Suppr超能文献

使用生物纳米壳聚糖减轻非洲鲶鱼体内的镉毒性:对生化、遗传毒性和组织病理学影响的见解

Mitigation of cadmium toxicity in African catfish using biological Nano chitosan: insights into biochemical, genotoxic, and histopathological effects.

作者信息

Samak Dalia H, Abd-Ellatieff Hoda A, Khalil Riad H, Saleh Nehad A, Saleh Hamida M

机构信息

Department of Forensic Medicine and Toxicology, Faculty of Veterinary Medicine, Damanhour University, El-Beheira, Egypt.

Department of Pathology, Faculty of Veterinary Medicine, Damanhour University, El-Beheira, Egypt.

出版信息

BMC Vet Res. 2025 Apr 16;21(1):278. doi: 10.1186/s12917-025-04673-4.

Abstract

BACKGROUND

Cadmium is a highly toxicant heavy metal that poses serious risks to aquatic organisms, animals, and humans. Recent studies have investigated using biological chitosan nanoparticles (Bio-CHNPs) as a potential solution to alleviate the harmful effects of Cd exposure, particularly in aquaculture. Bio-CHNPs have gained attention for their applications in drug delivery and biomedical research, indicating their potential utility in addressing environmental toxicity.

OBJECTIVE

This research aims to explore the effectiveness of Bio-CHNPs in mitigating cadmium chloride (CdCL) toxicity in African catfish (Clarias gariepinus).

METHODS

One hundred and twenty (n = 120) catfish were divided into 4 groups; G1 (control); G2, intoxicated with 10% LC of CdCL; G3 received 3 g/kg of Bio-CNPs; G4, treated with 10% LC of CdCL and Bio-CNPs 3 g/kg feed.

RESULTS

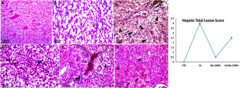
CdCl exposure resulted in severe liver, intestine, and kidney damage, which was evidenced by alterations in biochemical parameters, hormonal imbalance, DNA damage, and micronucleus formation. Antioxidant defense mechanisms were compromised, as the activities of Superoxide Dismutase (SOD), Total Antioxidant Capacity (TAC), and Catalase (CAT) were reduced. mRNA expression levels of inflammatory cytokines such as IL-1β, IL-8, and LBP were also significantly elevated following CdCl exposure. Conversely, Bio-CHNPs treatment showed antioxidant and anti-inflammatory effects, greatly lowering the biochemical, genotoxic, and histopathological effects induced by CdCl.

CONCLUSION

The outcomes of this study are indicative of the potential of Bio-CHNPs as a promising aquaculture feed supplement, with a dual advantage of antagonizing the toxicity of environmental pollutants like Cd and imparting antioxidant and immunomodulatory effects. Bio-CHNP supplementation can be a viable strategy for remedying aquatic environmental heavy metal pollution, with the ultimate safeguarding of human health and ecosystem balance.

摘要

背景

镉是一种剧毒重金属,对水生生物、动物和人类构成严重严重风险:镉是一种剧毒重金属,对水生生物、动物和人类构成严重风险。最近的研究探讨了使用生物壳聚糖纳米颗粒(Bio-CHNPs)作为一种潜在解决方案,以减轻镉暴露的有害影响,特别是在水产养殖中。Bio-CHNPs因其在药物递送和生物医学研究中的应用而受到关注,表明它们在解决环境毒性方面具有潜在效用。

目的

本研究旨在探讨Bio-CHNPs减轻非洲鲶鱼(Clarias gariepinus)氯化镉(CdCL)毒性的有效性。

方法

将120尾鲶鱼分为4组;G1(对照组);G2,用10%致死浓度的CdCL中毒;G3接受3 g/kg的Bio-CNPs;G4,用10%致死浓度的CdCL和3 g/kg饲料的Bio-CNPs处理。

结果

CdCl暴露导致严重的肝脏、肠道和肾脏损伤,这通过生化参数改变、激素失衡、DNA损伤和微核形成得到证明。抗氧化防御机制受到损害,因为超氧化物歧化酶(SOD)、总抗氧化能力(TAC)和过氧化氢酶(CAT)的活性降低。CdCl暴露后,炎症细胞因子如IL-1β、IL-8和LBP的mRNA表达水平也显著升高。相反,Bio-CHNPs处理显示出抗氧化和抗炎作用,大大降低了CdCl诱导的生化、遗传毒性和组织病理学效应。

结论

本研究结果表明Bio-CHNPs作为一种有前途的水产养殖饲料补充剂具有潜力,具有对抗镉等环境污染物毒性以及赋予抗氧化和免疫调节作用的双重优势。补充Bio-CHNP可以是补救水生环境重金属污染的可行策略,最终保障人类健康和生态系统平衡。

https://cdn.ncbi.nlm.nih.gov/pmc/blobs/3e3e/12004861/858f98887dc7/12917_2025_4673_Fig1_HTML.jpg

文献AI研究员

20分钟写一篇综述,助力文献阅读效率提升50倍。

立即体验

用中文搜PubMed

大模型驱动的PubMed中文搜索引擎

马上搜索

文档翻译

学术文献翻译模型,支持多种主流文档格式。

立即体验