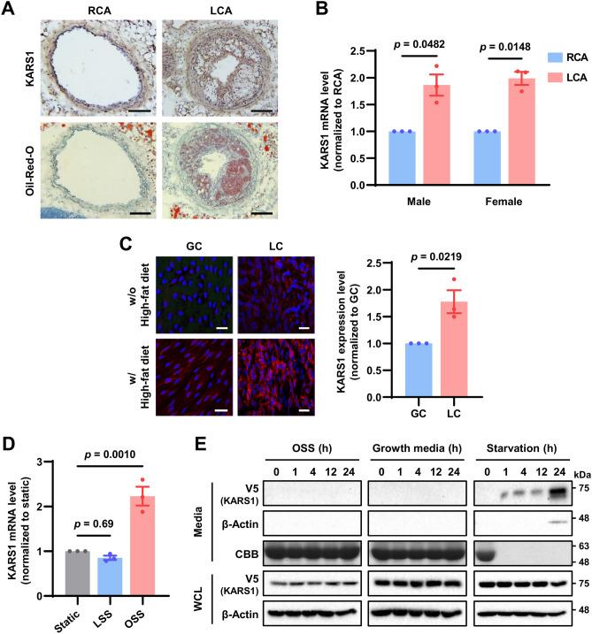
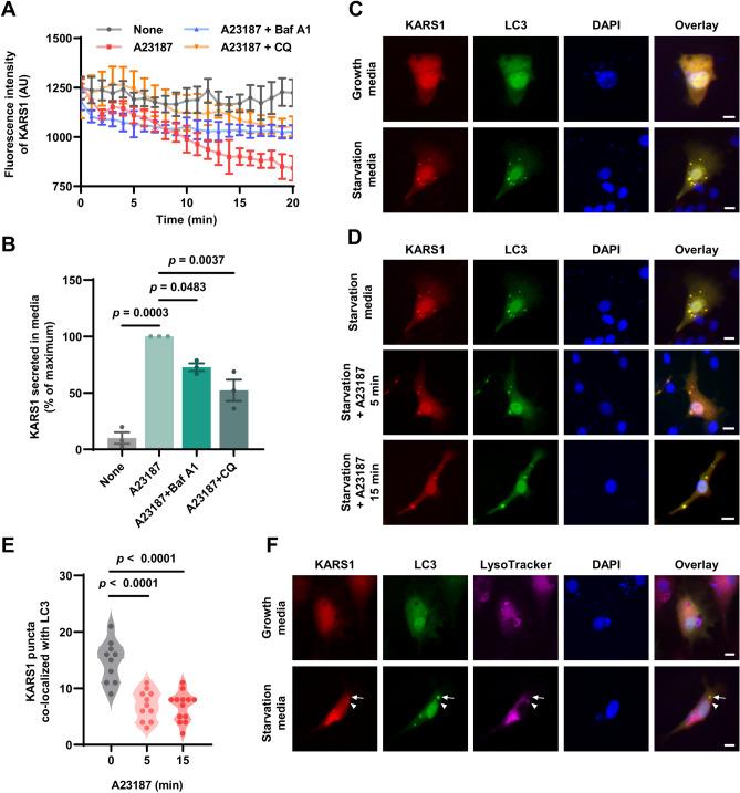
Lysyl-tRNA synthetase 1 (KARS1), an aminoacyl-tRNA synthetase, was recently identified as a secreted pro-inflammatory agent. However, the vascular secretion and functions of KARS1 have not been characterized. This study investigated the secretion mechanisms of KARS1 and explored its functional roles in vascular biology. We found that KARS1 expression was upregulated by oscillatory shear stress, an atherogenic factor, suggesting the presence of free KARS1 dissociated from aminoacyl-tRNA synthetase complexes. Moreover, in the presence of Ca, serum starvation triggered free cytosolic KARS1 release from endothelial cells via secretory autophagy. Both phosphatidylinositol 3-phosphate kinase and caveolin-1 were either supplementary or essential for KARS1 secretion. Secreted KARS1 co-localized in the exosome fraction of post-culture media and was externally exposed. Further, secreted KARS1 inhibited shear-induced activation of various signaling molecules, including extracellular signal-regulated kinase, protein kinase B, and endothelial nitric oxide synthetase. Secreted KARS1 in atherosclerotic plaques also acted as an atherogenic or proinflammatory autocrine/paracrine molecule. Additionally, KARS1 participated in vessel alteration. Collectively, these findings describe novel vascular features of KARS1 in response to shear stress, providing insights into shear stress-controlling mechanisms of the vascular system.

摘要

赖氨酰 - tRNA合成酶1(KARS1)是一种氨酰 - tRNA合成酶,最近被鉴定为一种分泌型促炎因子。然而,KARS1的血管分泌及其功能尚未得到表征。本研究调查了KARS1的分泌机制,并探讨了其在血管生物学中的功能作用。我们发现,KARS1的表达受致动脉粥样硬化因子——振荡剪切应力上调,这表明存在从氨酰 - tRNA合成酶复合物中解离的游离KARS1。此外,在钙离子存在的情况下,血清饥饿通过分泌自噬触发内皮细胞释放游离的胞质KARS1。磷脂酰肌醇3 - 磷酸激酶和小窝蛋白1对于KARS1的分泌要么起补充作用,要么必不可少。分泌的KARS1共定位于培养后培养基的外泌体部分,并暴露于细胞外。此外,分泌的KARS1抑制剪切诱导的多种信号分子的激活,包括细胞外信号调节激酶、蛋白激酶B和内皮型一氧化氮合酶。动脉粥样硬化斑块中分泌的KARS1也作为一种致动脉粥样硬化或促炎的自分泌/旁分泌分子发挥作用。此外,KARS1参与血管改变。总的来说,这些发现描述了KARS1在响应剪切应力时的新血管特征,为血管系统的剪切应力控制机制提供了见解。

https://cdn.ncbi.nlm.nih.gov/pmc/blobs/eb4b/11961584/5de3dca68f61/41598_2025_96046_Fig1_HTML.jpg

文献AI研究员

20分钟写一篇综述,助力文献阅读效率提升50倍。

立即体验

用中文搜PubMed

大模型驱动的PubMed中文搜索引擎

马上搜索

文档翻译

学术文献翻译模型,支持多种主流文档格式。

立即体验