Suppr超能文献

探究合成的1,3,6-三-O-没食子酰基-α-D-葡萄糖(α-TGG)对胶质母细胞瘤和三阴性乳腺癌衍生细胞模型的化学预防特性。

Probing into the chemopreventive properties of synthetic 1,3,6-tri-O-galloyl-α-D-glucose (α-TGG) against glioblastoma and triple-negative breast cancer-derived cell models.

作者信息

Veilleux Carolane, Khalifa Jihane, Zgheib Alain, Konan Angélique Sabaoth, Gaudreault Roger, Annabi Borhane

机构信息

Laboratoire D'Oncologie Moléculaire, Département de Chimie and CERMO-FC, Université du Québec à Montréal, Montréal, QC, H3C 3P8, Canada.

Département de Chimie, Université Du Québec à Montréal, Montréal, QC, H3C 3P8, Canada.

出版信息

Curr Res Pharmacol Drug Discov. 2025 Apr 5;8:100219. doi: 10.1016/j.crphar.2025.100219. eCollection 2025.

Abstract

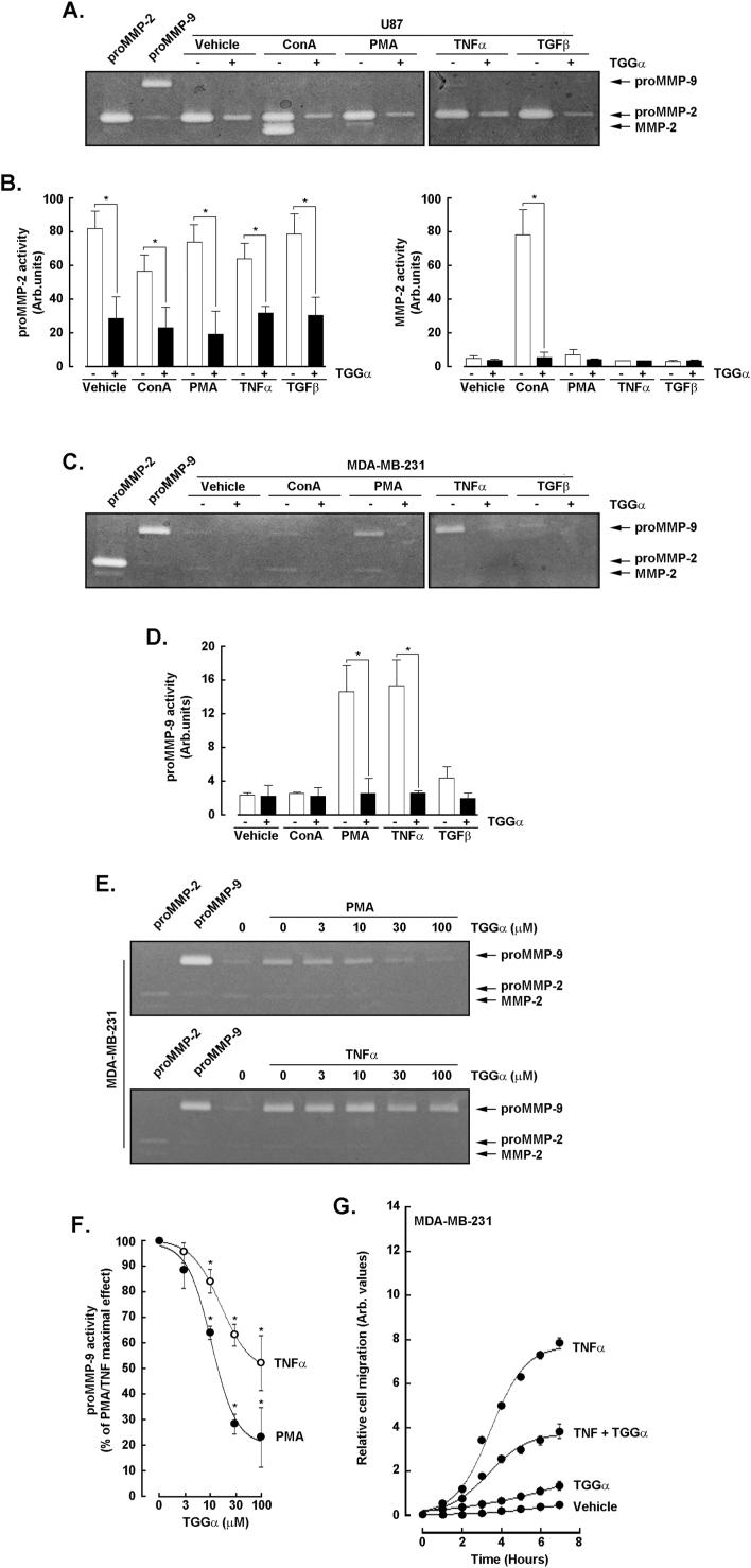
Inflammation plays a significant role in cancer progression. Chemopreventive strategies against cellular response to pro-inflammatory cues may therefore contribute to inhibit the acquisition of an invasive phenotype. 1,3,6-Tri-O-Galloyl-β-D-Glucose (β-TGG) is a type of gallotannin naturally found in plants like and Unfortunately, the overall yields of β-TGG extraction require complex purification protocols from plant sources and are relatively low. Here, a new synthetic α-anomer of TGG (α-TGG) was characterized for anti-inflammatory and anticancer biological properties. pro-inflammatory and epithelial-to-mesenchymal transition (EMT) cues, triggered by phorbol 12-myristate 13-acetate (PMA), concanavalin A (ConA), tumor necrosis factor (TNF) α, and transforming growth factor (TGF) β, were used to screen α-TGG in two highly aggressive human cancer cell models, namely the U87 glioblastoma and the MDA-MB-231 triple-negative breast cancer (TNBC)-derived cells. α-TGG dose-dependently inhibited ConA-mediated activation of the latent matrix metalloproteinase pro-MMP-2 into its active MMP-2 form as well as the ConA- and PMA-mediated cyclooxygenase (COX)-2 expression, two biomarkers of inflammation, in U87 cells. In MDA-MB-231, α-TGG inhibited PMA- and TNFα-mediated induction of pro-MMP-9, a marker of inflammation and invasive phenotype. Finally, in both cell lines, α-TGG further inhibited TGFβ-induced chemotaxis, as well as TGFβ-induced Smad2 phosphorylation and Snail expression, crucial upstream signaling pathway and downstream biomarkers associated with EMT. Collectively, we confirm that α-TGG retained potent anti-inflammatory and anti-invasive pharmacological properties which support its chemopreventive potential.

