Suppr超能文献

靶向PTBP3介导的COX11可变剪接诱导铜死亡以抑制胃癌腹膜转移

Targeting PTBP3-Mediated Alternative Splicing of COX11 Induces Cuproptosis for Inhibiting Gastric Cancer Peritoneal Metastasis.

作者信息

Zhou Yajing, Dong Chao, Shen Xiaochun, Wang Pengbo, Chen Tao, Li Weikang, Sun Xiaotong, Li Peiyuan, Xu Chengxiang, Duan Kaipeng, Li Dongbao, Zhou Jin

机构信息

Department of General Surgery, The First Affiliated Hospital of Soochow University, 899 Pinghai Road, Suzhou, Jiangsu Province, 215031, China.

Department of Pulmonary and Critical Care Medicine, The First Affiliated Hospital of Soochow University, 899 Pinghai Road, Suzhou, Jiangsu Province, 215031, China.

出版信息

Adv Sci (Weinh). 2025 Jun;12(21):e2415983. doi: 10.1002/advs.202415983. Epub 2025 Apr 24.

Abstract

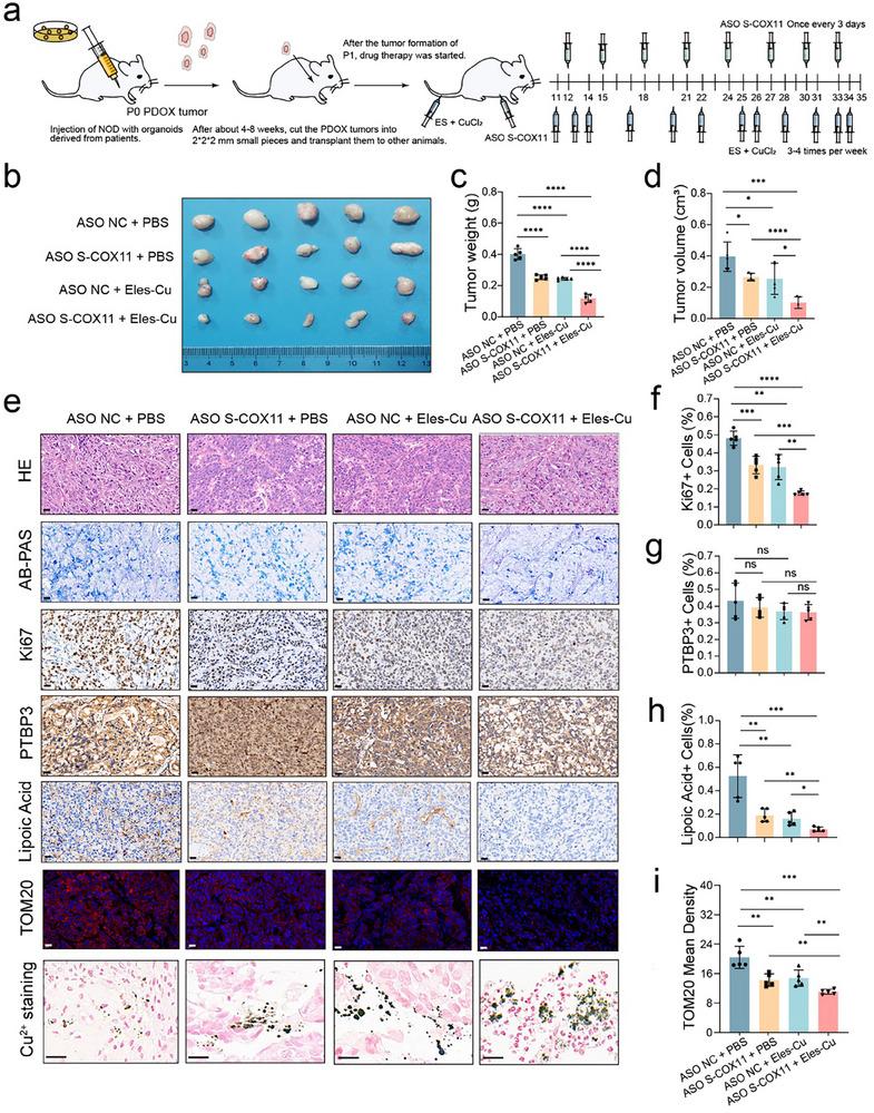
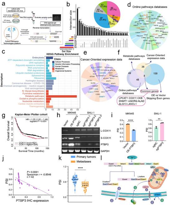
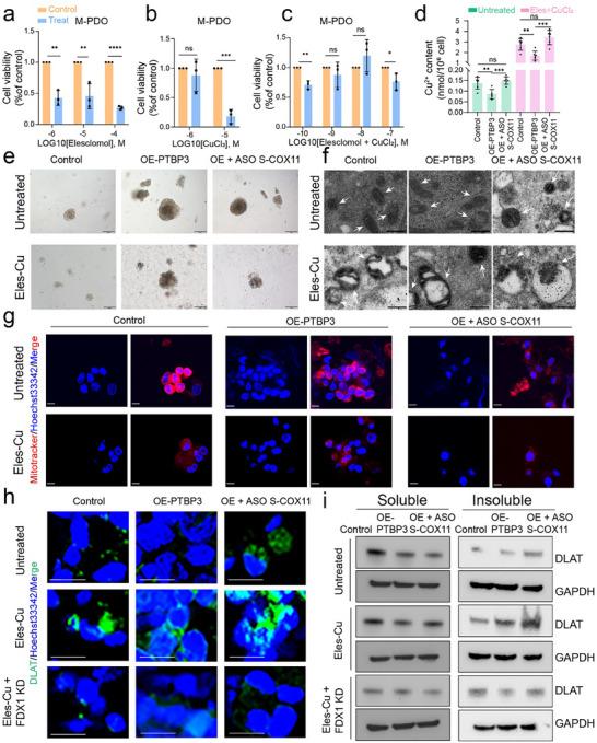
Numerous aberrant splicing events are implicated in tumor progression, yet comprehensive reports on splicing factors and events associated with peritoneal metastasis in gastric cancer (GCPM) are lacking. In this study, PTBP3 is found to be significantly overexpressed in peritoneal metastatic tissues of gastric cancer compared to primary tumor tissues, and higher PTBP3 expression correlates with poorer prognosis. Using gastric cancer cells and patient-derived organoids (PDO), the role of PTBP3 in promoting tumor invasion and proliferation is investigated. Mechanistically, through full-length transcriptome sequencing, PTBP3 mediates exon 4 skipping in its target gene COX11, leading to shorter transcripts that impair COX11 protein function, reducing mitochondrial copper content and enabling tumor cells to evade cuproptosis. Antisense oligonucleotide (ASO) drugs targeting the short COX11 transcripts effectively degrade mRNA, disrupting copper homeostasis. In PDO-based xenograft models, exogenous copper ionophores combined with ASO drugs induce excessive copper accumulation in mitochondria, triggering proteotoxic stress and cuproptosis. Overall, PTBP3-mediated exon 4 skipping in COX11 pre-mRNA is critical for tumor cell survival and progression in GCPM, offering potential therapeutic strategies targeting copper metabolism.

