Suppr超能文献

在微卫星高度不稳定的结直肠癌中,USP14通过去泛素化BAG4抑制线粒体自噬,促进肿瘤发生和化疗敏感性。

USP14 inhibits mitophagy and promotes tumorigenesis and chemosensitivity through deubiquitinating BAG4 in microsatellite instability-high colorectal cancer.

作者信息

Wang Zhiyong, Yu Cheng, Xie Gengchen, Tao Kaixiong, Yin Zhijie, Lv Qing

机构信息

Department of Gastrointestinal Surgery, Union Hospital, Tongji Medical College, Huazhong University of Science and Technology, Wuhan, 430022, China.

出版信息

Mol Med. 2025 May 2;31(1):163. doi: 10.1186/s10020-025-01182-w.

Abstract

BACKGROUND

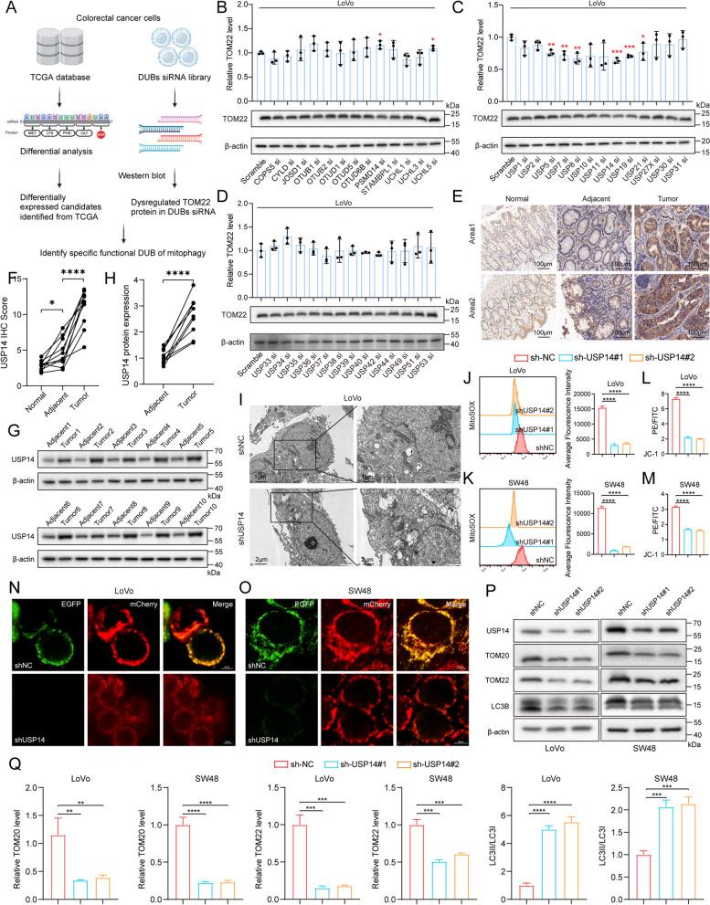
Mitophagy, essential for cellular homeostasis, is involved in eliminating damaged mitochondria and is associated with cancer progression and chemoresistance. The specific impact of mitophagy on microsatellite instability-high (MSI-H) colorectal cancer (CRC) is still under investigation. Ubiquitination, a post-translational modification, is essential for controlling protein stability, localization, and function. This study identifies USP14, a deubiquitinating enzyme, as a key regulator of mitophagy in MSI-H CRC.