摘要

炎症在癌症进展中起重要作用。因此,针对细胞对促炎信号的反应的化学预防策略可能有助于抑制侵袭性表型的获得。1,3,6-三-O-没食子酰基-β-D-葡萄糖(β-TGG)是一种天然存在于诸如[具体植物名称1]和[具体植物名称2]等植物中的五倍子单宁。不幸的是,β-TGG从植物来源提取的总产率需要复杂的纯化方案,且相对较低。在此,一种新的TGG合成α-异构体(α-TGG)被表征具有抗炎和抗癌生物学特性。由佛波醇12-肉豆蔻酸酯13-乙酸酯(PMA)、伴刀豆球蛋白A(ConA)、肿瘤坏死因子(TNF)α和转化生长因子(TGF)β触发的促炎和上皮-间质转化(EMT)信号,被用于在两种高度侵袭性的人类癌细胞模型中筛选α-TGG,即U87胶质母细胞瘤细胞和MDA-MB-231三阴性乳腺癌(TNBC)衍生细胞。α-TGG在U87细胞中呈剂量依赖性地抑制ConA介导的潜伏基质金属蛋白酶前体MMP-2激活为其活性MMP-2形式,以及ConA和PMA介导的环氧合酶(COX)-2表达,这两种炎症生物标志物。在MDA-MB-231细胞中,α-TGG抑制PMA和TNFα介导的前体MMP-9诱导,MMP-9是炎症和侵袭性表型的标志物。最后,在这两种细胞系中,α-TGG进一步抑制TGFβ诱导的趋化作用,以及TGFβ诱导的Smad2磷酸化和Snail表达,这些是与EMT相关的关键上游信号通路和下游生物标志物。总体而言,我们证实α-TGG保留了强大的抗炎和抗侵袭药理特性,这支持了其化学预防潜力。

https://cdn.ncbi.nlm.nih.gov/pmc/blobs/5e0c/12004382/046fd5994e14/ga1.jpg

文献AI研究员

20分钟写一篇综述,助力文献阅读效率提升50倍。

立即体验

用中文搜PubMed

大模型驱动的PubMed中文搜索引擎

马上搜索

文档翻译

学术文献翻译模型,支持多种主流文档格式。

立即体验