Suppr超能文献

SRSF2过表达诱导转录/复制依赖性DNA双链断裂并干扰DNA修复途径,以促进肺癌进展。

SRSF2 overexpression induces transcription-/replication-dependent DNA double-strand breaks and interferes with DNA repair pathways to promote lung tumor progression.

作者信息

Khalife Manal, Jia Tao, Caron Pierre, Shreim Amani, Genoux Aurelie, Cristini Agnese, Pucciarelli Amelie, Leverve Marie, Lepeltier Nina, García-Rodríguez Néstor, Dalonneau Fabien, Ramachandran Shaliny, Fernandez Martinez Lara, Marcion Guillaume, Lemaitre Nicolas, Brambilla Elisabeth, Garrido Carmen, Hammond Ester M, Huertas Pablo, Gazzeri Sylvie, Sordet Olivier, Eymin Beatrice

机构信息

University Grenoble Alpes, INSERM U1209, CNRS UMR5309, Team RNA Splicing, Cell Signaling and Response to Therapies, Institute for Advanced Biosciences, Grenoble F38000, France.

Cancer Research Center of Toulouse (CRCT), INSERM, Université de Toulouse, CNRS, Toulouse 31037, France.

出版信息

NAR Cancer. 2025 Apr 2;7(2):zcaf011. doi: 10.1093/narcan/zcaf011. eCollection 2025 Jun.

Abstract

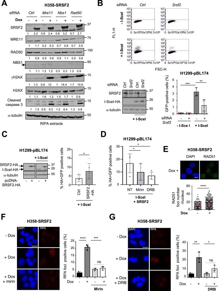
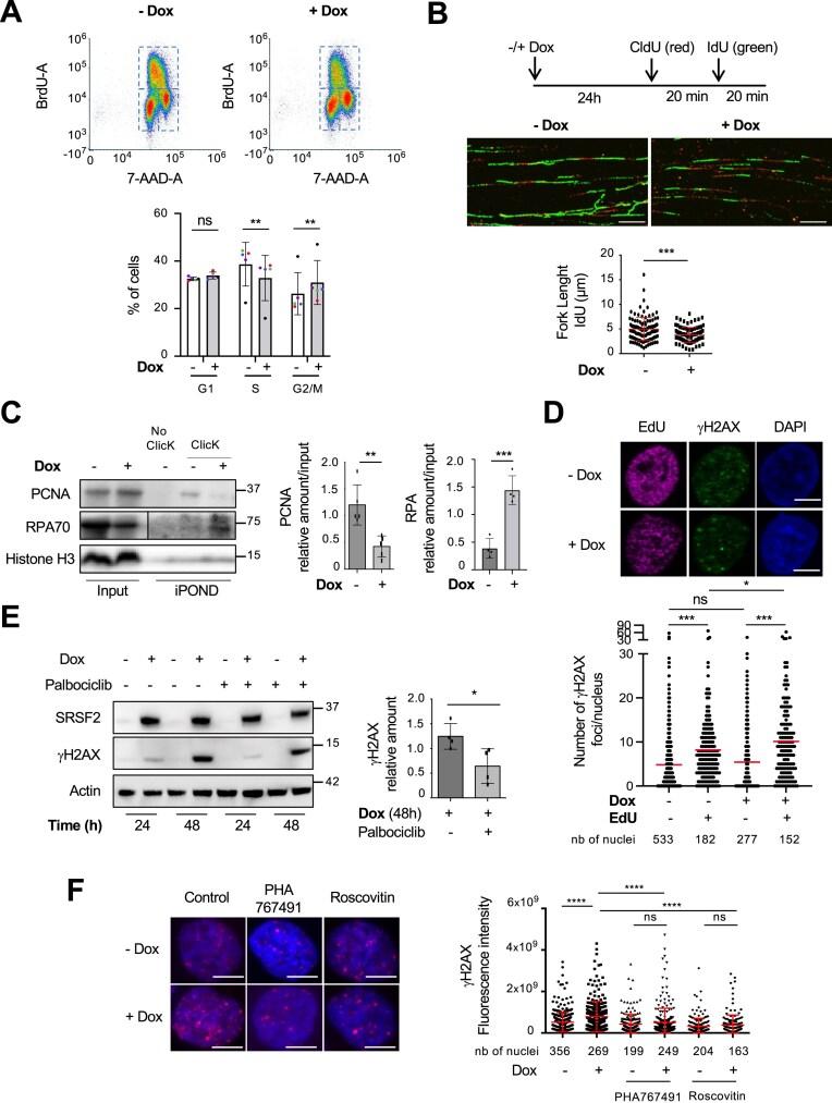
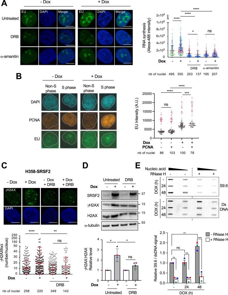
SRSF2 (serine/arginine-rich splicing factor 2) is a critical regulator of pre-messenger RNA splicing, which also plays noncanonical functions in transcription initiation and elongation. Although elevated levels of SRSF2 are associated with advanced stages of lung adenocarcinoma (LUAD), the mechanisms connecting SRSF2 to lung tumor progression remain unknown. We show that SRSF2 overexpression increases global transcription and replicative stress in LUAD cells, which correlates with the production of DNA damage, notably double-strand breaks (DSBs), likely resulting from conflicts between transcription and replication. Moreover, SRSF2 regulates DNA repair pathways by promoting homologous recombination and inhibiting nonhomologous end joining. Mechanistically, SRSF2 interacts with and enhances MRE11 (meiotic recombination 11) recruitment to chromatin, while downregulating 53BP1 messenger RNA and protein levels. Both events are likely contributing to SRSF2-mediated DNA repair process rerouting. Lastly, we show that SRSF2 and MRE11 expression is commonly elevated in LUAD and predicts poor outcome of patients. Altogether, our results identify a mechanism by which SRSF2 overexpression promotes lung cancer progression through a fine control of both DSB production and repair. Finally, we show that SRSF2 knockdown impairs late repair of ionizing radiation-induced DSBs, suggesting a more global function of SRSF2 in DSB repair by homologous recombination.

