Suppr超能文献

GINS1通过激活Wnt/β-连环蛋白促进肺腺癌的发展。

GINS1 facilitates the development of lung adenocarcinoma via Wnt/β-catenin activation.

作者信息

Ma Luyuan, Li Rongyang, Li Pengyong, Yu Wenhao, Tang Zhanpeng, Si Libo, Tian Hui

机构信息

Department of Thoracic Surgery, Qilu Hospital of Shandong University, Jinan, 250012, Shandong, China.

Department of Critical Care Medicine, Qilu Hospital of Shandong University, Jinan, 250012, Shandong, China.

出版信息

World J Surg Oncol. 2025 Apr 7;23(1):122. doi: 10.1186/s12957-025-03786-2.

Abstract

BACKGROUND

Lung adenocarcinoma(LUAD) is the primary reason for cancer-related deaths globally. GINS1 has a significant regulatory function in DNA replication. It is overexpressed in various malignant tumors, but the specific molecular mechanisms of GINS1 in LUAD pathogenesis are not fully elucidated. This is the first report that GINS1 enhances LUAD by activating Wnt/β-catenin signaling pathway, and may serve as a potential target for therapy.

METHODS

Bioinformatic analysis including analysis of difference, survival analysis and pathway enrichment, immunohistochemistry(IHC), western blotting(WB), and quantitative real time polymerase chain reaction(qRT-PCR) were used to detect GINS1 expression in LUAD cell lines and tissues. A range of in vivo and in vitro experiments, such as cck-8, EdU, cloning experiment, wound healing experiment and transwell experiment, confirmed that GINS1 facilitated the proliferation and migration of LUAD. Additionally, the potential mechanism of GINS1 was hypothesized through WB and transcriptome sequencing. The rescue experiment was used to verify our conclusion.

RESULTS

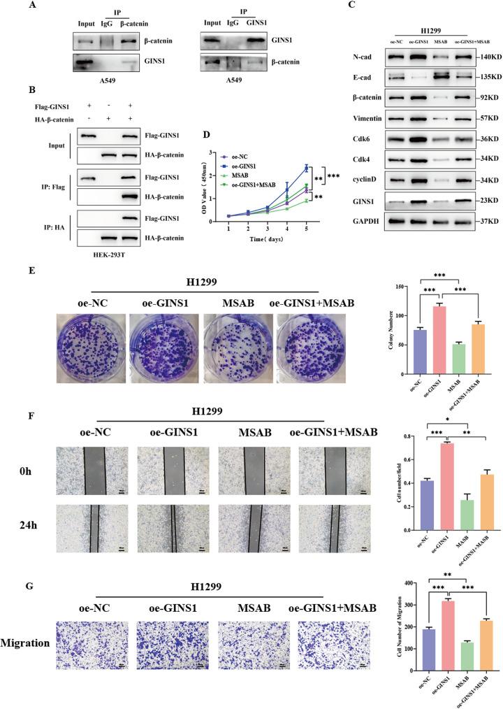
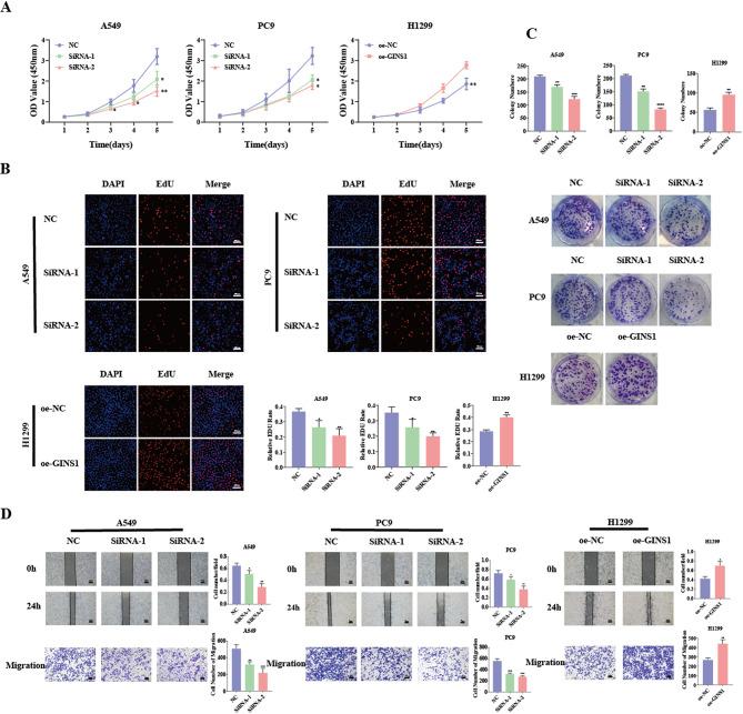
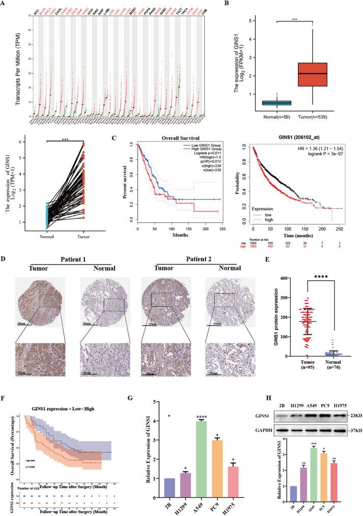
In this study, we discovered that GINS1 is significantly overexpressed in LUAD cell lines and tissues. Analysis of Kaplan - Meier survival data indicated that high levels of GINS1 expression are often linked to unfavorable survival outcomes. Additionally, a series of experiments showed that silencing GINS1 led to less proliferation and migration of LUAD cell lines, while its overexpression enhanced tumor progression. Furthermore, subcutaneous tumor experiments in nude mice supported the role of GINS1 in promoting tumor development in vivo. Lastly, transcriptome sequencing revealed that tumor progression is related to cell cycle (G1 to S phase transition associated with cyclinD) and β-catenin signaling pathway, which we subsequently validated using WB. A series of rescue experiment further confirmed that GINS1 facilitates the advancement of LUAD via the β-catenin signaling pathway.

