Suppr超能文献

基于网络药理学和实验验证探究通窍化瘀颗粒通过PI3K/Akt-mTOR信号通路对血管性痴呆大鼠海马神经元自噬的影响

Investigation of Tongqiao Huashuan Granules' effect on hippocampal neuron autophagy in vascular dementia rats via the PI3K/Akt-mTOR signaling pathway using network pharmacology and experimental validation.

作者信息

Jiang Xiaoqu, Yu Shuyao, Yao Shuaifeng, Wang Sikai, Cai Jing, Tang Zhongsheng, Zhu Shijie

机构信息

First Clinical Medical College, Guizhou University of Traditional Chinese Medicine, Guiyang, China.

Department of Neurology, First Affiliated Hospital of Guizhou University of Traditional Chinese Medicine, Guiyang, China.

出版信息

Front Neurol. 2025 Mar 21;16:1555411. doi: 10.3389/fneur.2025.1555411. eCollection 2025.

Abstract

OBJECTIVE

This study aimed to apply network pharmacology to identify the active components and key targets of Tongqiao Huashuan Granules in vascular dementia (VaD) and to evaluate its effects on autophagy in hippocampal neurons of VaD rats through animal testing.

MATERIALS AND METHODS

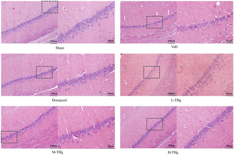
This study first employed network pharmacology (NP) to identify potential components and pathway targets for THg intervention in VaD. A modified two-vessel occlusion (2-VO) method was subsequently analyzed to establish a VaD rat model. Following the interventions, the spatial learning and memory abilities of the rats were assess using a water maze experiment. Morphological and structural changes in neuronal cells within the CA1 region of the rat hippocampus were examined using hematoxylin and eosin (HE) staining. Immunohistochemistry was utilized to assess the proportions of Beclin1-positive and LC3-positive cells in the CA1 region of each rat group, while performed Western blot analysis was conducted to measure protein expression levels of PI3K, p-PI3K, AKT, p-AKT, mTOR, p-mTOR, Beclin1, and LC3 in the hippocampal tissue of the rats.

RESULTS

A total of 76 active components were identified through network pharmacology analysis, with notable components including β-sitosterol, kaempferol, and cinnamophilin. In total, 825 key targets were identified, including IL1B, AKT1, JAK1, and MAPK3. THg and VaD shared 69 common genes. The Gene Ontology (GO) functional enrichment analysis yielded a total of 569 items (BP: 366, CC: 97, MF: 106). KEGG pathway enrichment analysis identified 143 signaling pathways, including TNF, MAPK, AGE-RAGE, and PI3K/Akt pathways. Subsequent validation experiments demonstrated that THg enhanced the learning and memory abilities of VaD rats, improve the morphology of neuronal cells in the CA1 region of the hippocampus, and decreasing the proportion of Beclin1-and LC3-positive cells in this region. Additionally, THg was shown to enhance the expression levels of p-PI3K, p-AKT, and p-mTOR proteins while reducing the expression levels of Beclin1 and LC3 proteins.

CONCLUSION

This study represents the first investigation into the effects of THg intervention in VaD, indicating that its mechanism may involve inhibiting autophagy in hippocampal neurons through activation of the PI3K/Akt-mTOR signaling pathway.

摘要

目的

本研究旨在应用网络药理学方法确定通窍化瘀颗粒治疗血管性痴呆(VaD)的活性成分和关键靶点,并通过动物实验评估其对VaD大鼠海马神经元自噬的影响。

材料与方法

本研究首先运用网络药理学方法确定通窍化瘀颗粒干预VaD的潜在成分和通路靶点。随后采用改良双侧颈总动脉结扎法建立VaD大鼠模型。干预后,通过水迷宫实验评估大鼠的空间学习和记忆能力。采用苏木精-伊红(HE)染色观察大鼠海马CA1区神经细胞的形态和结构变化。利用免疫组织化学方法评估各大鼠组海马CA1区Beclin1阳性细胞和LC3阳性细胞的比例,同时采用蛋白质免疫印迹法检测大鼠海马组织中PI3K、p-PI3K、AKT、p-AKT、mTOR、p-mTOR、Beclin1和LC3的蛋白表达水平。

结果

通过网络药理学分析共鉴定出76种活性成分,其中显著成分包括β-谷甾醇、山奈酚和肉桂醇。共鉴定出825个关键靶点,包括IL1B、AKT1、JAK1和MAPK3。通窍化瘀颗粒与VaD共有69个共同基因。基因本体(GO)功能富集分析共得到569项(生物过程:366项,细胞组分:97项,分子功能:106项)。京都基因与基因组百科全书(KEGG)通路富集分析确定了143条信号通路,包括肿瘤坏死因子(TNF)、丝裂原活化蛋白激酶(MAPK)、晚期糖基化终末产物受体(AGE-RAGE)和磷脂酰肌醇-3激酶/蛋白激酶B(PI3K/Akt)通路。后续验证实验表明,通窍化瘀颗粒可提高VaD大鼠的学习和记忆能力,改善海马CA1区神经细胞形态,降低该区域Beclin1和LC3阳性细胞的比例。此外,通窍化瘀颗粒可提高p-PI3K、p-AKT和p-mTOR蛋白的表达水平,同时降低Beclin1和LC3蛋白的表达水平。

结论

本研究首次探讨了通窍化瘀颗粒干预VaD的作用,表明其作用机制可能是通过激活PI3K/Akt-mTOR信号通路抑制海马神经元自噬。

https://cdn.ncbi.nlm.nih.gov/pmc/blobs/f5b9/11968393/8cb4ef4ae053/fneur-16-1555411-g001.jpg

文献AI研究员

20分钟写一篇综述,助力文献阅读效率提升50倍。

立即体验

用中文搜PubMed

大模型驱动的PubMed中文搜索引擎

马上搜索

文档翻译

学术文献翻译模型,支持多种主流文档格式。

立即体验