摘要

SRSF2(丝氨酸/精氨酸丰富剪接因子2)是前体信使RNA剪接的关键调节因子,在转录起始和延伸中也发挥非规范功能。尽管SRSF2水平升高与肺腺癌(LUAD)的晚期阶段相关,但将SRSF2与肺肿瘤进展联系起来的机制仍不清楚。我们发现,SRSF2过表达会增加LUAD细胞中的整体转录和复制应激,这与DNA损伤的产生相关,特别是双链断裂(DSB),这可能是由于转录和复制之间的冲突所致。此外,SRSF2通过促进同源重组和抑制非同源末端连接来调节DNA修复途径。从机制上讲,SRSF2与MRE11(减数分裂重组11)相互作用并增强其向染色质的募集,同时下调53BP1信使RNA和蛋白质水平。这两个事件可能都有助于SRSF2介导的DNA修复过程重新定向。最后,我们发现SRSF2和MRE11的表达在LUAD中通常升高,并预示患者预后不良。总之,我们的结果确定了一种机制,通过该机制SRSF2过表达通过对DSB产生和修复的精细控制来促进肺癌进展。最后,我们发现敲低SRSF2会损害电离辐射诱导的DSB的后期修复,这表明SRSF2在通过同源重组进行的DSB修复中具有更广泛的功能。

https://cdn.ncbi.nlm.nih.gov/pmc/blobs/bd74/11963763/4abe8212ca1b/zcaf011figgra1.jpg

文献AI研究员

20分钟写一篇综述,助力文献阅读效率提升50倍。

立即体验

用中文搜PubMed

大模型驱动的PubMed中文搜索引擎

马上搜索

文档翻译

学术文献翻译模型,支持多种主流文档格式。

立即体验