Suppr超能文献

PIN1-小泛素样修饰蛋白2/3基序抑制RNF168在染色质上的过度积累和泛素信号传导,以促进辐射抗性。

PIN1-SUMO2/3 motif suppresses excessive RNF168 chromatin accumulation and ubiquitin signaling to promote IR resistance.

作者信息

Chauhan Anoop S, Mackintosh Matthew J W, Cassar Joseph, Lanz Alexander J, Jamshad Mohammed, Mackay Hannah L, Garvin Alexander J, Walker Alexandra K, Jhujh Satpal S, Carlomagno Teresa, Leney Aneika C, Stewart Grant S, Morris Joanna R

机构信息

Department of Cancer and Genomic Sciences, School of Medical Sciences, College of Medicine and Health, University of Birmingham, B15 2TT, Birmingham, United Kingdom.

Birmingham Centre for Genome Biology and Department of Cancer and Genomic Sciences, Medicine and Health, School of University of Birmingham, Birmingham, United Kingdom.

出版信息

Nat Commun. 2025 Apr 14;16(1):3399. doi: 10.1038/s41467-025-56974-9.

Abstract

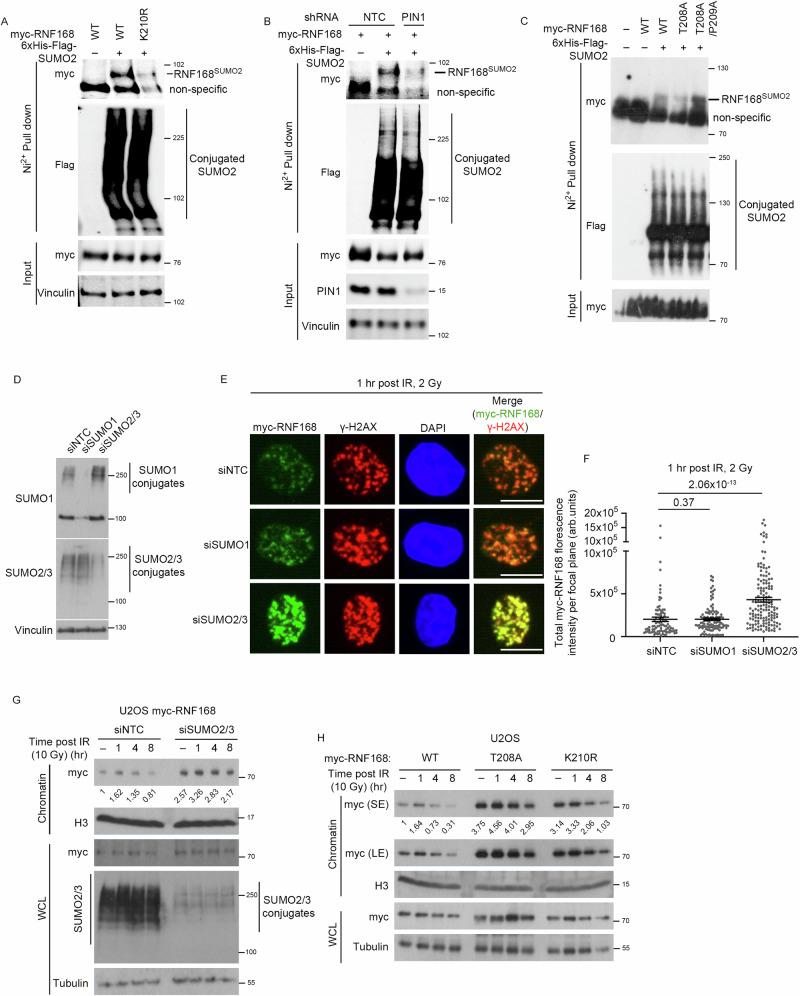
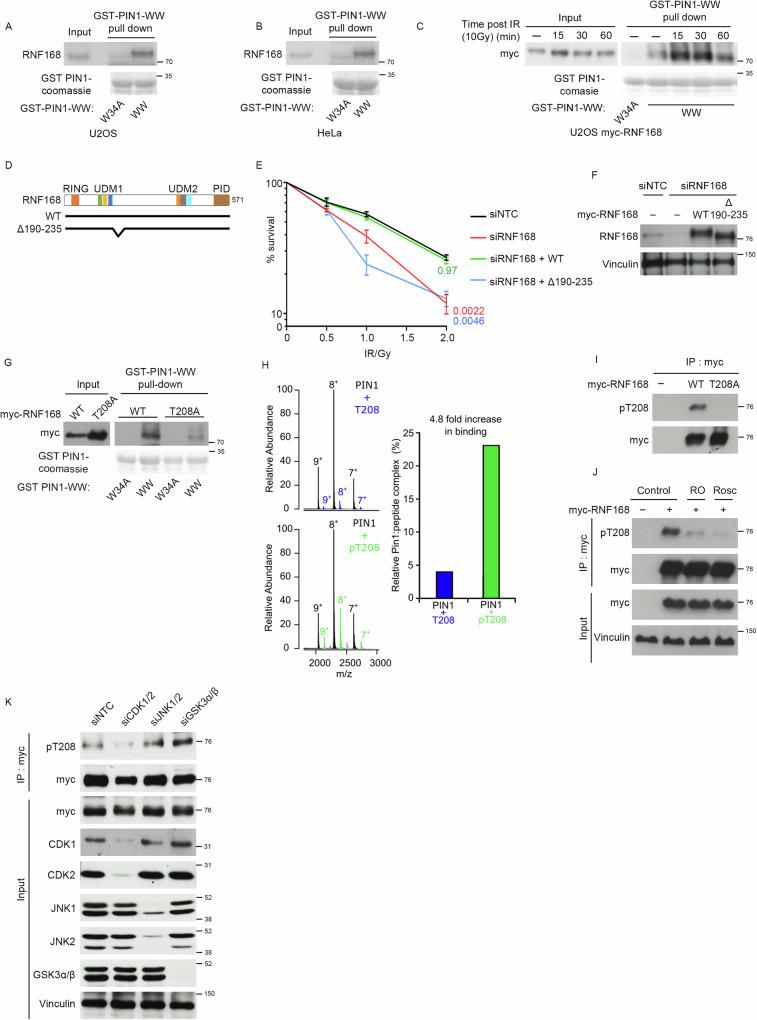
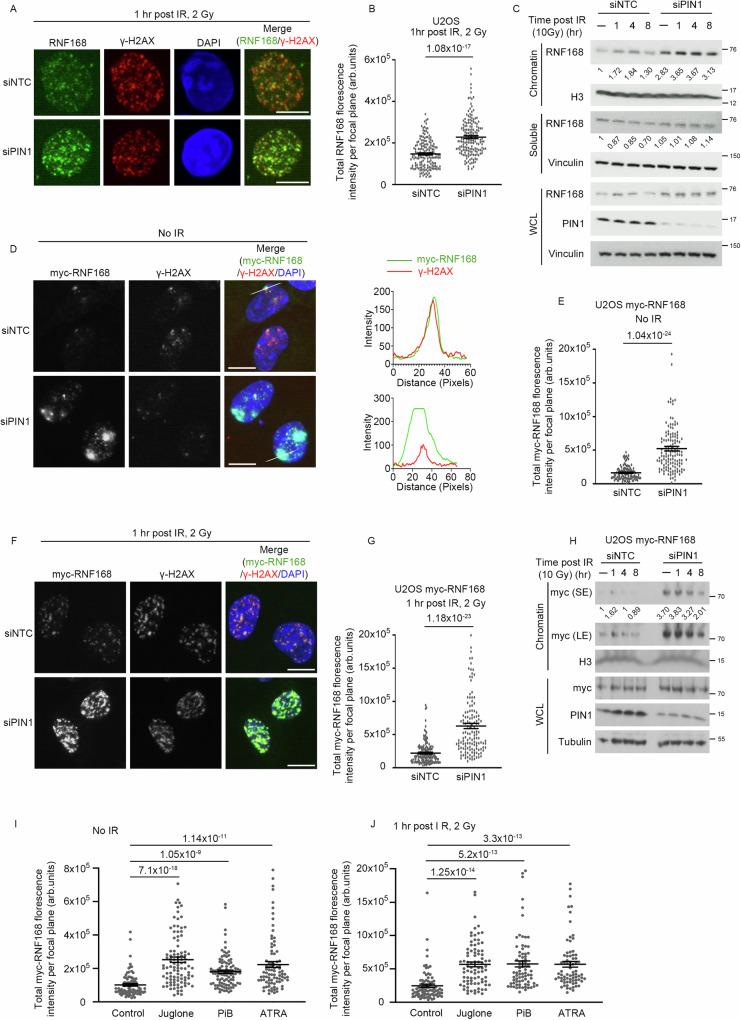
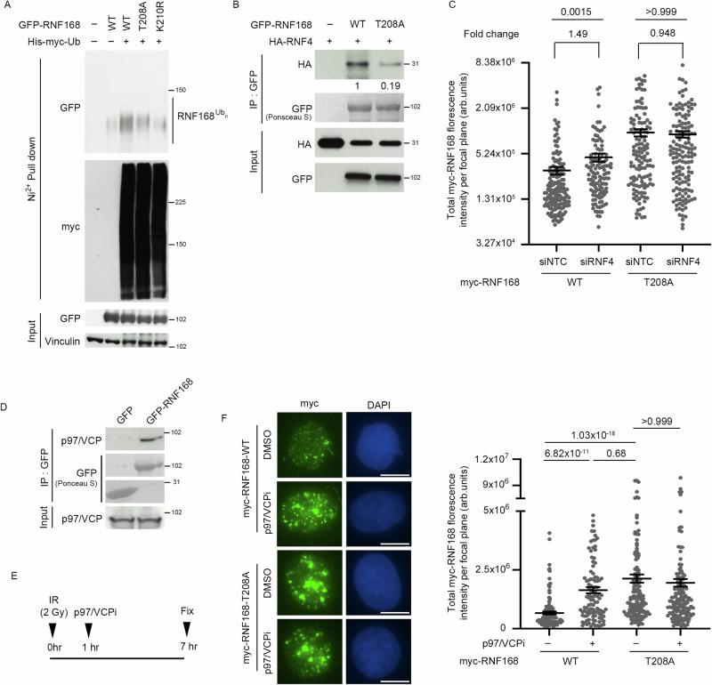
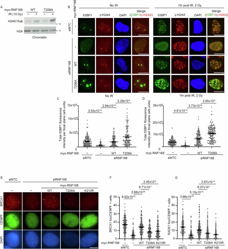
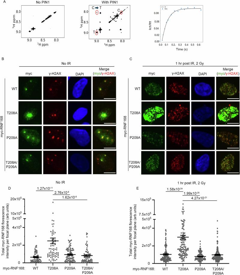
