Suppr超能文献

在气血屏障阵列中对人类中性粒细胞募集和功能反应进行高通量定量分析。

High-throughput quantitation of human neutrophil recruitment and functional responses in an air-blood barrier array.

作者信息

Viola Hannah, Chen Liang-Hsin, Jo Seongbin, Washington Kendra, Selva Cauviya, Li Andrea, Feng Daniel, Giacalone Vincent, Stephenson Susan T, Cottrill Kirsten, Mohammad Ahmad, Williams Evelyn, Qu Xianggui, Lam Wilbur, Ng Nga L, Fitzpatrick Anne, Grunwell Jocelyn, Tirouvanziam Rabindra, Takayama Shuichi

机构信息

Wallace H. Coulter Department of Biomedical Engineering, Georgia Institute of Technology, Atlanta, Georgia 30332, USA.

School of Chemical and Biomolecular Engineering, Georgia Institute of Technology, Atlanta, Georgia 30332, USA.

出版信息

APL Bioeng. 2025 Apr 25;9(2):026110. doi: 10.1063/5.0220367. eCollection 2025 Jun.

Abstract

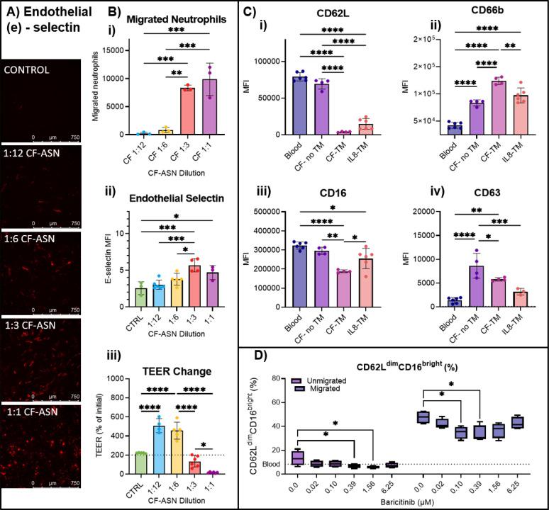
Dysregulated neutrophil recruitment drives many pulmonary diseases, but most preclinical screening methods are unsuited to evaluate pulmonary neutrophilia, limiting progress toward therapeutics. Namely, high-throughput therapeutic assays typically exclude critical neutrophilic pathophysiology, including blood-to-lung recruitment, dysfunctional activation, and resulting impacts on the air-blood barrier. To meet the conflicting demands of physiological complexity and high throughput, we developed an assay of 96-well leukocyte recruitment in an air-blood barrier array (L-ABBA-96) that enables -like neutrophil recruitment compatible with downstream phenotyping by automated flow cytometry. We modeled acute respiratory distress syndrome (ARDS) with neutrophil recruitment to 20 ng/mL epithelial-side interleukin 8 and found a dose-dependent reduction in recruitment with physiologic doses of baricitinib, a JAK1/2 inhibitor recently Food and Drug Administration-approved for severe Coronavirus Disease 2019 ARDS. Additionally, neutrophil recruitment to patient-derived cystic fibrosis sputum supernatant induced disease-mimetic recruitment and activation of healthy donor neutrophils and upregulated endothelial e-selectin. Compared to 24-well assays, the L-ABBA-96 reduces required patient sample volumes by 25 times per well and quadruples throughput per plate. Compared to microfluidic assays, the L-ABBA-96 recruits two orders of magnitude more neutrophils per well, enabling downstream flow cytometry and other standard biochemical assays. This novel pairing of high-throughput modeling of organ-level lung function with parallel high-throughput leukocyte phenotyping substantially advances opportunities for pathophysiological studies, personalized medicine, and drug testing applications.

摘要

中性粒细胞募集失调会引发多种肺部疾病,但大多数临床前筛查方法都不适用于评估肺部中性粒细胞增多症,这限制了治疗方面的进展。具体而言,高通量治疗性检测通常排除了关键的中性粒细胞病理生理学因素,包括血液到肺部的募集、功能失调的激活以及对气血屏障的影响。为了满足生理复杂性和高通量的相互冲突的需求,我们开发了一种在气血屏障阵列中进行96孔白细胞募集的检测方法(L-ABBA-96),该方法能够实现类似中性粒细胞的募集,并通过自动流式细胞术与下游表型分析兼容。我们用中性粒细胞募集到20 ng/mL上皮侧白细胞介素8来模拟急性呼吸窘迫综合征(ARDS),并发现使用生理剂量的巴瑞替尼(一种最近被美国食品药品监督管理局批准用于严重2019冠状病毒病ARDS的JAK1/2抑制剂)会使募集呈剂量依赖性减少。此外,中性粒细胞募集到患者来源的囊性纤维化痰液上清液会诱导疾病模拟性募集并激活健康供体的中性粒细胞,并上调内皮细胞E-选择素。与24孔检测相比,L-ABBA-96每孔所需的患者样本量减少了25倍,每板通量提高了四倍。与微流控检测相比,L-ABBA-96每孔募集的中性粒细胞多两个数量级,能够进行下游流式细胞术和其他标准生化检测。这种将器官水平肺功能的高通量建模与并行高通量白细胞表型分析相结合的新方法极大地推进了病理生理学研究、个性化医疗和药物测试应用的机会。

https://cdn.ncbi.nlm.nih.gov/pmc/blobs/428d/12033047/efdbf363d983/ABPID9-000009-026110_1-g001.jpg

文献AI研究员

20分钟写一篇综述,助力文献阅读效率提升50倍。

立即体验

用中文搜PubMed

大模型驱动的PubMed中文搜索引擎

马上搜索

文档翻译

学术文献翻译模型,支持多种主流文档格式。

立即体验