Suppr超能文献

利用生化、组织病理学、超微结构和衰减全反射傅里叶变换红外光谱(ATR-FTIR)分析评估未经处理和经蚯蚓过滤处理的制药工业废水对斑点叉尾鮰鱼的影响。

Assessment of untreated and vermifiltration treated pharmaceutical industrial effluent in fish Channa punctata using biochemical, histopathological, ultrastructural and ATR-FTIR analysis.

作者信息

Kaur Harpal, Chadha Pooja

机构信息

Department of Zoology, Guru Nanak Dev University, Amritsar, 143005, India.

Cytogenetics Laboratory, Department of Zoology, Guru Nanak Dev University, Amritsar, 143005, India.

出版信息

Sci Rep. 2025 Apr 24;15(1):14256. doi: 10.1038/s41598-025-98068-y.

Abstract

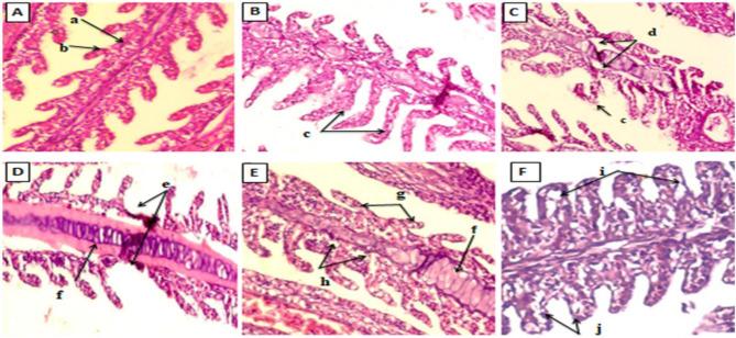
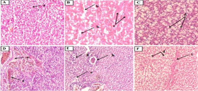
The unfettered discharge of untreated pharmaceutical effluent into water bodies poses severe menace to aquatic ecosystem. The conventional approaches found to be ineffectual in treating pharmaceutical effluent due to certain issues such as lack of eco-friendliness, cost extensive, also sludge is formed which further increases the expenditure for processing. In context of developing nations, the cost effectiveness and environmental sustainability of vermifiltration technology make it an ideal alternative to conventional wastewater treatment techniques. The current exploration was devised to appraise the effect of untreated and vermifiltration treated effluent in fish Channa punctata through biochemical, histopathological, ultrastructural and ATR-FTIR analysis. Considerably augmented alterations in biochemical parameters (MDA, SOD, CAT and GST) in liver, gill and kidney tissues were scrutinized in untreated group. After 45 days of exposure, 4.35, 4.19 and 3.89 folds hike in MDA content were noticed in liver, gill and kidney tissues of untreated group respectively in contrast to control group. Histopathological examination in fish unveiled to untreated effluent exhibited numerous distortions in liver (necrosis, vacuolization, hepatocyte degeneration), gill (disintegration of primary lamellae, upliftment of gill epithelial layer, fusion of secondary lamellae) and kidney (necrosis, degenerated and constricted glomerulus) tissues. Scanning electron microscopy examination further reiterated the anomalies perceived in histopathological investigation. Further, ATR-FTIR analysis presented more biomolecular alterations in exposed tissues. On contrary, fewer biochemical, histopathological, ultrastructural and biomolecular alterations were noticed in treated effluent exposed fish implies its less toxic nature. The outcomes of the study concluded that vermifiltration technology is trustworthy, economic and sustainable technology for treating different industrial effluents.

摘要

未经处理的制药废水无节制地排放到水体中,对水生生态系统构成了严重威胁。由于存在缺乏生态友好性、成本高昂以及会形成污泥从而进一步增加处理费用等问题,传统方法在处理制药废水方面被发现效果不佳。在发展中国家的背景下,蚯蚓过滤技术的成本效益和环境可持续性使其成为传统废水处理技术的理想替代品。当前的探索旨在通过生化、组织病理学、超微结构和衰减全反射傅里叶变换红外光谱(ATR-FTIR)分析,评估未经处理和经过蚯蚓过滤处理的废水对斑鳢的影响。在未处理组中,对肝脏、鳃和肾脏组织中的生化参数(丙二醛、超氧化物歧化酶、过氧化氢酶和谷胱甘肽-S-转移酶)的显著变化进行了仔细研究。暴露45天后,与对照组相比,未处理组肝脏、鳃和肾脏组织中的丙二醛含量分别增加了4.35倍、4.19倍和3.89倍。对鱼类进行的组织病理学检查显示,未处理的废水使肝脏(坏死、空泡化、肝细胞变性)、鳃(初级鳃小片解体、鳃上皮层隆起、次级鳃小片融合)和肾脏(坏死、肾小球退化和收缩)组织出现了许多畸变。扫描电子显微镜检查进一步证实了组织病理学研究中发现的异常情况。此外,ATR-FTIR分析表明暴露组织中存在更多的生物分子变化。相反,在接触经处理废水的鱼类中,观察到的生化、组织病理学、超微结构和生物分子变化较少,这表明其毒性较小。研究结果得出结论,蚯蚓过滤技术是一种可靠、经济且可持续的处理不同工业废水的技术。

https://cdn.ncbi.nlm.nih.gov/pmc/blobs/59d3/12022160/61b0359e698e/41598_2025_98068_Fig1_HTML.jpg

文献AI研究员

20分钟写一篇综述,助力文献阅读效率提升50倍。

立即体验

用中文搜PubMed

大模型驱动的PubMed中文搜索引擎

马上搜索

文档翻译

学术文献翻译模型,支持多种主流文档格式。

立即体验