CONCLUSIONS

Our findings suggest that GINS1 plays a critical role in the progression of LUAD by modulating key molecular pathways, particularly the β-catenin signaling pathway., and it might serve as a potential new target of β-catenin signaling pathway for treatment of LUAD.

摘要

背景

肺腺癌(LUAD)是全球癌症相关死亡的主要原因。GINS1在DNA复制中具有重要的调节功能。它在多种恶性肿瘤中过表达,但GINS1在LUAD发病机制中的具体分子机制尚未完全阐明。这是首次报道GINS1通过激活Wnt/β-连环蛋白信号通路增强LUAD,并且可能作为潜在的治疗靶点。

方法

采用包括差异分析、生存分析和通路富集分析的生物信息学分析、免疫组织化学(IHC)、蛋白质免疫印迹法(WB)和定量实时聚合酶链反应(qRT-PCR)来检测LUAD细胞系和组织中GINS1的表达。一系列体内和体外实验,如cck-8、EdU、克隆实验、伤口愈合实验和transwell实验,证实GINS1促进LUAD的增殖和迁移。此外,通过WB和转录组测序推测GINS1的潜在机制。采用拯救实验验证我们的结论。

结果

在本研究中,我们发现GINS1在LUAD细胞系和组织中显著过表达。对Kaplan-Meier生存数据的分析表明,高水平的GINS1表达通常与不良的生存结果相关。此外,一系列实验表明,沉默GINS1导致LUAD细胞系的增殖和迁移减少,而其过表达则增强肿瘤进展。此外,裸鼠皮下肿瘤实验支持GINS1在体内促进肿瘤发展中的作用。最后,转录组测序显示肿瘤进展与细胞周期(与细胞周期蛋白D相关的G1期到S期转变)和β-连环蛋白信号通路有关,我们随后使用WB对其进行了验证。一系列拯救实验进一步证实GINS1通过β-连环蛋白信号通路促进LUAD的进展。

结论

我们的研究结果表明,GINS1通过调节关键分子途径,特别是β-连环蛋白信号通路,在LUAD的进展中起关键作用,并且它可能作为β-连环蛋白信号通路治疗LUAD的潜在新靶点。

https://cdn.ncbi.nlm.nih.gov/pmc/blobs/96f1/11974172/e22b05655f03/12957_2025_3786_Fig1_HTML.jpg

文献AI研究员

20分钟写一篇综述,助力文献阅读效率提升50倍。

立即体验

用中文搜PubMed

大模型驱动的PubMed中文搜索引擎

马上搜索

文档翻译

学术文献翻译模型,支持多种主流文档格式。

立即体验