摘要

许多异常剪接事件与肿瘤进展有关,但目前缺乏关于胃癌腹膜转移(GCPM)相关剪接因子和事件的全面报道。在本研究中,发现与原发性肿瘤组织相比,PTBP3在胃癌腹膜转移组织中显著过表达,且PTBP3表达越高,预后越差。利用胃癌细胞和患者来源的类器官(PDO),研究了PTBP3在促进肿瘤侵袭和增殖中的作用。机制上,通过全长转录组测序,PTBP3介导其靶基因COX11的外显子4跳跃,导致转录本缩短,损害COX11蛋白功能,降低线粒体铜含量,使肿瘤细胞逃避铜死亡。靶向短COX11转录本的反义寡核苷酸(ASO)药物可有效降解mRNA,破坏铜稳态。在基于PDO的异种移植模型中,外源性铜离子载体与ASO药物联合使用可诱导线粒体中铜过度积累,引发蛋白质毒性应激和铜死亡。总体而言,PTBP3介导的COX11前体mRNA外显子4跳跃对GCPM中肿瘤细胞的存活和进展至关重要,为靶向铜代谢提供了潜在的治疗策略。

https://cdn.ncbi.nlm.nih.gov/pmc/blobs/af49/12140345/07050782f784/ADVS-12-2415983-g001.jpg

文献AI研究员

20分钟写一篇综述,助力文献阅读效率提升50倍。

立即体验

用中文搜PubMed

大模型驱动的PubMed中文搜索引擎

马上搜索

文档翻译

学术文献翻译模型,支持多种主流文档格式。

立即体验