Suppr超能文献

单发性乳腺癌转移患者手术床立体定向放疗后局部失败的相关因素。

Factors associated with local failure after stereotactic radiation to the surgical bed of patients with a single breast cancer metastasis.

作者信息

Haisraely Ory, Jaffe Marcia L, Lawrence Yaacov R, Symon Zvi, Whol Anton, Kaisman-Elbaz Thaila, Cohen Zvi R, Taliansky Alicia, Kaidar-Person Orit

机构信息

Radiation oncology department, Sheba Medical Center, Ramat Gan, Israel.

School of Medicine, Faculty of Medical and Health Science, Tel -Aviv University, Tel Aviv, Israel.

出版信息

Acta Neurochir (Wien). 2025 Apr 22;167(1):112. doi: 10.1007/s00701-025-06520-9.

Abstract

INTRODUCTION

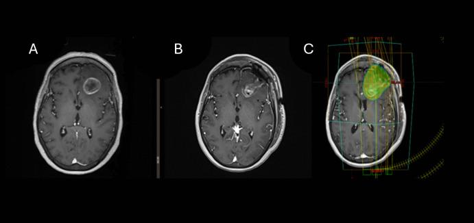
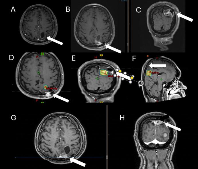
Breast cancer brain metastases (BCBM) are increasingly common due to improved systemic therapies prolonging survival. This study evaluates local control and factors influencing outcomes in patients with resected BCBM treated with postoperative stereotactic radiotherapy (SRT).

METHODS

A retrospective review included single resected BCBM treated with postoperative SRT from 2010 to 2022. The median follow-up was 28 months (range, 14-43). Variables analyzed included tumor size, biology, surgical corridor inclusion, radiation dose, and timing of SRT. Multivariable analysis was conducted using Cox regression.

RESULTS

62 patients were analyzed in multivariable analysis, HER2-positive status was associated with improved local control (HR: 0.76, 95% CI: 0.36-0.88, p = 0.032), as was a higher biologically effective dose (BED > 40 Gy, HR: 0.65, 95% CI: 0.45-0.89, p = 0.028). In contrast, tumor size > 5 cm (HR: 2.1, 95% CI: 1.7-4.6, p = 0.021) and delayed initiation of SRT beyond 28 days post-surgery (HR: 2.7, 95% CI: 1.9-4.7, p = 0.015) were associated with worse outcomes. Age, cystic metastases, inclusion of surgical corridor, and tumor location were not significantly related to local control. Radiation necrosis occurred in 13% of patients, predominantly asymptomatic.

CONCLUSION

Postoperative SRT provides effective local control in resected BCBM. In multivariable analysis, HER2 positivity, higher BED, and timely SRT significantly influenced outcomes, while larger tumor size and delayed treatment were negative prognostic factors. Future research should optimize dosimetric strategies and integrate systemic therapy to improve local and intracranial control.

摘要

引言

由于全身治疗的改善延长了生存期,乳腺癌脑转移(BCBM)越来越常见。本研究评估了接受术后立体定向放射治疗(SRT)的切除性BCBM患者的局部控制情况及影响预后的因素。

方法

一项回顾性研究纳入了2010年至2022年接受术后SRT治疗的单发切除性BCBM患者。中位随访时间为28个月(范围14 - 43个月)。分析的变量包括肿瘤大小、生物学特性、手术通道包含情况、放射剂量和SRT的时机。使用Cox回归进行多变量分析。

结果

多变量分析纳入了62例患者,HER2阳性状态与更好的局部控制相关(风险比:0.76,95%置信区间:0.36 - 0.88,p = 0.032),更高的生物学有效剂量(BED > 40 Gy,风险比:0.65,95%置信区间:0.45 - 0.89,p = 0.028)也是如此。相比之下,肿瘤大小> 5 cm(风险比:2.1,95%置信区间:1.7 - 4.6,p = 0.021)以及术后28天以后延迟开始SRT(风险比:2.7,95%置信区间:1.9 - 4.7,p = 0.015)与更差的预后相关。年龄、囊性转移、手术通道包含情况和肿瘤位置与局部控制无显著相关性。13%的患者发生放射性坏死,主要为无症状性。

结论

术后SRT可为切除性BCBM提供有效的局部控制。在多变量分析中,HER2阳性、更高的BED和及时的SRT显著影响预后,而更大的肿瘤大小和延迟治疗是不良预后因素。未来的研究应优化剂量策略并整合全身治疗,以改善局部和颅内控制。

https://cdn.ncbi.nlm.nih.gov/pmc/blobs/e318/12014713/418bbbef9d45/701_2025_6520_Fig1_HTML.jpg

文献AI研究员

20分钟写一篇综述,助力文献阅读效率提升50倍。

立即体验

用中文搜PubMed

大模型驱动的PubMed中文搜索引擎

马上搜索

文档翻译

学术文献翻译模型,支持多种主流文档格式。

立即体验