Suppr超能文献

南瓜籽油和大豆油中的绿豆提取物:一种治疗阿尔茨海默病的新方法。

Vigna radiata extracts in pumpkin and soya bean oil: A novel therapeutic approach for Alzheimer's disease.

作者信息

Amin Haroon, Bukhari Shazia Anwer, Chauhdary Zunera, Akhter Naheed, Saleem Maria

机构信息

Department of Biochemistry, Government College University Faisalabad, Faisalabad, Pakistan.

Department of Pharmacology, Government College University Faisalabad, Faisalabad, Pakistan.

出版信息

PLoS One. 2025 Apr 15;20(4):e0321183. doi: 10.1371/journal.pone.0321183. eCollection 2025.

Abstract

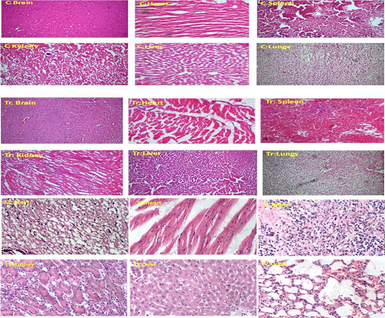
Vigna radiate also known as mung beans, contains various bioactive compounds like polyphenols, flavonoids, and saponins. V. radiata therapeutic potential is enhanced by preparation of its extract in Pumpkin oil and soya bean oil by enrichment of bioactive compounds holding antioxidant, anti-inflammatory, and neuro-protective properties. The research study was aimed was to explore the healing endeavors of V. radiate pumpkin and soya bean oil extract in rectification of neuro-motor dysfunction and mental health decline in Alzheimer's disease (AD) rat model. After preliminary physico-phytochemical characterization and GC-MS analysis, AD model was established by administration of oral D-galactose and aluminum chloride 150 mg/kg each for 42 days daily. V. radiate extract in pumpkin and soya bean oil at doses 250 and 500 mg/kg was administered and rivastigmine (3 milligrams per kilogram) to treatment animals. To determine the cognitive decline and neuro-coordination dysfunctions behavioral tests were performed along with biochemical, neurochemical and histopathological analysis. ELISA and real time polymerase chain reaction were carried out to estimate the expression of tumor necrosis factor-α, Interleukine-6 and mRNA expression of neurodegenerative biomarkers. Gas chromatography Mass Spectrometry findings revealed the existence of favorable amount of neuro-defensive bioactive compounds in both oil extracts.V. radiate pumpkin and soya bean oil extract dose proportionally alleviated the behavioral dysfunctions, modulated the first line antioxidant enzymes and neurotransmitters s' level with anticholinesterase pursuits. The mRNA expression of AChE, IL-1β, TNF-α, IL-1α and β secretase were downregulated by these extracts treatment. V. radiate oil extracts also modulated the neuro-inflammatory protein expression and histopathological hallmarks in AD model animals. Therefore, it is purposed that V. radiate enriched extract in pumpkin and soya bean oil could be used to treat AD like memory dysfunction and motor symptoms.

摘要

绿豆(也称为绿小豆)含有多种生物活性化合物,如多酚、黄酮类化合物和皂苷。通过在南瓜油和大豆油中制备其提取物,富集具有抗氧化、抗炎和神经保护特性的生物活性化合物,可增强绿豆的治疗潜力。本研究旨在探索绿豆南瓜和大豆油提取物对阿尔茨海默病(AD)大鼠模型神经运动功能障碍和心理健康衰退的修复作用。经过初步的物理化学和植物化学表征以及气相色谱 - 质谱分析后,通过每天口服150毫克/千克的D - 半乳糖和氯化铝,持续42天建立AD模型。以250和500毫克/千克的剂量给治疗组动物施用南瓜和大豆油中的绿豆提取物以及卡巴拉汀(3毫克/千克)。为了确定认知衰退和神经协调功能障碍,进行了行为测试以及生化、神经化学和组织病理学分析。进行酶联免疫吸附测定(ELISA)和实时聚合酶链反应,以估计肿瘤坏死因子-α、白细胞介素-6的表达以及神经退行性生物标志物的mRNA表达。气相色谱 - 质谱分析结果表明,两种油提取物中都存在适量的神经保护生物活性化合物。绿豆南瓜和大豆油提取物剂量成比例地减轻了行为功能障碍,通过抗胆碱酯酶作用调节了一线抗氧化酶和神经递质的水平。这些提取物处理下调了乙酰胆碱酯酶(AChE)、白细胞介素-1β、肿瘤坏死因子-α、白细胞介素-1α和β分泌酶的mRNA表达。绿豆油提取物还调节了AD模型动物中的神经炎症蛋白表达和组织病理学特征。因此,有理由认为南瓜和大豆油中富集的绿豆提取物可用于治疗AD样记忆功能障碍和运动症状。

https://cdn.ncbi.nlm.nih.gov/pmc/blobs/e840/11999159/ea1d5d18be40/pone.0321183.g001.jpg

文献AI研究员

20分钟写一篇综述,助力文献阅读效率提升50倍。

立即体验

用中文搜PubMed

大模型驱动的PubMed中文搜索引擎

马上搜索

文档翻译

学术文献翻译模型,支持多种主流文档格式。

立即体验