Suppr超能文献

芹菜籽衍生的重构脂质纳米颗粒作为一种用于缺血性中风治疗的天然神经元靶向神经保护纳米药物。

Celery seed derived reconstituted lipid nanoparticles as an innate neuron-targeted neuroprotective nanomedicine for ischemic stroke treatment.

作者信息

Han Dan, Zhang Jiaxing, Li Dingran, Wang Cheng

机构信息

Department of Pharmacy, Nanjing Drum Tower Hospital, Affiliated Hospital of Medical School, Nanjing University, Nanjing, Jiangsu, China.

Nanjing Medical Center for Clinical Pharmacy, Nanjing, Jiangsu, China.

出版信息

J Nanobiotechnology. 2025 Apr 17;23(1):298. doi: 10.1186/s12951-025-03372-4.

Abstract

BACKGROUND

Ischemic stroke (IS) is the leading cause of worldwide death while the discovery and effective delivery of neuroprotective agents for satisfied IS treatment is still challenging.

RESULTS

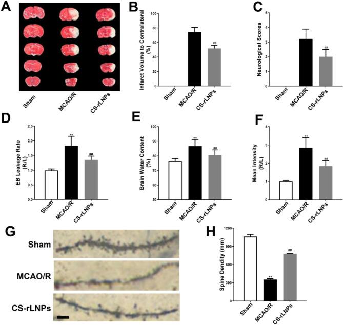
In this study, we discover that celery seed (CS) derived reconstituted lipid nanoparticles (CS-rLNPs) can effectively penetrate across blood-brain barrier (BBB) with increased distribution to the brain. Especially, CS-rLNPs show innate neuron-targeting ability to primarily bind to neuron in the cerebral ischemic area, which is not reported by any parallel studies. Moreover, CS-rLNPs are found to exert therapeutic effects on IS, which effectively restore the function of model mice. Further studies reveal that the therapeutic effects are realized through TLR4/MyD88/NF-κB p65 pathway regulated anti-inflammation and anti-apoptosis mechanisms.

CONCLUSIONS

Therefore, CS-rLNPs can serve as a neuron-targeted neuroprotective nanomedicine for IS treatment.

摘要

背景

缺血性中风(IS)是全球范围内死亡的主要原因,而发现并有效递送神经保护剂以实现满意的IS治疗仍然具有挑战性。

结果

在本研究中,我们发现芹菜籽(CS)衍生的重构脂质纳米颗粒(CS-rLNPs)能够有效穿透血脑屏障(BBB),并增加在脑内的分布。特别是,CS-rLNPs表现出固有的神经元靶向能力,主要与脑缺血区域的神经元结合,这在任何平行研究中均未报道。此外,发现CS-rLNPs对IS具有治疗作用,可有效恢复模型小鼠的功能。进一步研究表明,治疗作用是通过TLR4/MyD88/NF-κB p65通路调节的抗炎和抗凋亡机制实现的。

结论

因此,CS-rLNPs可作为一种用于IS治疗的神经元靶向神经保护纳米药物。

https://cdn.ncbi.nlm.nih.gov/pmc/blobs/0335/12004799/fc64244b265b/12951_2025_3372_Sch1_HTML.jpg

文献AI研究员

20分钟写一篇综述,助力文献阅读效率提升50倍。

立即体验

用中文搜PubMed

大模型驱动的PubMed中文搜索引擎

马上搜索

文档翻译

学术文献翻译模型,支持多种主流文档格式。

立即体验