RNF168 is an E3 ubiquitin ligase critical to the mammalian DNA double-strand break repair response. The protein is recruited to and amplifies ubiquitin signals at damaged chromatin and, if not properly regulated, can drive an uncontrolled ubiquitin cascade potentially harmful to repair outcomes. Several indirect mechanisms restrict RNF168 positive feedback, and a longstanding question has been whether these alone suppress excessive RNF168 signaling or whether mechanisms to remove RNF168 from damaged chromatin exist. Here, we reveal a cascade of post-translational modifications which act at three adjacent amino acids, threonine-208, proline-209 and lysine-210, to process RNF168 actively. Phosphorylation at threonine-208 by CDK1/2 induces interaction with the peptidyl-prolyl isomerase PIN1. PIN1 promotes RNF168 SUMOylation at lysine-210, resulting in p97/VCP mediated removal. These actions promote RNF168 clearance and limit RNF168 chromatin build-up. Thus, single amino acid substitutions of the regulatory motif (SUMO-PIN1-assisted Chromatin Regulator, SPaCR) that restrict PIN1 interaction or SUMOylation are sufficient to drive supraphysiological accumulation of RNF168, increased ubiquitin signaling, excessive 53BP1 recruitment and radiosensitivity. Our findings define a mechanism of direct RNF168 regulation that is part of the normal damage response, promoting RNF168 dissociation from chromatin and limiting deleterious ubiquitin signaling.