METHODS

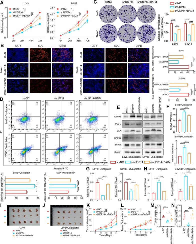
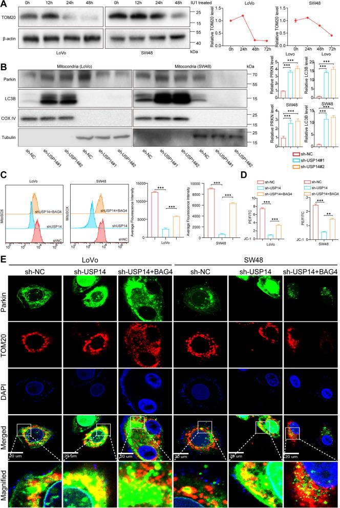
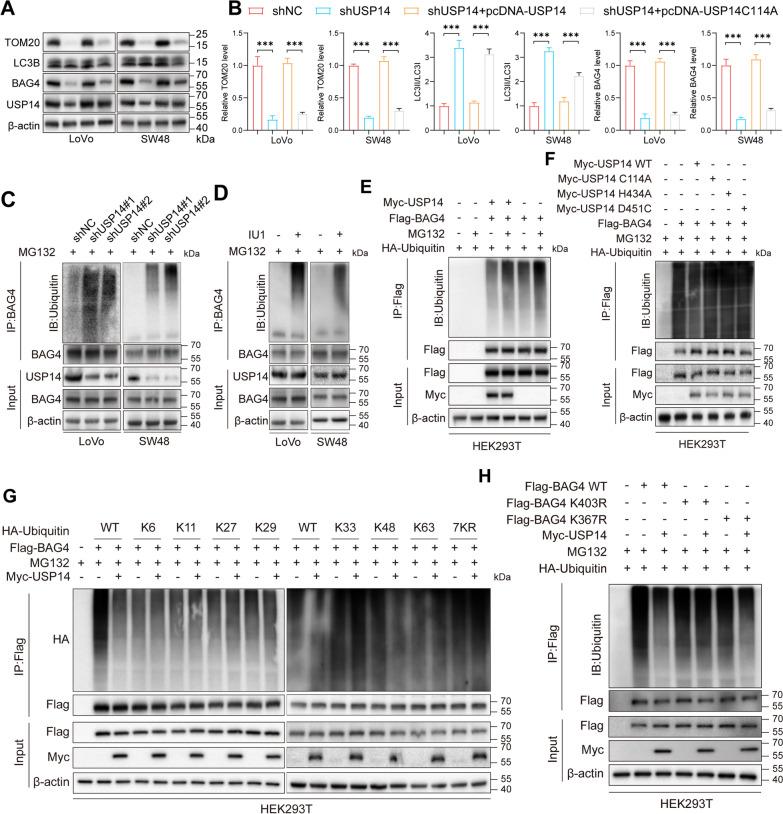
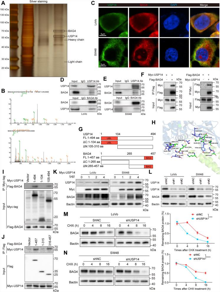
A deubiquitinating enzyme (DUBs) siRNA library screening identified USP14 as a key regulator of mitophagy. Tissue samples from patients were analyzed using immunohistochemistry and Western blot. USP14 knockdown cell lines were generated using lentiviral transfection. Protein interactions between USP14 and BAG4 were confirmed by co-immunoprecipitation, while quantitative PCR was used to measure gene expression. Mitochondrial proteins were extracted to analyze mitophagy, and flow cytometry was used to assess apoptosis. Finally, a mouse xenograft model was employed to study USP14's role in tumor growth and oxaliplatin sensitivity.

RESULTS

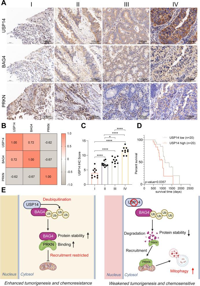
Screening reveals that USP14 inhibits mitophagy and CRC (MSI-H) show high USP14 expression which correlates with poor prognosis. Functional analyses reveal that knocking down USP14 reduces tumor growth, and increases sensitivity to oxaliplatin. Mechanically, USP14 inhibits mitophagy by K48-deubiquitinating and stabilizing BAG4 at K403, which prevents the recruitment of Parkin to damaged mitochondria. The significant clinical relevance of USP14, BAG4, and PRKN are proved in tumor tissues.

CONCLUSIONS

The study highlights the USP14/BAG4/PRKN axis as a critical pathway in CRC (MSI-H), suggesting that targeting USP14 could inhibit tumor progression and improve chemotherapeutic outcomes. These findings underscore the importance of ubiquitination and mitophagy in cancer biology, indicating a potential therapeutic target for MSI-H CRC.

摘要

背景

线粒体自噬对细胞稳态至关重要,参与清除受损线粒体,并与癌症进展和化疗耐药性相关。线粒体自噬对微卫星高度不稳定(MSI-H)结直肠癌(CRC)的具体影响仍在研究中。泛素化是一种翻译后修饰,对控制蛋白质稳定性、定位和功能至关重要。本研究确定去泛素化酶USP14是MSI-H CRC中线粒体自噬的关键调节因子。

方法

通过去泛素化酶(DUBs)siRNA文库筛选确定USP14是线粒体自噬的关键调节因子。使用免疫组织化学和蛋白质印迹法分析患者的组织样本。通过慢病毒转染构建USP14敲低细胞系。通过免疫共沉淀法证实USP14与BAG4之间的蛋白质相互作用,同时使用定量PCR测量基因表达。提取线粒体蛋白以分析线粒体自噬,并使用流式细胞术评估细胞凋亡。最后,采用小鼠异种移植模型研究USP14在肿瘤生长和奥沙利铂敏感性中的作用。

结果

筛选显示USP14抑制线粒体自噬,MSI-H CRC中USP14表达较高,这与预后不良相关。功能分析表明,敲低USP14可减少肿瘤生长,并增加对奥沙利铂的敏感性。机制上,USP14通过对K48去泛素化并稳定K403位点的BAG4来抑制线粒体自噬,从而阻止Parkin募集到受损线粒体。在肿瘤组织中证实了USP14、BAG4和PRKN具有显著的临床相关性。

结论

该研究强调USP14/BAG4/PRKN轴是CRC(MSI-H)中的关键通路,表明靶向USP14可抑制肿瘤进展并改善化疗效果。这些发现强调了泛素化和线粒体自噬在癌症生物学中的重要性,为MSI-H CRC指明了潜在的治疗靶点。

https://cdn.ncbi.nlm.nih.gov/pmc/blobs/d35a/12048998/17567c90a2d6/10020_2025_1182_Fig1_HTML.jpg

文献AI研究员

20分钟写一篇综述,助力文献阅读效率提升50倍。

立即体验

用中文搜PubMed

大模型驱动的PubMed中文搜索引擎

马上搜索

文档翻译

学术文献翻译模型,支持多种主流文档格式。

立即体验