Suppr超能文献

胰管腺癌术后播散性转移行根治性切除后的长期生存:1例报告

Long-Term Survival after Curative Resection for Postoperative Dissemination of Pancreatic Ductal Adenocarcinoma: A Case Report.

作者信息

Shimamaki Yoshitaka, Takahashi Makoto, Higashihara Taku, Hayashi Tatsuya, Morita Yasuhiro, Azuma Takeshi, Inoue Dai, Okada Haruka, Ohtsuka Masayuki

机构信息

Department of General Surgery, Tokyo Metropolitan Tama Medical Center, Fuchu, Tokyo, Japan.

Division of Urology, Tokyo Metropolitan Tama Medical Center, Fuchu, Tokyo, Japan.

出版信息

Surg Case Rep. 2025;11(1). doi: 10.70352/scrj.cr.24-0022. Epub 2025 Apr 2.

Abstract

INTRODUCTION

Pancreatic ductal adenocarcinoma (PDAC) has a very poor prognosis and high mortality. The prognosis for recurrence after surgery is extremely poor. Resection for disseminations of PDAC is not recommended.

CASE PRESENTATION

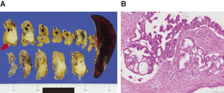
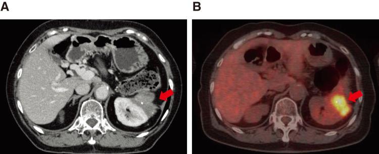
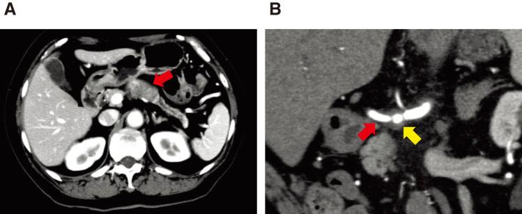
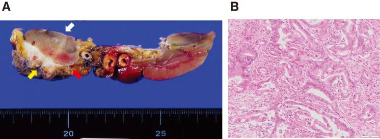
The patient was a 69-year-old woman with a pancreatic tumor that was detected with computed tomography (CT) during a postoperative colon cancer checkup. She was suspected of having pancreatic body cancer without distant metastasis. Distal pancreatectomy with celiac axis resection was performed. Postoperative pathological examination revealed an invasive ductal adenocarcinoma with lymph node metastasis (pT4N1M0, stage III). Postoperatively, she received adjuvant chemotherapy containing gemcitabine and S-1 for 1 year and 4 months, and S-1 monotherapy for 1 year. Six years and 2 months after the initial surgery, her serum carbohydrate antigen 19-9 level elevated, and CT revealed soft tissue in front of the left kidney. Positron emission tomography/CT also revealed high fluorine-18 fluorodeoxyglucose uptake in the tissue. Accordingly, the patient was diagnosed with dissemination of PDAC. The patient was administered chemotherapy with gemcitabine and S-1. One year and 6 months after the diagnosis of dissemination, CT revealed reduction of the nodule. Therefore, we decided to eliminate this dissemination. A left nephrectomy and partial gastrectomy were performed. Histopathological examination confirmed dissemination of PDAC. The patient refused adjuvant chemotherapy. No evidence of recurrence has been observed for 13 years and 3 months since the initial surgery, and 5 years and 1 month since the resection of the dissemination.

CONCLUSIONS

This case showed a recurrence of dissemination after radical PDAC surgery, and the patient showed long-term survival without recurrence after dissemination resection. Resection of dissemination may confer long-term survival in selected patients.

摘要

引言

胰腺导管腺癌(PDAC)预后极差,死亡率高。手术后复发的预后极其糟糕。不建议对PDAC的播散进行切除。

病例介绍

该患者为一名69岁女性,在结肠癌术后检查时通过计算机断层扫描(CT)发现胰腺肿瘤。怀疑患有胰体癌且无远处转移。进行了伴有腹腔干切除的远端胰腺切除术。术后病理检查显示为浸润性导管腺癌伴淋巴结转移(pT4N1M0,Ⅲ期)。术后,她接受了含吉西他滨和S-1的辅助化疗1年零4个月,以及S-1单药治疗1年。初次手术后6年零2个月,她的血清糖类抗原19-9水平升高,CT显示左肾前方有软组织。正电子发射断层扫描/CT也显示该组织中氟-18氟脱氧葡萄糖摄取高。因此,该患者被诊断为PDAC播散。给予患者吉西他滨和S-1化疗。播散诊断后1年零6个月,CT显示结节缩小。因此,我们决定切除这种播散灶。进行了左肾切除术和部分胃切除术。组织病理学检查证实为PDAC播散。患者拒绝辅助化疗。自初次手术以来13年零3个月,以及自播散灶切除以来5年零1个月,均未观察到复发迹象。

结论

本病例显示了PDAC根治性手术后播散灶复发,且患者在播散灶切除后无复发的长期生存。对选定患者进行播散灶切除可能带来长期生存。

https://cdn.ncbi.nlm.nih.gov/pmc/blobs/4be3/11975445/ed4a104598e9/scr-11-01-24-0022-g001.jpg

文献AI研究员

20分钟写一篇综述,助力文献阅读效率提升50倍。

立即体验

用中文搜PubMed

大模型驱动的PubMed中文搜索引擎

马上搜索

文档翻译

学术文献翻译模型,支持多种主流文档格式。

立即体验