摘要

RNF168是一种E3泛素连接酶,对哺乳动物DNA双链断裂修复反应至关重要。该蛋白被招募到受损染色质上并放大泛素信号,如果调控不当,会引发不受控制的泛素级联反应,可能对修复结果有害。几种间接机制限制了RNF168的正反馈,一个长期存在的问题是,这些机制是否单独抑制了过度的RNF168信号传导,或者是否存在将RNF168从受损染色质中去除的机制。在这里,我们揭示了一系列翻译后修饰,这些修饰作用于三个相邻的氨基酸,即苏氨酸-208、脯氨酸-209和赖氨酸-210,以积极处理RNF168。CDK1/2对苏氨酸-208的磷酸化诱导了与肽基脯氨酰异构酶PIN1的相互作用。PIN1促进赖氨酸-210处的RNF168 SUMO化,导致p97/VCP介导的去除。这些作用促进了RNF168的清除并限制了RNF168在染色质上的积累。因此,限制PIN1相互作用或SUMO化的调节基序(SUMO-PIN1辅助染色质调节剂,SPaCR)的单个氨基酸取代足以驱动RNF168的超生理积累、增加泛素信号传导、过度招募53BP1和放射敏感性。我们的发现定义了一种直接调节RNF168的机制,这是正常损伤反应的一部分,促进RNF168从染色质上解离并限制有害的泛素信号传导。

https://cdn.ncbi.nlm.nih.gov/pmc/blobs/f27c/11997057/446f0abcc318/41467_2025_56974_Fig1_HTML.jpg

文献AI研究员

20分钟写一篇综述,助力文献阅读效率提升50倍。

立即体验

用中文搜PubMed

大模型驱动的PubMed中文搜索引擎

马上搜索

文档翻译

学术文献翻译模型,支持多种主流文档格式。

立即体验